Difference between revisions of "Thyroid transcription factor-1"
Jump to navigation
Jump to search
| Line 27: | Line 27: | ||
===Positive staining=== | ===Positive staining=== | ||
*[[Lung adenocarcinoma]].<ref name=pmid12023581>{{Cite journal | last1 = Yatabe | first1 = Y. | last2 = Mitsudomi | first2 = T. | last3 = Takahashi | first3 = T. | title = TTF-1 expression in pulmonary adenocarcinomas. | journal = Am J Surg Pathol | volume = 26 | issue = 6 | pages = 767-73 | month = Jun | year = 2002 | doi = | PMID = 12023581 }}</ref> | *[[Lung adenocarcinoma]].<ref name=pmid12023581>{{Cite journal | last1 = Yatabe | first1 = Y. | last2 = Mitsudomi | first2 = T. | last3 = Takahashi | first3 = T. | title = TTF-1 expression in pulmonary adenocarcinomas. | journal = Am J Surg Pathol | volume = 26 | issue = 6 | pages = 767-73 | month = Jun | year = 2002 | doi = | PMID = 12023581 }}</ref> | ||
**[[Small cell carcinoma of the lung]]. | **[[Small cell carcinoma of the lung]] ~ 91% positive (157 +ve of 173<ref name=pmid37139017>{{cite journal |authors=Sayeda S, Naqvi A, Begum H, Juergens RA, Finley C, Coschi CH, Cutz JC, Bonert M |title=Prevalence of Thyroid Transcription Factor-1 (TTF-1)-Negative Small Cell Carcinoma and Napsin A Positivity in Small Cell Carcinoma in a Cross-Sectional Study of Lung Core Biopsies |journal=Cureus |volume=15 |issue=4 |pages=e37015 |date=April 2023 |pmid=37139017 |pmc=10151064 |doi=10.7759/cureus.37015 |url=}}</ref>). | ||
**[[Adenocarcinoma of the lung]]. | **[[Adenocarcinoma of the lung]]. | ||
*Thyroid carcinoma. | *Thyroid carcinoma. | ||
Latest revision as of 20:50, 27 November 2023
| Thyroid transcription factor-1 | |
|---|---|
| Immunostain in short | |
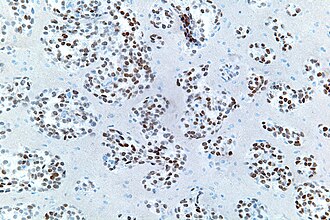
|
TTF-1 staining in lung adenocarcinoma. (WC) | |
| Normal staining pattern | nuclear staining |
| Positive | adenocarcinoma of the lung, small cell carcinoma of the lung, thyroid, hepatocellular carcinoma (cytoplasmic staining) |
| Negative | squamous cell carcinoma of the lung |
Thyroid transcription factor-1, abbreviated TTF-1 is a transcription factor seen in lung and thyroid.[1]
Positive staining
- Nuclear staining.
Normal tissues
Tumours
Positive staining
- Lung adenocarcinoma.[2]
- Small cell carcinoma of the lung ~ 91% positive (157 +ve of 173[3]).
- Adenocarcinoma of the lung.
- Thyroid carcinoma.
- Hepatocellular carcinoma (cytoplasmic staining, nuclei negative).[4]
- Spindle cell oncocytoma / Pituicytoma / Granular cell tumor of the pituitary. [5]
- Subependymal giant cell astrocytoma [6]
Negative staining
- Squamous cell carcinoma of the lung.
- SMARCA4-deficient non-small cell carcinoma of the lung - typically ~ 5% of lung adenocarcinoma is TTF-1 negative.
Images
TTF1 in a Pituicytoma (WC/jensflorian).
See also
References
- ↑ Ordóñez, NG. (Mar 2000). "Thyroid transcription factor-1 is a marker of lung and thyroid carcinomas.". Adv Anat Pathol 7 (2): 123-7. PMID 10721419.
- ↑ Yatabe, Y.; Mitsudomi, T.; Takahashi, T. (Jun 2002). "TTF-1 expression in pulmonary adenocarcinomas.". Am J Surg Pathol 26 (6): 767-73. PMID 12023581.
- ↑ Sayeda S, Naqvi A, Begum H, Juergens RA, Finley C, Coschi CH, Cutz JC, Bonert M (April 2023). "Prevalence of Thyroid Transcription Factor-1 (TTF-1)-Negative Small Cell Carcinoma and Napsin A Positivity in Small Cell Carcinoma in a Cross-Sectional Study of Lung Core Biopsies". Cureus 15 (4): e37015. doi:10.7759/cureus.37015. PMC 10151064. PMID 37139017. https://www.ncbi.nlm.nih.gov/pmc/articles/PMC10151064/.
- ↑ Mishra, M.; Morgan, V.; Hamati, AK.; Al-Abbadi, M. (Jan 2012). "Carcinoma of unknown primary: check the liver... thanks to TTF-1.". Tenn Med 105 (1): 35-6, 40. PMID 22359993.
- ↑ Mete, O.; Lopes, MB.; Asa, SL. (Nov 2013). "Spindle cell oncocytomas and granular cell tumors of the pituitary are variants of pituicytoma.". Am J Surg Pathol 37 (11): 1694-9. doi:10.1097/PAS.0b013e31829723e7. PMID 23887161.
- ↑ Hewer, E.; Vajtai, I.. "Consistent nuclear expression of thyroid transcription factor 1 in subependymal giant cell astrocytomas suggests lineage-restricted histogenesis.". Clin Neuropathol 34 (3): 128-31. doi:10.5414/NP300818. PMID 25669749.
- ↑ Herpel, E.; Rieker, RJ.; Dienemann, H.; Muley, T.; Meister, M.; Hartmann, A.; Warth, A.; Agaimy, A. (Feb 2017). "SMARCA4 and SMARCA2 deficiency in non-small cell lung cancer: immunohistochemical survey of 316 consecutive specimens.". Ann Diagn Pathol 26: 47-51. doi:10.1016/j.anndiagpath.2016.10.006. PMID 28038711.