Difference between revisions of "Medulloblastoma"

From Libre Pathology
Jump to navigation Jump to search
(→‎Genetically defined: Dual phenotype-MB)
 
(5 intermediate revisions by the same user not shown)
Line 1: Line 1:
'''Medulloblastoma''' is a [[malignant]] [[small round cell tumour]] that is found in the [[cerebellum]].
{{ Infobox diagnosis
| Name      = {{PAGENAME}}
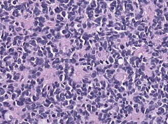
| Image      = Medulloblastoma with rosettes.jpg
| Width      =
| Caption    = Classic medulloblastoma [[H&E stain]].
| Synonyms  =
| Micro      =
| Subtypes  =
| LMDDx      = small cell round blue tumous.
| Stains    = Reticulin +ve (in desmoplastic MB)
| IHC        = MAP2+ve
| EM        =
| Molecular  =
| IF        =
| Gross      = cerebellar.
| Grossing  =
| Site      = brain - usu. [[cerebellum]]
| Assdx      =
| Syndromes  =
| Clinicalhx =
| Signs      =
| Symptoms  =
| Prevalence = common - esp. in children
| Bloodwork  =
| Rads      =
| Endoscopy  =
| Prognosis  = subtype-dependent (WHO Grade IV)
| Other      =
| ClinDDx    =
| Tx        =
}}
 
'''Medulloblastoma''' is a [[malignant]] [[small round cell tumour]] that is found in the [[cerebellum]] or dorsal brainstem. It is the most common malignant CNS tumour in children.
 


Morphologically identical supratentorial tumours are called ''[[primitive neuroectodermal tumour]]'' (PNET).


==General==
==General==
*Mostly paediatric population (mean age: 9 years).  
*Mostly paediatric population (mean age: 9 years).  
*Tumors consists of histologically and molecular distinct subgroups.
*All subgroups correspond to WHO grade IV.
*May be seen as a component of [[nevoid basal cell carcinoma syndrome]] (NBCCS) AKA Gorlin syndrome, [[Li-Fraumeni syndrome]], Turcot syndrome, Rubinstain-Taybi syndrome and Nijmegen breakage syndrome.
*May be seen as a component of [[nevoid basal cell carcinoma syndrome]] (NBCCS) AKA Gorlin syndrome, [[Li-Fraumeni syndrome]], Turcot syndrome, Rubinstain-Taybi syndrome and Nijmegen breakage syndrome.
**Show molecularly spatially homogeneous transcriptomes, allowing for accurate subgrouping of tumors from a single biopsy.<ref>{{Cite journal  | last1 = Morrissy | first1 = AS. | last2 = Cavalli | first2 = FMG. | last3 = Remke | first3 = M. | last4 = Ramaswamy | first4 = V. | last5 = Shih | first5 = DJH. | last6 = Holgado | first6 = BL. | last7 = Farooq | first7 = H. | last8 = Donovan | first8 = LK. | last9 = Garzia | first9 = L. | title = Spatial heterogeneity in medulloblastoma. | journal = Nat Genet | volume = 49 | issue = 5 | pages = 780-788 | month = May | year = 2017 | doi = 10.1038/ng.3838 | PMID = 28394352 }}</ref>
**Show molecularly spatially homogeneous transcriptomes, allowing for accurate subgrouping of tumors from a single biopsy.<ref>{{Cite journal  | last1 = Morrissy | first1 = AS. | last2 = Cavalli | first2 = FMG. | last3 = Remke | first3 = M. | last4 = Ramaswamy | first4 = V. | last5 = Shih | first5 = DJH. | last6 = Holgado | first6 = BL. | last7 = Farooq | first7 = H. | last8 = Donovan | first8 = LK. | last9 = Garzia | first9 = L. | title = Spatial heterogeneity in medulloblastoma. | journal = Nat Genet | volume = 49 | issue = 5 | pages = 780-788 | month = May | year = 2017 | doi = 10.1038/ng.3838 | PMID = 28394352 }}</ref>
*Commonly spread via cerebrospinal fluid (CSF).<ref>{{Ref APBR|424 Q34}}</ref>
*Commonly spread via cerebrospinal fluid (CSF).<ref>{{Ref APBR|424 Q34}}</ref>
**May be detected in [[CSF cytopathology]] specimens.
**May be detected in [[CSF cytopathology]] specimens.
*All subgroups correspond to WHO grade IV.
 


