Gallbladder cholesterolosis
Jump to navigation
Jump to search
| Gallbladder cholesterolosis | |
|---|---|
| Diagnosis in short | |
|
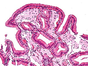
Gallbladder cholesterolosis. H&E stain. | |
|
| |
| LM | abundant foamy macrophages in the lamina propria, +/-papillary hyperplasia |
| LM DDx | cholesterol polyp of gallbladder |
| Gross | gallbladder mucosa with strawberry-like texture |
| Site | gallbladder |
|
| |
| Associated Dx | chronic cholecystitis, obesity, cholelithiasis |
| Clinical history | biliary colic - due to chronic cholecystitis |
| Prevalence | common |
| Prognosis | benign |
Gallbladder cholesterolosis, also known simply as cholesterolosis, is a common gallbladder pathology associated with chronic cholecystitis.
Informally, gallbladder cholesterolosis is known as strawberry gallbladder.
General
- Common in chronic cholecystitis.
- Seen in ~13% of cases in a large series of 23,304 gallbladders.[1]
- Slightly more common in women than men (14% of cases in women versus 10% of cases in men).
- Less likely to be associated with cancer than gallbladders without cholesterolosis; relative risk of cancer in non-cholesterolosis gallbladders 9.2.[1]
- Associated with yellow gallstones (cholesterol type gallstones).
Gross
Features:
- Mucosa has strawberry-like appearance.
- The similarity is in the surface texture.
- The colour (yellow) is not strawberry-like.
Image
Microscopic
Features:
- Numerous foamy macrophages in the lamina propria.
- +/-Papillary hyperplasia.[2]
DDx:
- Cholesterol polyp of gallbladder - polypoid shape.
Image
www:
Sign out
GALLBLADDER, CHOLECYSTECTOMY: - CHRONIC CHOLECYSTITIS WITH CHOLESTEROLOSIS. - CHOLELITHIASIS.
GALLBLADDER, CHOLECYSTECTOMY: - CHRONIC CHOLECYSTITIS WITH FOCAL FOAMY MACROPHAGES IN LAMINA PROPRIA. - CHOLELITHIASIS.
See also
References
- ↑ 1.0 1.1 Roa, I.; de Aretxabala, X.; Ibacache, G.; Muñoz, S. (Jul 2010). "[Association between cholesterolosis and gallbladder cancer].". Rev Med Chil 138 (7): 804-8. PMID 21043073.
- ↑ Celoria, GC.; Rodríguez Otero, JC.; Proske, SA.; Vallilengua, C. (1994). "Papillary hyperplasia and cholesterolosis of the gallbladder.". Medicina (B Aires) 54 (1): 31-4. PMID 7990683.