Urinary bladder metastasis
Jump to navigation
Jump to search
| Urinary bladder metastasis | |
|---|---|
| Diagnosis in short | |
|
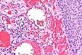
Clear cell renal cell carcinoma metastasis to urinary bladder. H&E stain. | |
|
| |
| Synonyms | metastasis to urinary bladder |
| LM DDx | urothelial carcinoma with unusual features, primary adenocarcinoma of the urinary bladder, direct extension of non-bladder primary tumour in bladder (e.g. prostate, rectum, urachal carcinoma) |
| IHC | GATA3 -ve/+ve (commonly +ve in breast), beta-catenin +ve/-ve (nuclear staining - suggests colorectal primary), prostate markers (e.g. PSA, PSAP, NKX3.1) +ve/-ve (+ve suggests prostate primary), PAX8 +ve/-ve (+ve suggests gyne tract or RCC) |
| Site | urinary bladder |
|
| |
| Clinical history | +/-history of cancer |
| Symptoms | hematuria (typical) |
| Prevalence | rare as primary presentation (case reports) |
| Endoscopy | bladder tumour |
| Prognosis | poor |
| Clin. DDx | primary bladder cancer |
| Treatment | dependent on primary site |
Urinary bladder metastasis, also metastasis to the bladder, is cancer that has spread to the urinary bladder from another primary site and is discontinuous with the primary tumour.
General
- Rare - mostly case reports.
- Renal cell carcinoma ~ series of 11 cases.[1]
- Breast primary - small series[2] and case reports.[3][4]
A 2007 review of the literature found:[5]
- 264 reported cases from 1953 to June 2005 - most from GU tract and the colorectum.
- Distant site includes breast, stomach and melanoma.
Microscopic
Features:
- Dependent on the primary site.
DDx:
- Urothelial carcinoma with unusual features.
- Primary adenocarcinoma of the urinary bladder.
- Urachal carcinoma.
- Direct extension of primary tumour from other primary site, e.g. prostate, rectum.
Images
See also
References
- ↑ Zhang, M.; Wah, C.; Epstein, JI. (Nov 2014). "Metastatic renal cell carcinoma to the urinary bladder: a report of 11 cases.". Am J Surg Pathol 38 (11): 1516-21. doi:10.1097/PAS.0000000000000257. PMID 25140895.
- ↑ Avargues, A.; Luján, S.; Palomar, L.; Rogel, R.; Broseta, E.; Boronat, F. (Oct 2015). "[Metastatic urinary bladder involvement in breast cancer].". Arch Esp Urol 68 (8): 676-8. PMID 26437333.
- ↑ Al Ibraheemi, AA. (Jan 2016). "Case report of metastatic invasive breast lobular carcinoma to the urinary bladder.". Int J Hematol Oncol Stem Cell Res 10 (1): 51-5. PMID 27047651.
- ↑ Wong, MH.; Yiu, MK.; Ho, KL. (Oct 2013). "Metastatic carcinoma of breast in the urinary bladder.". Hong Kong Med J 19 (5): 455-7. PMID 24088591.
- ↑ Velcheti, V.; Govindan, R. (Feb 2007). "Metastatic cancer involving bladder: a review.". Can J Urol 14 (1): 3443-8. PMID 17324324.