Chorangiosis

From Libre Pathology
Jump to navigation Jump to search
Chorangiosis
Diagnosis in short

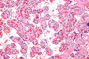
Chorangiosis. H&E stain.

LM increased blood vessels in the terminal villi, diffuse
LM DDx placental villous immaturity
Gross not apparent on gross
Site placenta

Associated Dx diabetes mellitus, gestational diabetes, smoking, IUGR

Chorangiosis is a relatively common placental pathology. It should not be confused with chorangioma.

General

  • Relative common among babies in ICU ~5%.[1]
  • Increased fetal morbidity and mortality.[2]

Associations:

Gross

  • Usually not seen on gross pathology.

Microscopic

Features:

  • Increased blood vessels in the terminal villi.
    • Altshuler criteria: "a minimum of 10 villi, each with 10 or more vascular channels, in 3 or more random, non-infarcted placental areas when using a ×10 ocular."[6][7][8]
      • The definition suffers from IPFitis.
  • Lesion not well circumscribed.
  • Villi tend to be larger and have centrally placed blood vessels.[9]

Notes:

  • Normal villi have up to five vascular channels.[7]

DDx:

Images

Sign out

PLACENTA, UMBILICAL CORD AND FETAL MEMBRANES, CESAERIAN SECTION:
- PLACENTAL DISC WITH CHORANGIOSIS.
- THREE VESSEL UMBILICAL CORD WITHIN NORMAL LIMITS.
- FETAL MEMBRANES WITHIN NORMAL LIMITS.

COMMENT:
Chorangiosis is a nonspecific finding that may be associated with diabetes, smoking or
high altitude.
PLACENTA, UMBILICAL CORD AND FETAL MEMBRANES, CESAERIAN SECTION:
- PLACENTAL DISC WITH:
-- CHORANGIOSIS.
-- FOCAL PERIVILLOUS FIBRIN DEPOSITION.
- THREE VESSEL UMBILICAL CORD WITHIN NORMAL LIMITS.
- FETAL MEMBRANES WITHIN NORMAL LIMITS.

COMMENT:
Chorangiosis is a nonspecific finding that may be associated with diabetes, smoking or high altitude.

Chorangiosis and meconium

PLACENTA, UMBILICAL CORD AND FETAL MEMBRANES, CESAERIAN SECTION:
- THREE VESSEL UMBILICAL CORD WITHIN NORMAL LIMITS.
- FETAL MEMBRANES WITHIN MECONIUM STAINING OF THE AMNION, NEGATIVE FOR CHORIOAMNIONITIS.
- PLACENTAL DISC WITH:
-- CHORANGIOSIS.
-- FOCAL PERIVILLOUS FIBRIN DEPOSITION.

COMMENT:
Chorangiosis is a nonspecific finding that may be associated with diabetes, smoking or high altitude.

See also

References

  1. URL: http://www.bhj.org/journal/2009_5102_april/download/pg251-252.pdf. Accessed on: 26 July 2011.
  2. Barut, A.; Barut, F.; Kandemir, NO.; Aktunc, E.; Arikan, I.; Harma, M.; Harma, MI.; Gun, BD. (2012). "Placental chorangiosis: the association with oxidative stress and angiogenesis.". Gynecol Obstet Invest 73 (2): 141-51. doi:10.1159/000332370. PMID 22222282.
  3. Soma, H.; Watanabe, Y.; Hata, T. (1995). "Chorangiosis and chorangioma in three cohorts of placentas from Nepal, Tibet, and Japan.". Reprod Fertil Dev 7 (6): 1533-8. PMID 8743160.
  4. Daskalakis, G.; Marinopoulos, S.; Krielesi, V.; Papapanagiotou, A.; Papantoniou, N.; Mesogitis, S.; Antsaklis, A. (2008). "Placental pathology in women with gestational diabetes.". Acta Obstet Gynecol Scand 87 (4): 403-7. doi:10.1080/00016340801908783. PMID 18382864.
  5. Evers, IM.; Nikkels, PG.; Sikkema, JM.; Visser, GH.. "Placental pathology in women with type 1 diabetes and in a control group with normal and large-for-gestational-age infants.". Placenta 24 (8-9): 819-25. PMID 13129678.
  6. Altshuler, G. (Jan 1984). "Chorangiosis. An important placental sign of neonatal morbidity and mortality.". Arch Pathol Lab Med 108 (1): 71-4. PMID 6546343.
  7. 7.0 7.1 De La Ossa, MM.; Cabello-Inchausti, B.; Robinson, MJ. (Sep 2001). "Placental chorangiosis.". Arch Pathol Lab Med 125 (9): 1258. doi:10.1043/0003-9985(2001)1251258:PC2.0.CO;2. PMID 11520290. http://www.archivesofpathology.org/doi/full/10.1043/0003-9985%282001%29125%3C1258:PC%3E2.0.CO;2.
  8. URL: http://path.upmc.edu/cases/case655/dx.html. Accessed on: 28 January 2012.
  9. E. Latta. 26 July 2011.