Subependymal giant cell astrocytoma

From Libre Pathology
Jump to navigation Jump to search
Subependymal giant cell astrocytoma
Diagnosis in short

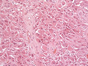
Subependymal giant cell astrocytoma H&E stain.

Synonyms SEGA
LM DDx ganglioglioma, pleomorphic xanthoastrocytoma, glioblastoma
IHC GFAP +ve
Site brain - usu. wall of ventricles

Prevalence rare - esp. in young adults
Prognosis good (WHO Grade I)


Subependymal giant cell astrocytoma, abbreviated SEGA, is a low-grade astrocytoma associated with tuberous sclerosis complex.

General

  • Associated with tuberous sclerosis complex (TSC).[1]
    • 6-14% of all TSC patients will develop a SEGA.
    • Sporadic examples of SEGA may represent undetected TSC patients (i.e., low-level somatic mosaicism)[2].
  • Associated with epilepsy.
  • WHO Grade I.

Gross/radiology

  • Well-demarcated.
  • Often projecting into a ventricle.
  • May be calcified
  • Circumscribed tumour.

Microscopic

Features:[3][4]

  • Giant cells with nuclear atypia ("bizarre cells", "ganglioid cells").
  • Glassy eosinophilic cytoplasm.
  • Elongated cells in a fibrillary background.
  • Abundant mast cells.[5]
  • Lymphocytic infiltrates.
  • Endothelial proliferations and/or necrosis are not a sign of malignancy.

Images

www:

IHC

Features:[4][6]

  • GFAP +ve. (50%)
  • Vimentin +ve. (100%)
  • S100 +ve. (100%)
  • Neurofilament +/-ve (ganglionic component).
  • Synaptophysin +/-ve (ganglionic component)..
  • TTF-1 (7 out of 7).[7]
  • Olig2-ve.[8]
  • MIB-1 usu. low (1-5%).

See also

References

  1. Grajkowska, W.; Kotulska, K.; Jurkiewicz, E.; Roszkowski, M.; Daszkiewicz, P.; Jóźwiak, S.; Matyja, E. (2011). "Subependymal giant cell astrocytomas with atypical histological features mimicking malignant gliomas.". Folia Neuropathol 49 (1): 39-46. PMID 21455842.
  2. Overwater, IE.; Swenker, R.; van der Ende, EL.; Hanemaayer, KB.; Hoogeveen-Westerveld, M.; van Eeghen, AM.; Lequin, MH.; van den Ouweland, AM. et al. (12 2016). "Genotype and brain pathology phenotype in children with tuberous sclerosis complex.". Eur J Hum Genet 24 (12): 1688-1695. doi:10.1038/ejhg.2016.85. PMID 27406250.
  3. 3.0 3.1 URL: http://path.upmc.edu/cases/case179.html. Accessed on: 29 July 2011.
  4. 4.0 4.1 Taraszewska, A.; Kroh, H.; Majchrowski, A. (1997). "Subependymal giant cell astrocytoma: clinical, histologic and immunohistochemical characteristic of 3 cases.". Folia Neuropathol 35 (3): 181-6. PMID 9595853.
  5. 5.0 5.1 URL: http://path.upmc.edu/cases/case179/micro.html. Accessed on: 8 January 2012.
  6. Hirose, T.; Scheithauer, BW.; Lopes, MB.; Gerber, HA.; Altermatt, HJ.; Hukee, MJ.; VandenBerg, SR.; Charlesworth, JC. (1995). "Tuber and subependymal giant cell astrocytoma associated with tuberous sclerosis: an immunohistochemical, ultrastructural, and immunoelectron and microscopic study.". Acta Neuropathol 90 (4): 387-99. PMID 8546029.
  7. Hewer, E.; Vajtai, I.. "Consistent nuclear expression of thyroid transcription factor 1 in subependymal giant cell astrocytomas suggests lineage-restricted histogenesis.". Clin Neuropathol 34 (3): 128-31. doi:10.5414/NP300818. PMID 25669749.
  8. Overwater, IE.; Swenker, R.; van der Ende, EL.; Hanemaayer, KB.; Hoogeveen-Westerveld, M.; van Eeghen, AM.; Lequin, MH.; van den Ouweland, AM. et al. (12 2016). "Genotype and brain pathology phenotype in children with tuberous sclerosis complex.". Eur J Hum Genet 24 (12): 1688-1695. doi:10.1038/ejhg.2016.85. PMID 27406250.