Small cell carcinoma

From Libre Pathology
Revision as of 04:51, 25 January 2015 by Michael (talk | contribs) (→‎Images)
Jump to navigation Jump to search
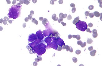
Micrograph showing a small cell carcinoma.

Small cell carcinoma is a type of carcinoma. It is mostly commonly from the lung; 95% of cases are from the lung.[1]

It may be abbreviated SCC, leading to confusion with squamous cell carcinoma.

Overview

Grouping

May be grouped as:[1]

Sites other than lung

General

Classic tumour with paraneoplastic syndromes - may be associated with:[5]

  • Syndrome of inappropriate antidiuretic hormone secretion (SIADH).
    • Clinical: hyponatremia.
  • Paraneoplastic cerebellar degeneration.
  • Lambert-Eaton myasthenic syndrome.

Microscopic

Features:

  • Small cells -- typically 15-20 micrometers ~ 2x the size of RBC.
  • Scant cytoplasm.
  • Stippled chromatin +/- smudging of the chromatin.
  • +/-Nuclear moulding.

DDx:

Images

www:

See also

References

  1. 1.0 1.1 Grossman, RA.; Pedroso, FE.; Byrne, MM.; Koniaris, LG.; Misra, S. (May 2011). "Does surgery or radiation therapy impact survival for patients with extrapulmonary small cell cancers?". J Surg Oncol. doi:10.1002/jso.21976. PMID 21618245.
  2. Furtado, P.; Lima, MV.; Nogueira, C.; Franco, M.; Tavora, F. (2011). "Review of small cell carcinomas of the prostate.". Prostate Cancer 2011: 543272. doi:10.1155/2011/543272. PMID 22110988.
  3. Cesaretti, M.; Guarnieri, A.; Gaggelli, I.; Tirone, A.; Francioli, N.; Carli, AF.. "Small cell carcinoma of the breast. Report of a case.". Ann Ital Chir 82 (1): 61-4. PMID 21657157.
  4. Beach, DF.; Klump, WJ.; Haddad, G.; Reid, LM.; Schwarting, R.; Hageboutros, A. (Jun 2011). "Extrapulmonary small cell: a novel case of small cell carcinoma of the thyroid gland.". Med Oncol. doi:10.1007/s12032-011-9996-7. PMID 21644012.
  5. Sher, T.; Dy, GK.; Adjei, AA. (Mar 2008). "Small cell lung cancer.". Mayo Clin Proc 83 (3): 355-67. PMID 18316005.
  6. Bahrami, A.; Gown, AM.; Baird, GS.; Hicks, MJ.; Folpe, AL. (Jul 2008). "Aberrant expression of epithelial and neuroendocrine markers in alveolar rhabdomyosarcoma: a potentially serious diagnostic pitfall.". Mod Pathol 21 (7): 795-806. doi:10.1038/modpathol.2008.86. PMID 18487991.