Difference between revisions of "Urinary bladder metastasis"
Jump to navigation
Jump to search
(Created page with "'''Urinary bladder metastasis''' is cancer that has spread to the urinary bladder from another primary site and is discontinuous with the primary tumour. ==General==...") |
|||
| (9 intermediate revisions by the same user not shown) | |||
| Line 1: | Line 1: | ||
'''Urinary bladder metastasis''' is [[cancer]] that has spread to the [[urinary bladder]] from another primary site and is discontinuous with the primary tumour. | {{ Infobox diagnosis | ||
| Name = {{PAGENAME}} | |||
| Image = Clear cell renal cell carcinoma metastasis to bladder -- intermed mag.jpg | |||
| Width = | |||
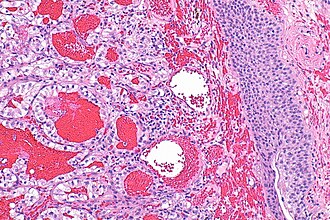
| Caption = Clear cell renal cell carcinoma metastasis to urinary bladder. [[H&E stain]]. | |||
| Synonyms = metastasis to urinary bladder | |||
| Micro = | |||
| Subtypes = | |||
| LMDDx = [[urothelial carcinoma]] with unusual features, [[primary adenocarcinoma of the urinary bladder]], direct extension of non-bladder primary tumour in bladder (e.g. [[prostate cancer|prostate]], rectum, [[urachal carcinoma]]) | |||
| Stains = | |||
| IHC = [[GATA3]] -ve/+ve (commonly +ve in breast), beta-catenin +ve/-ve (nuclear staining - suggests colorectal primary), prostate markers (e.g. PSA, PSAP, NKX3.1) +ve/-ve (+ve suggests prostate primary), PAX8 +ve/-ve (+ve suggests gyne tract or RCC) | |||
| EM = | |||
| Molecular = | |||
| IF = | |||
| Gross = | |||
| Grossing = | |||
| Staging = | |||
| Site = [[urinary bladder]] | |||
| Assdx = | |||
| Syndromes = | |||
| Clinicalhx = +/-history of cancer | |||
| Signs = | |||
| Symptoms = hematuria (typical) | |||
| Prevalence = rare as primary presentation (case reports) | |||
| Bloodwork = | |||
| Rads = | |||
| Endoscopy = bladder tumour | |||
| Prognosis = poor | |||
| Other = | |||
| ClinDDx = primary bladder cancer | |||
| Tx = dependent on primary site | |||
}} | |||
'''Urinary bladder metastasis''', also '''metastasis to the bladder''', is [[cancer]] that has spread to the [[urinary bladder]] from another primary site and is discontinuous with the primary tumour. | |||
==General== | ==General== | ||
*Rare - mostly case reports. | *Rare - mostly case reports. | ||
**[[Renal cell carcinoma]] ~ series of 11 cases.<ref name=pmid25140895>{{Cite journal | last1 = Zhang | first1 = M. | last2 = Wah | first2 = C. | last3 = Epstein | first3 = JI. | title = Metastatic renal cell carcinoma to the urinary bladder: a report of 11 cases. | journal = Am J Surg Pathol | volume = 38 | issue = 11 | pages = 1516-21 | month = Nov | year = 2014 | doi = 10.1097/PAS.0000000000000257 | PMID = 25140895 }}</ref> | **[[Renal cell carcinoma]] ~ series of 11 cases.<ref name=pmid25140895>{{Cite journal | last1 = Zhang | first1 = M. | last2 = Wah | first2 = C. | last3 = Epstein | first3 = JI. | title = Metastatic renal cell carcinoma to the urinary bladder: a report of 11 cases. | journal = Am J Surg Pathol | volume = 38 | issue = 11 | pages = 1516-21 | month = Nov | year = 2014 | doi = 10.1097/PAS.0000000000000257 | PMID = 25140895 }}</ref> | ||
**Breast primary - small series<ref name=pmid26437333>{{Cite journal | last1 = Avargues | first1 = A. | last2 = Luján | first2 = S. | last3 = Palomar | first3 = L. | last4 = Rogel | first4 = R. | last5 = Broseta | first5 = E. | last6 = Boronat | first6 = F. | title = [Metastatic urinary bladder involvement in breast cancer]. | journal = Arch Esp Urol | volume = 68 | issue = 8 | pages = 676-8 | month = Oct | year = 2015 | doi = | PMID = 26437333 }}</ref> and case reports.<ref name=pmid27047651>{{Cite journal | last1 = Al Ibraheemi | first1 = AA. | title = Case report of metastatic invasive breast lobular carcinoma to the urinary bladder. | journal = Int J Hematol Oncol Stem Cell Res | volume = 10 | issue = 1 | pages = 51-5 | month = Jan | year = 2016 | doi = | PMID = 27047651 }}</ref><ref name=pmid24088591>{{Cite journal | last1 = Wong | first1 = MH. | last2 = Yiu | first2 = MK. | last3 = Ho | first3 = KL. | title = Metastatic carcinoma of breast in the urinary bladder. | journal = Hong Kong Med J | volume = 19 | issue = 5 | pages = 455-7 | month = Oct | year = 2013 | doi = | PMID = 24088591 }}</ref> | |||
A 2007 review of the literature found:<ref name=pmid17324324>{{Cite journal | last1 = Velcheti | first1 = V. | last2 = Govindan | first2 = R. | title = Metastatic cancer involving bladder: a review. | journal = Can J Urol | volume = 14 | issue = 1 | pages = 3443-8 | month = Feb | year = 2007 | doi = | PMID = 17324324 }}</ref> | |||