==Gross==
==Gross==
*Location: cerebellum - '''key feature''' or dorsal brainstem (lower rhombic lip).
*Location: cerebellum - '''key feature''' or dorsal brainstem (lower rhombic lip).
**Morphologically identical supratentorial tumours are called ''[[primitive neuroectodermal tumour]]'' (PNET).
**For morphologically identical supratentorial tumours see possible DDx.
**Supratentorial and spinal metastases from initial tumor possible.
**Supratentorial and spinal metastases from initial medulloblastoma possible.


==Microscopic==
==Microscopic==
Features:<ref>URL: [http://moon.ouhsc.edu/kfung/jty1/neurotest/Q93-Ans.htm http://moon.ouhsc.edu/kfung/jty1/neurotest/Q93-Ans.htm]. Accessed on: 26 October 2010.</ref>
Features:<ref>URL: [http://moon.ouhsc.edu/kfung/jty1/neurotest/Q93-Ans.htm http://moon.ouhsc.edu/kfung/jty1/neurotest/Q93-Ans.htm]. Accessed on: 26 October 2010.</ref>
*[[Small round cell tumour]].
*[[Small round cell tumour]].
*Mild to moderate nuclear pleomorphism.
*High mitotic count.
*Homer-Wright [[rosette]]s:
*Homer-Wright [[rosette]]s:
**Rosette with a meshwork of fibers (neuropil) at the centre.<ref>{{cite journal |author=Wippold FJ, Perry A |title=Neuropathology for the neuroradiologist: rosettes and pseudorosettes |journal=AJNR Am J Neuroradiol |volume=27 |issue=3 |pages=488–92 |year=2006 |month=March |pmid=16551982 |doi= |url=}}</ref>
**Rosette with a meshwork of fibers (neuropil) at the centre.<ref>{{cite journal |author=Wippold FJ, Perry A |title=Neuropathology for the neuroradiologist: rosettes and pseudorosettes |journal=AJNR Am J Neuroradiol |volume=27 |issue=3 |pages=488–92 |year=2006 |month=March |pmid=16551982 |doi= |url=}}</ref>
Line 32: Line 68:
* Nestin +ve
* Nestin +ve
* [[INI1]] retained (no loss)
* [[INI1]] retained (no loss)
Genetic grouping with IHC:<ref>{{Cite journal  | last1 = Pietsch | first1 = T. | last2 = Haberler | first2 = C. | title = Update on the integrated histopathological and genetic classification of medulloblastoma - a practical diagnostic guideline. | journal = Clin Neuropathol | volume = 35 | issue = 6 | pages = 344-352 | month =  | year =  | doi = 10.5414/NP300999 | PMID = 27781424 }}</ref>
* WNT: beta-catein: nuclear +ve, YAP1+ve, OTX2+ve.
* SHH: YAP1+ve, OTX2-ve, p75+ve.
* Non-WNT/Non-SHH: * SHH: YAP1-ve, OTX2+ve, p75+ve.


DDx:
DDx:
*[[Small round cell tumours]].
*[[Small round cell tumours]].
** [[AT/RT]] (INI1 loss)
** [[AT/RT]]. (INI1 loss)
** CNS-[[PNET]]
** CNS-embryonal tumour (aka CNS-[[PNET]]).
** ETMR (LIN28)-positive
** ETMR (LIN28)-positive.
** Ewing Sarcoma family members
** Ewing Sarcoma family members.
** Small cell glioblastoma
** Small cell glioblastoma (Olig2 +ve) - esp. after RT and longer latency. <ref>{{Cite journal  | last1 = Phi | first1 = JH. | last2 = Park | first2 = AK. | last3 = Lee | first3 = S. | last4 = Choi | first4 = SA. | last5 = Baek | first5 = IP. | last6 = Kim | first6 = P. | last7 = Kim | first7 = EH. | last8 = Park | first8 = HC. | last9 = Kim | first9 = BC. | title = Genomic analysis reveals secondary glioblastoma after radiotherapy in a subset of recurrent medulloblastomas. | journal = Acta Neuropathol | volume =  | issue =  | pages =  | month = Apr | year = 2018 | doi = 10.1007/s00401-018-1845-8 | PMID = 29644394 }}</ref>
** Anaplastic ependymoma.


