Myopericytoma

From Libre Pathology
Revision as of 05:27, 26 October 2015 by Michael (talk | contribs) (fix sp)
(diff) ← Older revision | Latest revision (diff) | Newer revision → (diff)
Jump to navigation Jump to search
Myopericytoma
Diagnosis in short

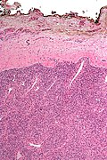
Myopericytoma. H&E stain.

LM fascicular pattern (may be subtle) with compressed blood vessels (often thin walled & branching), increased peri-vascular cellularity; high cellularity; small bland unequally spaced epithelioid/spindle cells with moderate eosinophilic cytoplasm
LM DDx solitary fibrous tumour, vascular tumours
IHC SMA +ve, H-caldesmon +ve, CD34 +ve (focal), EMA -ve, AE1/AE3 -ve
Site soft tissue

Prevalence uncommon
Prognosis benign

Myopericytoma, also glomangiopericytoma, is a rare perivascular soft tissue tumour.

General

  • Usually benign.
  • Typically in the distal extremities.[1]
  • Used to be classified as hemangiopericytoma (AKA solitary fibrous tumour).

Microscopic

Features:[2][3]

  • Fascicular pattern - may be subtle - with:
    • Compressed blood vessels, often thin walled & branching.
    • Increased peri-vascular cellularity.
  • Cellular lesion:
    • Small bland unequally spaced epithelioid/spindle cells.
    • Moderate eosinophilic cytoplasm.

Notes:

DDx:

Images

IHC

Features:[3][6]

  • SMA +ve.
  • H-caldesmon +ve.
  • CD34 +ve (focal).

Others:[6]

  • AE1/AE3 -ve.
  • EMA -ve.

See also

References

  1. Zidane A, Arsalane A, Harkat A, et al. (November 2010). "[Myopericytoma: an uncommon chest wall tumor]" (in French). Rev Mal Respir 27 (9): 1089–91. doi:10.1016/j.rmr.2010.09.017. PMID 21111282.
  2. Edgecombe A, Peterson RA, Shamji FM, Commons S, Sekhon H, Gomes MM (April 2011). "Myopericytoma: a pleural-based spindle cell neoplasm off the beaten path". Int. J. Surg. Pathol. 19 (2): 247–51. doi:10.1177/1066896910381897. PMID 21474507.
  3. 3.0 3.1 Humphrey, Peter A; Dehner, Louis P; Pfeifer, John D (2008). The Washington Manual of Surgical Pathology (1st ed.). Lippincott Williams & Wilkins. pp. 615. ISBN 978-0781765275.
  4. Dray MS, McCarthy SW, Palmer AA, et al. (January 2006). "Myopericytoma: a unifying term for a spectrum of tumours that show overlapping features with myofibroma. A review of 14 cases". J. Clin. Pathol. 59 (1): 67–73. doi:10.1136/jcp.2005.028704. PMC 1860256. PMID 16394283. https://www.ncbi.nlm.nih.gov/pmc/articles/PMC1860256/.
  5. Mentzel T, Dei Tos AP, Sapi Z, Kutzner H (January 2006). "Myopericytoma of skin and soft tissues: clinicopathologic and immunohistochemical study of 54 cases". Am. J. Surg. Pathol. 30 (1): 104–13. PMID 16330949.
  6. 6.0 6.1 URL: http://e-immunohistochemistry.info/web/Myopericytoma.htm. Accessed on: 6 May 2011.