*264 reported cases from 1953 to June 2005 - most from GU tract and the colorectum. | |||
**Distant site includes [[breast cancer|breast]], stomach and melanoma. | |||
==Microscopic== | ==Microscopic== | ||
| Line 11: | Line 48: | ||
DDx: | DDx: | ||
*[[Urothelial carcinoma]] with unusual features. | *[[Urothelial carcinoma]] with unusual features. | ||
*[[Primary adenocarcinoma of the bladder]]. | *[[Primary adenocarcinoma of the urinary bladder]]. | ||
*[[Urachal carcinoma]]. | *[[Urachal carcinoma]]. | ||
*Direct extension of primary tumour from other primary site, e.g. prostate, rectum. | *Direct extension of primary tumour from other primary site, e.g. [[prostate cancer|prostate]], rectum. | ||
===Images=== | |||
<gallery> | |||
Image: Clear cell renal cell carcinoma metastasis to bladder -- very low mag.jpg | CCRCC in bladder - very low mag. (WC) | |||
Image: Clear cell renal cell carcinoma metastasis to bladder -- low mag.jpg | CCRCC in bladder - low mag. (WC) | |||
Image: Clear cell renal cell carcinoma metastasis to bladder -- intermed mag.jpg | CCRCC in bladder - intermed. mag. (WC) | |||
Image: Clear cell renal cell carcinoma metastasis to bladder -- high mag.jpg | CCRCC in bladder - high mag. (WC) | |||
</gallery> | |||
==See also== | |||
*[[Metastasis]]. | |||
==References== | ==References== | ||
Latest revision as of 03:59, 17 January 2017
| Urinary bladder metastasis | |
|---|---|
| Diagnosis in short | |
|
Clear cell renal cell carcinoma metastasis to urinary bladder. H&E stain. | |
|
| |
| Synonyms | metastasis to urinary bladder |
| LM DDx | urothelial carcinoma with unusual features, primary adenocarcinoma of the urinary bladder, direct extension of non-bladder primary tumour in bladder (e.g. prostate, rectum, urachal carcinoma) |
| IHC | GATA3 -ve/+ve (commonly +ve in breast), beta-catenin +ve/-ve (nuclear staining - suggests colorectal primary), prostate markers (e.g. PSA, PSAP, NKX3.1) +ve/-ve (+ve suggests prostate primary), PAX8 +ve/-ve (+ve suggests gyne tract or RCC) |
| Site | urinary bladder |
|
| |
| Clinical history | +/-history of cancer |
| Symptoms | hematuria (typical) |
| Prevalence | rare as primary presentation (case reports) |
| Endoscopy | bladder tumour |
| Prognosis | poor |
| Clin. DDx | primary bladder cancer |
| Treatment | dependent on primary site |
Urinary bladder metastasis, also metastasis to the bladder, is cancer that has spread to the urinary bladder from another primary site and is discontinuous with the primary tumour.
General
- Rare - mostly case reports.
- Renal cell carcinoma ~ series of 11 cases.[1]
- Breast primary - small series[2] and case reports.[3][4]
A 2007 review of the literature found:[5]
- 264 reported cases from 1953 to June 2005 - most from GU tract and the colorectum.
- Distant site includes breast, stomach and melanoma.
Microscopic
Features:
- Dependent on the primary site.
DDx:
- Urothelial carcinoma with unusual features.
- Primary adenocarcinoma of the urinary bladder.
- Urachal carcinoma.
- Direct extension of primary tumour from other primary site, e.g. prostate, rectum.
Images
See also
References
- ↑ Zhang, M.; Wah, C.; Epstein, JI. (Nov 2014). "Metastatic renal cell carcinoma to the urinary bladder: a report of 11 cases.". Am J Surg Pathol 38 (11): 1516-21. doi:10.1097/PAS.0000000000000257. PMID 25140895.
- ↑ Avargues, A.; Luján, S.; Palomar, L.; Rogel, R.; Broseta, E.; Boronat, F. (Oct 2015). "[Metastatic urinary bladder involvement in breast cancer].". Arch Esp Urol 68 (8): 676-8. PMID 26437333.
- ↑ Al Ibraheemi, AA. (Jan 2016). "Case report of metastatic invasive breast lobular carcinoma to the urinary bladder.". Int J Hematol Oncol Stem Cell Res 10 (1): 51-5. PMID 27047651.
- ↑ Wong, MH.; Yiu, MK.; Ho, KL. (Oct 2013). "Metastatic carcinoma of breast in the urinary bladder.". Hong Kong Med J 19 (5): 455-7. PMID 24088591.
- ↑ Velcheti, V.; Govindan, R. (Feb 2007). "Metastatic cancer involving bladder: a review.". Can J Urol 14 (1): 3443-8. PMID 17324324.