==Images==
==Images==
Line 76: Line 117:
*#Desmoplastic/nodular medulloblastoma (DNMB).
*#Desmoplastic/nodular medulloblastoma (DNMB).
*#Medulloblastoma with extensive nodularity (MBEN).
*#Medulloblastoma with extensive nodularity (MBEN).
====Classic variant====
*Densely packed embryonal cells.
*Mitosis / apoptosis present.
*Nodules of neurocytic differentiation without internodular reticulin.
*Rarely spongioblastic pattern (ribboning).


====Anaplastic variant====
====Anaplastic variant====
Line 93: Line 140:
===Genetically defined===
===Genetically defined===
*WNT (brainstem-related, usu. CTNNB1 mutations, less common: CSNK2B, AXIN2, APC, approx. 10%).<ref>{{Cite journal  | last1 = Wefers | first1 = AK. | last2 = Warmuth-Metz | first2 = M. | last3 = Pöschl | first3 = J. | last4 = von Bueren | first4 = AO. | last5 = Monoranu | first5 = CM. | last6 = Seelos | first6 = K. | last7 = Peraud | first7 = A. | last8 = Tonn | first8 = JC. | last9 = Koch | first9 = A. | title = Subgroup-specific localization of human medulloblastoma based on pre-operative MRI. | journal = Acta Neuropathol | volume = 127 | issue = 6 | pages = 931-3 | month =  | year = 2014 | doi = 10.1007/s00401-014-1271-5 | PMID = 24699697 }}</ref>
*WNT (brainstem-related, usu. CTNNB1 mutations, less common: CSNK2B, AXIN2, APC, approx. 10%).<ref>{{Cite journal  | last1 = Wefers | first1 = AK. | last2 = Warmuth-Metz | first2 = M. | last3 = Pöschl | first3 = J. | last4 = von Bueren | first4 = AO. | last5 = Monoranu | first5 = CM. | last6 = Seelos | first6 = K. | last7 = Peraud | first7 = A. | last8 = Tonn | first8 = JC. | last9 = Koch | first9 = A. | title = Subgroup-specific localization of human medulloblastoma based on pre-operative MRI. | journal = Acta Neuropathol | volume = 127 | issue = 6 | pages = 931-3 | month =  | year = 2014 | doi = 10.1007/s00401-014-1271-5 | PMID = 24699697 }}</ref>
**Caution: Some WNT-activated MB may show additional subclonal SHH-mutations.<ref>{{Cite journal  | last1 = Iorgulescu | first1 = JB. | last2 = Van Ziffle | first2 = J. | last3 = Stevers | first3 = M. | last4 = Grenert | first4 = JP. | last5 = Bastian | first5 = BC. | last6 = Chavez | first6 = L. | last7 = Stichel | first7 = D. | last8 = Buchhalter | first8 = I. | last9 = Samuel | first9 = D. | title = Deep sequencing of WNT-activated medulloblastomas reveals secondary SHH pathway activation. | journal = Acta Neuropathol | volume = 135 | issue = 4 | pages = 635-638 | month = Apr | year = 2018 | doi = 10.1007/s00401-018-1819-x | PMID = 29435664 }}</ref>
** Usu. classic MB in histology.
** Caution: Some WNT-activated MB may show additional subclonal SHH-mutations.<ref>{{Cite journal  | last1 = Iorgulescu | first1 = JB. | last2 = Van Ziffle | first2 = J. | last3 = Stevers | first3 = M. | last4 = Grenert | first4 = JP. | last5 = Bastian | first5 = BC. | last6 = Chavez | first6 = L. | last7 = Stichel | first7 = D. | last8 = Buchhalter | first8 = I. | last9 = Samuel | first9 = D. | title = Deep sequencing of WNT-activated medulloblastomas reveals secondary SHH pathway activation. | journal = Acta Neuropathol | volume = 135 | issue = 4 | pages = 635-638 | month = Apr | year = 2018 | doi = 10.1007/s00401-018-1819-x | PMID = 29435664 }}</ref>
** Peak incidence: 7-14 years (15% adults).
