Difference between revisions of "Vocal cord nodule"

From Libre Pathology
Jump to navigation Jump to search
 
(6 intermediate revisions by the same user not shown)
Line 1: Line 1:
'''Vocal cord nodule''', also '''vocal cord polyp''' and '''singer's nodule''', is a benign pathology of the [[head and neck pathology|head and neck]].
{{ Infobox diagnosis
| Name      = {{PAGENAME}}
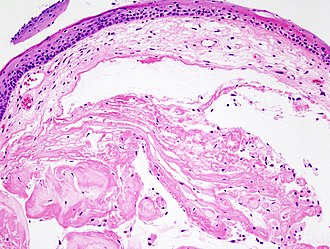
| Image      = Laryngeal_nodule_(1).jpg
| Width      =
| Caption    = Laryngeal nodule
| Synonyms  = singer's nodule, vocal fold nodule
| Micro      = early: edema, fibroblasts proliferation; late: subepithelial hyaline / stromal hyaline, blood vessels - dilated
| Subtypes  =
| LMDDx      = [[amyloidosis]], [[granular cell tumour]], spindle cell [[squamous cell carcinoma of the head and neck|squamous cell carcinoma]], myxoma, ductal-type cyst
| Stains    = [[congo red stain|congo red]] -ve
| IHC        =
| EM        =
| Molecular  =
| IF        =
| Gross      =
| Grossing  =
| Site      = [[vocal cord]] - also see ''[[head and neck pathology]]''
| Assdx      =
| Syndromes  =
| Clinicalhx =
| Signs      = +/-hoarseness
| Symptoms  =
| Prevalence = common
| Bloodwork  =
| Rads      =
| Endoscopy  =
| Prognosis  = benign
| Other      =
| ClinDDx    =
| Tx        =
}}
'''Vocal cord nodule''', also '''vocal cord polyp''', '''vocal fold nodule''' and '''singer's nodule''', is a benign pathology of the [[head and neck pathology|head and neck]].


==General==
==General==
*Benign.
*Benign.
*[[AKA]] ''singer's nodule''.
*Etiology: overuse, "phonatory trauma"<ref name=pmid19730264>{{Cite journal  | last1 = Karkos | first1 = PD. | last2 = McCormick | first2 = M. | title = The etiology of vocal fold nodules in adults. | journal = Curr Opin Otolaryngol Head Neck Surg | volume = 17 | issue = 6 | pages = 420-3 | month = Dec | year = 2009 | doi = 10.1097/MOO.0b013e328331a7f8 | PMID = 19730264 }}</ref> (yelling).
*Etiology: overuse, mechanical trauma (?).
 
Clinical:
*Hoarseness.<ref name=pmid7502253>{{Cite journal  | last1 = Müller | first1 = R. | title = [Hoarseness]. | journal = Ther Umsch | volume = 52 | issue = 11 | pages = 759-62 | month = Nov | year = 1995 | doi =  | PMID = 7502253 }}</ref>


==Microscopic==
==Microscopic==
Line 21: Line 54:
*[[Amyloidosis]].
*[[Amyloidosis]].
*[[Granular cell tumour]].
*[[Granular cell tumour]].
*Spindle cell [[squamous cell carcinoma of the head and neck|squamous cell carcinoma]].
*Spindle cell [[squamous cell carcinoma of the head and neck|squamous cell carcinoma]].<ref>{{Cite journal  | last1 = Soylu | first1 = L. | last2 = Aydogan | first2 = B. | last3 = Tunali | first3 = N. | last4 = Ozsahinoglu | first4 = C. | title = Report of a rare case of vocal fold carcinoma that was obscured by a prominent vocal fold polyp. | journal = Ear Nose Throat J | volume = 78 | issue = 8 | pages = 601-2 | month = Aug | year = 1999 | doi =  | PMID = 10485155 }}</ref>
*Myxoma.
*Myxoma.
*Ductal-type cyst.
*Ductal-type cyst.
*[[Squamous cell carcinoma of the head and neck]].<ref>{{Cite journal  | last1 = Soylu | first1 = L. | last2 = Aydogan | first2 = B. | last3 = Tunali | first3 = N. | last4 = Ozsahinoglu | first4 = C. | title = Report of a rare case of vocal fold carcinoma that was obscured by a prominent vocal fold polyp. | journal = Ear Nose Throat J | volume = 78 | issue = 8 | pages = 601-2 | month = Aug | year = 1999 | doi =  | PMID = 10485155 }}</ref>
*[[Rheumatoid nodule]].<ref name=pmid22674917>{{Cite journal  | last1 = Abdou | first1 = AG. | last2 = Asaad | first2 = NY. | title = Rheumatoid nodule of the vocal cord. | journal = Int J Surg Pathol | volume = 20 | issue = 5 | pages = 481-2 | month = Oct | year = 2012 | doi = 10.1177/1066896912448426 | PMID = 22674917 }}</ref>
*[[Rheumatoid nodule]].<ref>{{Cite journal  | last1 = Abdou | first1 = AG. | last2 = Asaad | first2 = NY. | title = Rheumatoid nodule of the vocal cord. | journal = Int J Surg Pathol | volume = 20 | issue = 5 | pages = 481-2 | month = Oct | year = 2012 | doi = 10.1177/1066896912448426 | PMID = 22674917 }}</ref>


