Vocal cord nodule
Jump to navigation
Jump to search
| Vocal cord nodule | |
|---|---|
| Diagnosis in short | |
|
Laryngeal nodule | |
|
| |
| Synonyms | singer's nodule, vocal fold nodule |
|
| |
| LM | early: edema, fibroblasts proliferation; late: subepithelial hyaline / stromal hyaline, blood vessels - dilated |
| LM DDx | amyloidosis, granular cell tumour, spindle cell squamous cell carcinoma, myxoma, ductal-type cyst |
| Stains | congo red -ve |
| Site | vocal cord - also see head and neck pathology |
|
| |
| Signs | +/-hoarseness |
| Prevalence | common |
| Prognosis | benign |
Vocal cord nodule, also vocal cord polyp, vocal fold nodule and singer's nodule, is a benign pathology of the head and neck.
General
- Benign.
- Etiology: overuse, "phonatory trauma"[1] (yelling).
Clinical:
- Hoarseness.[2]
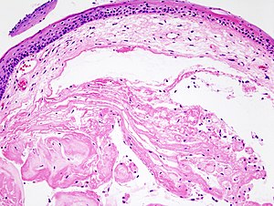
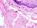
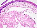
Microscopic
Features:[3]
- Early:
- Edema.
- Fibroblasts proliferation.
- Late:
- Subepithelial hyaline / stromal hyaline.
- Blood vessels - dilated.
Notes:
- No inflammation.
DDx:[4]
- Amyloidosis.
- Granular cell tumour.
- Spindle cell squamous cell carcinoma.[5]
- Myxoma.
- Ductal-type cyst.
- Rheumatoid nodule.[6]
Images
Sign out
Left Vocal Cord Polyp, Excision: - Stratified squamous epithelium with compact hyperkeratosis and stromal edema, consistent with benign vocal cord nodule or polyp. - NEGATIVE for malignancy.
Block letters
VOCAL CORD LESION, EXCISION: - STRATIFIED SQUAMOUS EPITHELIUM WITH PARAKERATOSIS AND STROMAL EDEMA, CONSISTENT WITH BENIGN VOCAL CORD NODULE OR POLYP. - NEGATIVE FOR MALIGNANCY.
VOCAL CORD LESION, EXCISION: - STRATIFIED SQUAMOUS EPITHELIUM WITH PARAKERATOSIS AND SUBEPITHELIAL HYALINE MATERIAL, CONSISTENT WITH WITH VOCAL CORD NODULE OR POLYP. - NEGATIVE FOR MALIGNANCY.
See also
References
- ↑ Karkos, PD.; McCormick, M. (Dec 2009). "The etiology of vocal fold nodules in adults.". Curr Opin Otolaryngol Head Neck Surg 17 (6): 420-3. doi:10.1097/MOO.0b013e328331a7f8. PMID 19730264.
- ↑ Müller, R. (Nov 1995). "[Hoarseness].". Ther Umsch 52 (11): 759-62. PMID 7502253.
- ↑ URL: http://www.pathconsultddx.com/pathCon/diagnosis?pii=S1559-8675%2806%2970310-2. Accessed on: 4 February 2011.
- ↑ Thompson, Lester D. R. (2006). Head and Neck Pathology: A Volume in Foundations in Diagnostic Pathology Series (1st ed.). Churchill Livingstone. pp. 9. ISBN 978-0443069604.
- ↑ Soylu, L.; Aydogan, B.; Tunali, N.; Ozsahinoglu, C. (Aug 1999). "Report of a rare case of vocal fold carcinoma that was obscured by a prominent vocal fold polyp.". Ear Nose Throat J 78 (8): 601-2. PMID 10485155.
- ↑ Abdou, AG.; Asaad, NY. (Oct 2012). "Rheumatoid nodule of the vocal cord.". Int J Surg Pathol 20 (5): 481-2. doi:10.1177/1066896912448426. PMID 22674917.