** Beta-catenin nuclear +ve.
** Excellent prognosis.
*SHH (PTCH1 & SUFU in infant, PTCH1, SMO, Gli2, MYCN in non-infant, approx 30%).<ref>{{Cite journal  | last1 = Neumann | first1 = JE. | last2 = Swartling | first2 = FJ. | last3 = Schüller | first3 = U. | title = Medulloblastoma: experimental models and reality. | journal = Acta Neuropathol | volume =  | issue =  | pages =  | month = Jul | year = 2017 | doi = 10.1007/s00401-017-1753-3 | PMID = 28725965 }}</ref>
*SHH (PTCH1 & SUFU in infant, PTCH1, SMO, Gli2, MYCN in non-infant, approx 30%).<ref>{{Cite journal  | last1 = Neumann | first1 = JE. | last2 = Swartling | first2 = FJ. | last3 = Schüller | first3 = U. | title = Medulloblastoma: experimental models and reality. | journal = Acta Neuropathol | volume =  | issue =  | pages =  | month = Jul | year = 2017 | doi = 10.1007/s00401-017-1753-3 | PMID = 28725965 }}</ref>
**infantile and adult cases are biologically different, esp p53 mutant tumors are associated with poor outcome.<ref>{{Cite journal  | last1 = Kool | first1 = M. | last2 = Jones | first2 = DT. | last3 = Jäger | first3 = N. | last4 = Northcott | first4 = PA. | last5 = Pugh | first5 = TJ. | last6 = Hovestadt | first6 = V. | last7 = Piro | first7 = RM. | last8 = Esparza | first8 = LA. | last9 = Markant | first9 = SL. | title = Genome sequencing of SHH medulloblastoma predicts genotype-related response to smoothened inhibition. | journal = Cancer Cell | volume = 25 | issue = 3 | pages = 393-405 | month = Mar | year = 2014 | doi = 10.1016/j.ccr.2014.02.004 | PMID = 24651015 }}</ref>
**Origin in the cerebellar granule neuron cell precursors.
*Group 3 (approx. 20%).
**Infantile and adult cases are biologically different, esp p53 mutant tumors are associated with poor outcome.<ref>{{Cite journal  | last1 = Kool | first1 = M. | last2 = Jones | first2 = DT. | last3 = Jäger | first3 = N. | last4 = Northcott | first4 = PA. | last5 = Pugh | first5 = TJ. | last6 = Hovestadt | first6 = V. | last7 = Piro | first7 = RM. | last8 = Esparza | first8 = LA. | last9 = Markant | first9 = SL. | title = Genome sequencing of SHH medulloblastoma predicts genotype-related response to smoothened inhibition. | journal = Cancer Cell | volume = 25 | issue = 3 | pages = 393-405 | month = Mar | year = 2014 | doi = 10.1016/j.ccr.2014.02.004 | PMID = 24651015 }}</ref>
*Group 4 (approx. 40%).
**Infantile, p53 wildtype: Usu. desmoplastic/nodular, 10q loss.
** Group 3+4 are often designated together as Non-Wnt/Non-SHH tumours.
**SHH-p53 mutant: Usu. large cell/anaplastic, 17q loss.
*Non WNT/Non SHH:
**Group 3 (approx. 20%).
***Classic and large cell/anaplastic, MYC amplification, isochromosome 17q.
**Group 4 (approx. 40%).
***Classic phenotype, MYCN amplification, isodicentric 17q.
Note: Within Group 3+4 two  or  more  of  chromosome  7  gain,  chromo­some 8 loss, and chromosome 11 loss separates standard risk medulloblastoma samples into favorable and classifies the remaining i17q diploid cases as high-risk.