===Images===
===Images===
Line 34: Line 66:


==Sign out==
==Sign out==
<pre>
Left Vocal Cord Polyp, Excision:
- Stratified squamous epithelium with compact hyperkeratosis and stromal
  edema, consistent with benign vocal cord nodule or polyp.
- NEGATIVE for malignancy.
</pre>
===Block letters===
<pre>
<pre>
VOCAL CORD LESION, EXCISION:
VOCAL CORD LESION, EXCISION:

Latest revision as of 18:27, 11 December 2023

Vocal cord nodule
Diagnosis in short

Laryngeal nodule

Synonyms singer's nodule, vocal fold nodule

LM early: edema, fibroblasts proliferation; late: subepithelial hyaline / stromal hyaline, blood vessels - dilated
LM DDx amyloidosis, granular cell tumour, spindle cell squamous cell carcinoma, myxoma, ductal-type cyst
Stains congo red -ve
Site vocal cord - also see head and neck pathology

Signs +/-hoarseness
Prevalence common
Prognosis benign

Vocal cord nodule, also vocal cord polyp, vocal fold nodule and singer's nodule, is a benign pathology of the head and neck.

General

  • Benign.
  • Etiology: overuse, "phonatory trauma"[1] (yelling).

Clinical:

Microscopic

Features:[3]

  • Early:
    1. Edema.
    2. Fibroblasts proliferation.
  • Late:
    1. Subepithelial hyaline / stromal hyaline.
    2. Blood vessels - dilated.

Notes:

  • No inflammation.

DDx:[4]

Images

Sign out

Left Vocal Cord Polyp, Excision:
- Stratified squamous epithelium with compact hyperkeratosis and stromal 
  edema, consistent with benign vocal cord nodule or polyp.
- NEGATIVE for malignancy.

Block letters

VOCAL CORD LESION, EXCISION:
- STRATIFIED SQUAMOUS EPITHELIUM WITH PARAKERATOSIS AND STROMAL EDEMA, CONSISTENT
  WITH BENIGN VOCAL CORD NODULE OR POLYP.
- NEGATIVE FOR MALIGNANCY.
VOCAL CORD LESION, EXCISION:
- STRATIFIED SQUAMOUS EPITHELIUM WITH PARAKERATOSIS AND SUBEPITHELIAL 
  HYALINE MATERIAL, CONSISTENT WITH WITH VOCAL CORD NODULE OR POLYP.
- NEGATIVE FOR MALIGNANCY.

See also

References

  1. Karkos, PD.; McCormick, M. (Dec 2009). "The etiology of vocal fold nodules in adults.". Curr Opin Otolaryngol Head Neck Surg 17 (6): 420-3. doi:10.1097/MOO.0b013e328331a7f8. PMID 19730264.
  2. Müller, R. (Nov 1995). "[Hoarseness].". Ther Umsch 52 (11): 759-62. PMID 7502253.
  3. URL: http://www.pathconsultddx.com/pathCon/diagnosis?pii=S1559-8675%2806%2970310-2. Accessed on: 4 February 2011.
  4. Thompson, Lester D. R. (2006). Head and Neck Pathology: A Volume in Foundations in Diagnostic Pathology Series (1st ed.). Churchill Livingstone. pp. 9. ISBN 978-0443069604.
  5. Soylu, L.; Aydogan, B.; Tunali, N.; Ozsahinoglu, C. (Aug 1999). "Report of a rare case of vocal fold carcinoma that was obscured by a prominent vocal fold polyp.". Ear Nose Throat J 78 (8): 601-2. PMID 10485155.
  6. Abdou, AG.; Asaad, NY. (Oct 2012). "Rheumatoid nodule of the vocal cord.". Int J Surg Pathol 20 (5): 481-2. doi:10.1177/1066896912448426. PMID 22674917.