SMARCB1
(Redirected from INI1)
Jump to navigation
Jump to search
| SMARCB1 | |
|---|---|
| Immunostain in short | |
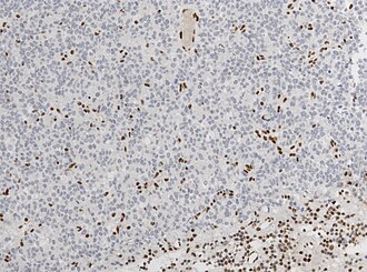
|
Template:Px INI1-ve in AT/RT. | |
| Abbreviation | SMARCB1, BAF47 |
| Normal staining pattern | nuclear staining |
| Positive | any healthy tissue |
| Negative | AT/RT, renal rhabdoid tumour, extrarenal malignant rhabdoid tumour, atypical teratoid/rhabdoid tumour, epithelioid sarcoma |
SWI/SNF-related, matrix-associated, actin-dependent regulator of chromatin, subfamily B, member 1, commonly abbreviated SMARCB1, is a diagnostic immunostain, because nuclear staining is lost in some specific types of cancer shown below.
It is also known as INI1, INI-1 and BAF47.
Negative
- Epithelioid sarcoma.[1]
- Extrarenal malignant rhabdoid tumour.[2]
- Renal rhabdoid tumour.
- SMARCB1 (INI-1)-deficient carcinomas of the sinonasal tract.[3]
- Atypical teratoid/rhabdoid tumour.[4]
- Up to 30% of synovial sarcoma.[5]
- Renal medullary carcinoma.
- Renal carcinoma (not rhabdoid tumour and not medullary carcinoma).[6]
- Rhabdoid carcinoma of gastrointestinal tract.[7]
See also
References
- ↑ Hornick, Jason (2009). "Loss of INI1 expression is characteristic of both conventional and proximal-type epithelioid sarcoma". American Journal of Surgical Pathology.
- ↑ Jackson EM, Sievert AJ, Gai X et al. (March 2009). "Genomic analysis using high-density single nucleotide polymorphism-based oligonucleotide arrays and multiplex ligation-dependent probe amplification provides a comprehensive analysis of INI1/SMARCB1 in malignant rhabdoid tumors". Clin. Cancer Res. 15 (6): 1923–30.
- ↑ Bishop, JA.; Antonescu, CR.; Westra, WH. (Sep 2014). "SMARCB1 (INI-1)-deficient carcinomas of the sinonasal tract.". Am J Surg Pathol 38 (9): 1282-9. doi:10.1097/PAS.0000000000000285. PMID 25007146.
- ↑ Hasselblatt, M.; Isken, S.; Linge, A.; Eikmeier, K.; Jeibmann, A.; Oyen, F.; Nagel, I.; Richter, J. et al. (Feb 2013). "High-resolution genomic analysis suggests the absence of recurrent genomic alterations other than SMARCB1 aberrations in atypical teratoid/rhabdoid tumors.". Genes Chromosomes Cancer 52 (2): 185-90. doi:10.1002/gcc.22018. PMID 23074045.
- ↑ Mularz, K.; Harazin-Lechowska, A.; Ambicka, A.; Kruczak, A.; Rozmus-Piętoń, M.; Marchińska-Osika, U.; Swiątkiewicz, I.; Król, M. et al. (Nov 2012). "Specificity and sensitivity of INI-1 labeling in epithelioid sarcoma. Loss of INI1 expression as a frequent immunohistochemical event in synovial sarcoma.". Pol J Pathol 63 (3): 179-83. PMID 23161234.
- ↑ Agaimy A, Hartmann A (November 2021). "[SMARCB1(INI1)-deficient renal cell carcinoma: medullary and beyond : Evolving concepts]" (in German). Pathologe 42 (6): 571–577. doi:10.1007/s00292-021-00985-y. PMID 34609565.
- ↑ Agaimy A, Rau TT, Hartmann A, Stoehr R (July 2014). "SMARCB1 (INI1)-negative rhabdoid carcinomas of the gastrointestinal tract: clinicopathologic and molecular study of a highly aggressive variant with literature review". Am J Surg Pathol 38 (7): 910–20. doi:10.1097/PAS.0000000000000173. PMID 24503755.