==Prognosis==
==Prognosis==

Latest revision as of 15:20, 20 November 2019

Medulloblastoma
Diagnosis in short

Classic medulloblastoma H&E stain.
LM DDx small cell round blue tumous.
Stains Reticulin +ve (in desmoplastic MB)
IHC MAP2+ve
Gross cerebellar.
Site brain - usu. cerebellum

Prevalence common - esp. in children
Prognosis subtype-dependent (WHO Grade IV)


Medulloblastoma is a malignant small round cell tumour that is found in the cerebellum or dorsal brainstem. It is the most common malignant CNS tumour in children.


General

  • Mostly paediatric population (mean age: 9 years).
  • Tumors consists of histologically and molecular distinct subgroups.
  • All subgroups correspond to WHO grade IV.
  • May be seen as a component of nevoid basal cell carcinoma syndrome (NBCCS) AKA Gorlin syndrome, Li-Fraumeni syndrome, Turcot syndrome, Rubinstain-Taybi syndrome and Nijmegen breakage syndrome.
    • Show molecularly spatially homogeneous transcriptomes, allowing for accurate subgrouping of tumors from a single biopsy.[1]
  • Commonly spread via cerebrospinal fluid (CSF).[2]


Gross

  • Location: cerebellum - key feature or dorsal brainstem (lower rhombic lip).
    • For morphologically identical supratentorial tumours see possible DDx.
    • Supratentorial and spinal metastases from initial medulloblastoma possible.

Microscopic

Features:[3]

IHC

  • MAP2 usu. +ve
  • Synaptophysin +ve (weak to strong)
  • NSE +ve/-ve
  • NF +ve/-ve
  • Chromogranin +ve/-ve
  • GFAP +ve/-ve (mostly along blood vessels)
  • Vimentin +ve
  • Nestin +ve
  • INI1 retained (no loss)

Genetic grouping with IHC:[5]

  • WNT: beta-catein: nuclear +ve, YAP1+ve, OTX2+ve.
  • SHH: YAP1+ve, OTX2-ve, p75+ve.
  • Non-WNT/Non-SHH: * SHH: YAP1-ve, OTX2+ve, p75+ve.

DDx:

  • Small round cell tumours.
    • AT/RT. (INI1 loss)
    • CNS-embryonal tumour (aka CNS-PNET).
    • ETMR (LIN28)-positive.
    • Ewing Sarcoma family members.
    • Small cell glioblastoma (Olig2 +ve) - esp. after RT and longer latency. [6]
    • Anaplastic ependymoma.

Images

Case:

www:

Subtypes

Histologically defined

  • Classic medulloblastoma (~85% of all medulloblastomas).
  • Variants of medulloblastoma (~15% of all medulloblastomas together):
    1. Anaplastic / Large cell variant.
    2. Desmoplastic/nodular medulloblastoma (DNMB).
    3. Medulloblastoma with extensive nodularity (MBEN).

Classic variant

  • Densely packed embryonal cells.
  • Mitosis / apoptosis present.
  • Nodules of neurocytic differentiation without internodular reticulin.
  • Rarely spongioblastic pattern (ribboning).

Anaplastic variant

Features:

  • Larger cells.
  • Severe anaplasia.
  • Polygonal cells.

Desmoplastic/nodular variant

Features:

  • Nodular, reticulin-free zones (pale islands).
    • Mitotic activity is reduced.
  • Densely packed internodal, reticulin-positive tumor areas.
  • Absence of neuroblastic rosettes.
  • Neuronal markers (NeuN, Synaptophysin) can be +ve.

Genetically defined

  • WNT (brainstem-related, usu. CTNNB1 mutations, less common: CSNK2B, AXIN2, APC, approx. 10%).[7]
    • Usu. classic MB in histology.
    • Caution: Some WNT-activated MB may show additional subclonal SHH-mutations.[8]
    • Peak incidence: 7-14 years (15% adults).
    • Beta-catenin nuclear +ve.
    • Excellent prognosis.
  • SHH (PTCH1 & SUFU in infant, PTCH1, SMO, Gli2, MYCN in non-infant, approx 30%).[9]
    • Origin in the cerebellar granule neuron cell precursors.
    • Infantile and adult cases are biologically different, esp p53 mutant tumors are associated with poor outcome.[10]
    • Infantile, p53 wildtype: Usu. desmoplastic/nodular, 10q loss.
    • SHH-p53 mutant: Usu. large cell/anaplastic, 17q loss.
  • Non WNT/Non SHH:
    • Group 3 (approx. 20%).
      • Classic and large cell/anaplastic, MYC amplification, isochromosome 17q.
    • Group 4 (approx. 40%).
      • Classic phenotype, MYCN amplification, isodicentric 17q.

Note: Within Group 3+4 two or more of chromosome 7 gain, chromo­some 8 loss, and chromosome 11 loss separates standard risk medulloblastoma samples into favorable and classifies the remaining i17q diploid cases as high-risk.

Prognosis

  • Prognosis based on histology:[11][12][13] DNMB & MBEN > classic > anaplastic & large cell variant.
  • Prognosis based on genetics:[14] WNT > SHH (without Tp53 mut) > Group 4 > Group 3 > SHH (with Tp53 mut).

