Myopericytoma
Jump to navigation
Jump to search
| Myopericytoma | |
|---|---|
| Diagnosis in short | |
|
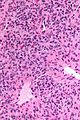
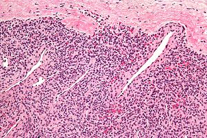
Myopericytoma. H&E stain. | |
|
| |
| LM | fascicular pattern (may be subtle) with compressed blood vessels (often thin walled & branching), increased peri-vascular cellularity; high cellularity; small bland unequally spaced epithelioid/spindle cells with moderate eosinophilic cytoplasm |
| LM DDx | solitary fibrous tumour, vascular tumours |
| IHC | SMA +ve, H-caldesmon +ve, CD34 +ve (focal), EMA -ve, AE1/AE3 -ve |
| Site | soft tissue |
|
| |
| Prevalence | uncommon |
| Prognosis | benign |
Myopericytoma, also glomangiopericytoma, is a rare perivascular soft tissue tumour.
General
- Usually benign.
- Typically in the distal extremities.[1]
- Used to be classified as hemangiopericytoma (AKA solitary fibrous tumour).
Microscopic
- Fascicular pattern - may be subtle - with:
- Compressed blood vessels, often thin walled & branching.
- Increased peri-vascular cellularity.
- Cellular lesion:
- Small bland unequally spaced epithelioid/spindle cells.
- Moderate eosinophilic cytoplasm.
Notes:
- Features overlap with myofibroma.[4]
DDx:
Images
IHC
- SMA +ve.
- H-caldesmon +ve.
- CD34 +ve (focal).
Others:[6]
- AE1/AE3 -ve.
- EMA -ve.
See also
- Glomus tumour - the other perivascular tumour.
- Soft tissue lesions.
References
- ↑ Zidane A, Arsalane A, Harkat A, et al. (November 2010). "[Myopericytoma: an uncommon chest wall tumor]" (in French). Rev Mal Respir 27 (9): 1089–91. doi:10.1016/j.rmr.2010.09.017. PMID 21111282.
- ↑ Edgecombe A, Peterson RA, Shamji FM, Commons S, Sekhon H, Gomes MM (April 2011). "Myopericytoma: a pleural-based spindle cell neoplasm off the beaten path". Int. J. Surg. Pathol. 19 (2): 247–51. doi:10.1177/1066896910381897. PMID 21474507.
- ↑ 3.0 3.1 Humphrey, Peter A; Dehner, Louis P; Pfeifer, John D (2008). The Washington Manual of Surgical Pathology (1st ed.). Lippincott Williams & Wilkins. pp. 615. ISBN 978-0781765275.
- ↑ Dray MS, McCarthy SW, Palmer AA, et al. (January 2006). "Myopericytoma: a unifying term for a spectrum of tumours that show overlapping features with myofibroma. A review of 14 cases". J. Clin. Pathol. 59 (1): 67–73. doi:10.1136/jcp.2005.028704. PMC 1860256. PMID 16394283. https://www.ncbi.nlm.nih.gov/pmc/articles/PMC1860256/.
- ↑ Mentzel T, Dei Tos AP, Sapi Z, Kutzner H (January 2006). "Myopericytoma of skin and soft tissues: clinicopathologic and immunohistochemical study of 54 cases". Am. J. Surg. Pathol. 30 (1): 104–13. PMID 16330949.
- ↑ 6.0 6.1 URL: http://e-immunohistochemistry.info/web/Myopericytoma.htm. Accessed on: 6 May 2011.