Placental villous immaturity
Jump to navigation
Jump to search
| Placental villous immaturity | |
|---|---|
| Diagnosis in short | |
|
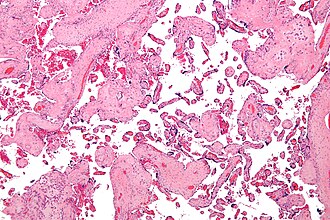
Placental villous immaturity. H&E stain. | |
|
| |
| LM | Increased numbers of intermediate villi (in relation to the gestational age) - increased vascularity and more central vessels, edema, +/-macrophages, less mature terminal villi |
| LM DDx | chorangiosis, prematurity |
| Associated Dx | diabetes |
| Syndromes | Beckwith-Wiedemann syndrome |
|
| |
Placental villous immaturity, abbreviated PVI, is a relatively common pathology of the placenta.
It is also known as distal villous immaturity, villous immaturity, and villous dysmaturity.[1]
General
Associated with:
- Diabetes mellitus.[2]
- Beckwith-Wiedemann syndrome.
- Intrauterine fetal demise near term.[3]
Microscopic
Features:[1]
- Increased numbers of (immature) intermediate villi (in relation to the gestational age) with:
- Increased number of capillaries.
- Edema.
- Macrophages.
- Large diffusion distance (vessel-to-villous surface distance large).
- Less (mature) terminal villi.[4]
DDx:
Images
Sign out
Large placenta and gestational age not provided
PLACENTA, UMBILICAL CORD AND FETAL MEMBRANES, BIRTH: - LARGE PLACENTA (650 GRAMS -- TRIMMED, POST-FIXATION WEIGHT) WITH IMMATURE VILLI AND VILLOUS EDEMA, SEE COMMENT. - THREE VESSEL UMBILICAL CORD WITHIN NORMAL LIMITS. - FETAL MEMBRANES WITHIN NORMAL LIMITS. COMMENT: The findings are suggestive of placental villous immaturity.
Gestational age not provided
PLACENTA, UMBILICAL CORD AND FETAL MEMBRANES, BIRTH: - PLACENTAL DISC WITH IMMATURE VILLI AND VILLOUS EDEMA, SEE COMMENT. - THREE VESSEL UMBILICAL CORD WITHIN NORMAL LIMITS. - FETAL MEMBRANES WITHIN NORMAL LIMITS. COMMENT: The findings are suggestive of placental villous immaturity.
Gestational age provided by not obvious
PLACENTA, UMBILICAL CORD AND FETAL MEMBRANES, BIRTH: - PLACENTAL DISC WITH MILDLY LARGE VILLI FOR GESTATIONAL AGE AND FOCAL VILLOUS EDEMA. - THREE VESSEL UMBILICAL CORD WITHIN NORMAL LIMITS. - FETAL MEMBRANES WITHIN NORMAL LIMITS.
See also
References
- ↑ 1.0 1.1 Baergen, Rebecca N. (2011). Manual of Pathology of the Human Placenta (2nd ed.). Springer. pp. 375. ISBN 978-1441974938.
- ↑ Arizawa, M.; Nakayama, M.; Kidoguchi, K. (Jun 1991). "[Correlation of placental villous immaturity and dysmaturity with clinical control of maternal diabetes].". Nihon Sanka Fujinka Gakkai Zasshi 43 (6): 595-602. PMID 1856519.
- ↑ Stallmach, T.; Hebisch, G. (Jul 2004). "Placental pathology: its impact on explaining prenatal and perinatal death.". Virchows Arch 445 (1): 9-16. doi:10.1007/s00428-004-1032-2. PMID 15138817.
- ↑ Daskalakis, G.; Marinopoulos, S.; Krielesi, V.; Papapanagiotou, A.; Papantoniou, N.; Mesogitis, S.; Antsaklis, A. (2008). "Placental pathology in women with gestational diabetes.". Acta Obstet Gynecol Scand 87 (4): 403-7. doi:10.1080/00016340801908783. PMID 18382864.