Atypical teratoid/rhabdoid tumour
Jump to navigation
Jump to search
| Atypical teratoid/rhabdoid tumour | |
|---|---|
| Diagnosis in short | |
|
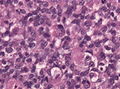
AT/RT. H&E stain. | |
|
| |
| LM | cellular tumour with small round cells usu. with a prominent nucleolus, rhabdoid cells (eosinophilic granular cytoplasm + eccentric nucleus), mitoses. +/-necrosis (common) |
| LM DDx | primitive neuroectodermal tumour (PNET), medulloblastoma, diffuse astrocytoma, choroid plexus carcinoma, embryonal carcinoma |
| IHC | INI1 -ve, S-100 +ve, EMA +ve, SMA +ve |
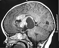
| Site | CNS - typically supratentorial |
|
| |
| Clinical history | usu. <3 years olds, occasionally adults |
| Prevalence | uncommon - esp. in adults |
| Prognosis | very poor |
Atypical teratoid/rhabdoid tumour, abbreviated AT/RT, is malignant tumour usually found supratentorially.
It may be written atypical teratoid rhabdoid tumour (abbreviated ATRT) or atypical teratoid-rhabdoid tumour (abbreviated AT-RT).
It should not be confused with the extrarenal malignant rhabdoid tumour.
General
- Usually supratentorial, occasionally in posterior fossa, case reports of spinal cord.
- Individuals usually <3 years old, uncommon in adults.[1]
- Prognosis very poor, but long-term survivors reported.[2]
Microscopic
Features:
- Cellular.
- Small round cells usu. with a prominent nucleolus.
- Rhabdoid cells.
- Cells with eosinophilic granular cytoplasm + eccentric nucleus.
- Mitoses.
- +/-Necrosis (common).
DDx:
- Primitive neuroectodermal tumour (PNET).
- Medulloblastoma.
- Small cell carcinoma metastasis.
- Choroid plexus carcinoma.
- Embryonal carcinoma.
- Rhabdoid meningioma.
- Intracranial Desmoplastic small round cell tumour.
Images
www:
IHC
- INI1-ve (AKA BAF-47, AKA SMARCB1 - the HGNC symbol[3]) - virtually diagnostic (4/4 cases[4]).
- Endothelial cells +ve control.
- S-100 +ve (4/4 cases[4]).
- Few other brain tumours express it.
- Vimentin +ve - perinuclear condensation (4/4 cases[4]).
- LIN28 focally +ve [5]
Others:
- GFAP +ve (focal - in tumour cells).
- EMA +ve - patchy cytoplasmic (4/4 cases[4]).
- Smooth muscle actin +ve.(4/4 cases[4]). [6]
- Cytokeratin +ve.[7]
- Kir 7.1 occasionally +ve[8]
Molecular
- Almost all cases associated with SMARCB1 abberations.[9]
- Single cases with SMARCA4 mutation.[10]
- Two molecular subgroups:[11]
- Group 1: usu. supratentorial, ASCL1-positive: high-risk.
- Group 2: usu. infratentorial, BMP-signalling: very high risk.
See also
- Neuropathology tumours.
- Extrarenal malignant rhabdoid tumour.
- Renal malignant rhabdoid tumour.
- Ovarian small cell carcinoma of the hypercalcemic type
References
- ↑ Kanoto, M.; Toyoguchi, Y.; Hosoya, T.; Kuchiki, M.; Sugai, Y. (Jan 2014). "Radiological Image Features of the Atypical Teratoid/Rhabdoid Tumor in Adults: A Systematic Review.". Clin Neuroradiol. doi:10.1007/s00062-013-0282-2. PMID 24477665.
