Difference between revisions of "Xanthoma"
Jump to navigation
Jump to search
| (5 intermediate revisions by the same user not shown) | |||
| Line 1: | Line 1: | ||
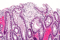
[[Image:Xanthomatous polyp - alt -- intermed mag.jpg|thumb|200px|right|Xanthomatous polyp. [[H&E stain]].]] | |||
'''Xanthoma''' is a benign lesion due to the accumulation of lipid. It may be seen in association with hyperlipidemia. | '''Xanthoma''' is a benign lesion due to the accumulation of lipid. It may be seen in association with hyperlipidemia. | ||
| Line 13: | Line 14: | ||
*[[Cardiovascular pathology]]. | *[[Cardiovascular pathology]]. | ||
*[[Xanthelasma]]. | *[[Xanthelasma]]. | ||
*[[Gallbladder cholesterolosis]]. | |||
*[[Cholesterol polyp of gallbladder]]. | |||
==References== | ==References== | ||
Latest revision as of 04:07, 31 May 2016
Xanthomatous polyp. H&E stain.
Xanthoma is a benign lesion due to the accumulation of lipid. It may be seen in association with hyperlipidemia.
It can be seen in numerous sites.
- Gastric xanthoma.
- Colorectal xanthoma.
- Urinary bladder xanthoma.[1]
- Hepatic xanthoma.[2]
- Esophageal xanthoma.[3]
- Others.
See also
- Cardiovascular pathology.
- Xanthelasma.
- Gallbladder cholesterolosis.
- Cholesterol polyp of gallbladder.
References
- ↑ Hassouna, H.; Broome, JD.; Swalem, K.; Manikandan, R. (2014). "Xanthoma of the urinary bladder: a rare benign condition which may be mistaken for malignancy.". BMJ Case Rep 2014. doi:10.1136/bcr-2014-203836. PMID 24810457.
- ↑ Meng, FC.; Chao, TK.; Huang, HH. (2013). "Hepatic xanthoma associated with pasireotide administration: a first case report.". Intern Med 52 (19): 2219-23. PMID 24088755.
- ↑ Becheanu, G.; Dumbrava, M.; Arbanas, T.; Diculescu, M.; Hoyeau-Idrissi, N.; Fléjou, JF. (Dec 2011). "Esophageal xanthoma--report of two new cases and review of the literature.". J Gastrointestin Liver Dis 20 (4): 431-3. PMID 22187711.