See also

References

  1. Morrissy, AS.; Cavalli, FMG.; Remke, M.; Ramaswamy, V.; Shih, DJH.; Holgado, BL.; Farooq, H.; Donovan, LK. et al. (May 2017). "Spatial heterogeneity in medulloblastoma.". Nat Genet 49 (5): 780-788. doi:10.1038/ng.3838. PMID 28394352.
  2. Lefkowitch, Jay H. (2006). Anatomic Pathology Board Review (1st ed.). Saunders. pp. 424 Q34. ISBN 978-1416025887.
  3. URL: http://moon.ouhsc.edu/kfung/jty1/neurotest/Q93-Ans.htm. Accessed on: 26 October 2010.
  4. Wippold FJ, Perry A (March 2006). "Neuropathology for the neuroradiologist: rosettes and pseudorosettes". AJNR Am J Neuroradiol 27 (3): 488–92. PMID 16551982.
  5. Pietsch, T.; Haberler, C.. "Update on the integrated histopathological and genetic classification of medulloblastoma - a practical diagnostic guideline.". Clin Neuropathol 35 (6): 344-352. doi:10.5414/NP300999. PMID 27781424.
  6. Phi, JH.; Park, AK.; Lee, S.; Choi, SA.; Baek, IP.; Kim, P.; Kim, EH.; Park, HC. et al. (Apr 2018). "Genomic analysis reveals secondary glioblastoma after radiotherapy in a subset of recurrent medulloblastomas.". Acta Neuropathol. doi:10.1007/s00401-018-1845-8. PMID 29644394.
  7. Wefers, AK.; Warmuth-Metz, M.; Pöschl, J.; von Bueren, AO.; Monoranu, CM.; Seelos, K.; Peraud, A.; Tonn, JC. et al. (2014). "Subgroup-specific localization of human medulloblastoma based on pre-operative MRI.". Acta Neuropathol 127 (6): 931-3. doi:10.1007/s00401-014-1271-5. PMID 24699697.
  8. Iorgulescu, JB.; Van Ziffle, J.; Stevers, M.; Grenert, JP.; Bastian, BC.; Chavez, L.; Stichel, D.; Buchhalter, I. et al. (Apr 2018). "Deep sequencing of WNT-activated medulloblastomas reveals secondary SHH pathway activation.". Acta Neuropathol 135 (4): 635-638. doi:10.1007/s00401-018-1819-x. PMID 29435664.
  9. Neumann, JE.; Swartling, FJ.; Schüller, U. (Jul 2017). "Medulloblastoma: experimental models and reality.". Acta Neuropathol. doi:10.1007/s00401-017-1753-3. PMID 28725965.
  10. Kool, M.; Jones, DT.; Jäger, N.; Northcott, PA.; Pugh, TJ.; Hovestadt, V.; Piro, RM.; Esparza, LA. et al. (Mar 2014). "Genome sequencing of SHH medulloblastoma predicts genotype-related response to smoothened inhibition.". Cancer Cell 25 (3): 393-405. doi:10.1016/j.ccr.2014.02.004. PMID 24651015.
  11. Gulino A, Arcella A, Giangaspero F (November 2008). "Pathological and molecular heterogeneity of medulloblastoma". Curr Opin Oncol 20 (6): 668–75. doi:10.1097/CCO.0b013e32831369f4. PMID 18841049.
  12. Rutkowski S, von Hoff K, Emser A, et al. (November 2010). "Survival and Prognostic Factors of Early Childhood Medulloblastoma: An International Meta-Analysis". J Clin Oncol 28 (33): 4961–4968. doi:10.1200/JCO.2010.30.2299. PMID 20940197.
  13. Rutkowski, S.; Bode, U.; Deinlein, F.; Ottensmeier, H.; Warmuth-Metz, M.; Soerensen, N.; Graf, N.; Emser, A. et al. (Mar 2005). "Treatment of early childhood medulloblastoma by postoperative chemotherapy alone.". N Engl J Med 352 (10): 978-86. doi:10.1056/NEJMoa042176. PMID 15758008.
  14. Ramaswamy, V.; Remke, M.; Bouffet, E.; Bailey, S.; Clifford, SC.; Doz, F.; Kool, M.; Dufour, C. et al. (Jun 2016). "Risk stratification of childhood medulloblastoma in the molecular era: the current consensus.". Acta Neuropathol 131 (6): 821-31. doi:10.1007/s00401-016-1569-6. PMID 27040285.