- ↑ von Hoff, K.; Hinkes, B.; Dannenmann-Stern, E.; von Bueren, AO.; Warmuth-Metz, M.; Soerensen, N.; Emser, A.; Zwiener, I. et al. (Dec 2011). "Frequency, risk-factors and survival of children with atypical teratoid rhabdoid tumors (AT/RT) of the CNS diagnosed between 1988 and 2004, and registered to the German HIT database.". Pediatr Blood Cancer 57 (6): 978-85. doi:10.1002/pbc.23236. PMID 21796761.
- ↑ Online 'Mendelian Inheritance in Man' (OMIM) 601607
- ↑ 4.0 4.1 4.2 4.3 4.4 Ertan, Y.; Sezak, M.; Turhan, T.; Kantar, M.; Erşahin, Y.; Mutluer, S.; Vergin, C.; Oniz, H. et al. (Jun 2009). "Atypical teratoid/rhabdoid tumor of the central nervous system: clinicopathologic and immunohistochemical features of four cases.". Childs Nerv Syst 25 (6): 707-11. doi:10.1007/s00381-009-0811-0. PMID 19212771.
- ↑ Korshunov, A.; Ryzhova, M.; Jones, DT.; Northcott, PA.; van Sluis, P.; Volckmann, R.; Koster, J.; Versteeg, R. et al. (Dec 2012). "LIN28A immunoreactivity is a potent diagnostic marker of embryonal tumor with multilayered rosettes (ETMR).". Acta Neuropathol 124 (6): 875-81. doi:10.1007/s00401-012-1068-3. PMID 23161096.
- ↑ Lee, MC.; Park, SK.; Lim, JS.; Jung, S.; Kim, JH.; Woo, YJ.; Lee, JS.; Kim, HI. et al. (Dec 2002). "Atypical teratoid/rhabdoid tumor of the central nervous system: clinico-pathological study.". Neuropathology 22 (4): 252-60. PMID 12564764.
- ↑ Lee, MC.; Park, SK.; Lim, JS.; Jung, S.; Kim, JH.; Woo, YJ.; Lee, JS.; Kim, HI. et al. (Dec 2002). "Atypical teratoid/rhabdoid tumor of the central nervous system: clinico-pathological study.". Neuropathology 22 (4): 252-60. PMID 12564764.
- ↑ Schittenhelm, J.; Nagel, C.; Meyermann, R.; Beschorner, R. (Oct 2011). "Atypical teratoid/rhabdoid tumors may show morphological and immunohistochemical features seen in choroid plexus tumors.". Neuropathology 31 (5): 461-7. doi:10.1111/j.1440-1789.2010.01189.x. PMID 21276081.
- ↑ Hasselblatt, M.; Isken, S.; Linge, A.; Eikmeier, K.; Jeibmann, A.; Oyen, F.; Nagel, I.; Richter, J. et al. (Feb 2013). "High-resolution genomic analysis suggests the absence of recurrent genomic alterations other than SMARCB1 aberrations in atypical teratoid/rhabdoid tumors.". Genes Chromosomes Cancer 52 (2): 185-90. doi:10.1002/gcc.22018. PMID 23074045.
- ↑ Hasselblatt, M.; Gesk, S.; Oyen, F.; Rossi, S.; Viscardi, E.; Giangaspero, F.; Giannini, C.; Judkins, AR. et al. (Jun 2011). "Nonsense mutation and inactivation of SMARCA4 (BRG1) in an atypical teratoid/rhabdoid tumor showing retained SMARCB1 (INI1) expression.". Am J Surg Pathol 35 (6): 933-5. doi:10.1097/PAS.0b013e3182196a39. PMID 21566516.
- ↑ Torchia, J.; Picard, D.; Lafay-Cousin, L.; Hawkins, CE.; Kim, SK.; Letourneau, L.; Ra, YS.; Ho, KC. et al. (May 2015). "Molecular subgroups of atypical teratoid rhabdoid tumours in children: an integrated genomic and clinicopathological analysis.". Lancet Oncol 16 (5): 569-82. doi:10.1016/S1470-2045(15)70114-2. PMID 25882982.