Metaplastic breast carcinoma

From Libre Pathology
Revision as of 11:37, 8 September 2016 by Michael (talk | contribs)
(diff) ← Older revision | Latest revision (diff) | Newer revision → (diff)
Jump to navigation Jump to search
Metaplastic breast carcinoma
Diagnosis in short

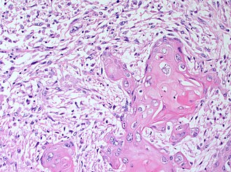
Metaplastic breast carcinoma. H&E stain.

LM either (1) or (2): (1) malignant mesenchymal elements - either: (a) spindle cells or (b) osseous, chondroid or rhabdoid differentiation, (2) malignant squamous component - non-skin
LM DDx fibromatosis, malignant phyllodes tumour, primary mammary sarcoma, mammary myofibroblastoma,nodular fasciitis. squamous cell carcinoma of the skin, malignant melanoma (desmoplastic)
IHC S-100 -ve, AE1/AE3 +ve (epithelial elements only), CK7 +ve (epithelial elements only), p63 +ve (epithelial elements only), vimentin +ve, desmin -ve
Grossing notes breast grossing
Staging breast cancer staging
Site breast - see invasive breast cancer

Prevalence uncommon
Prognosis poor
Clin. DDx other breast tumours

Metaplastic breast carcinoma, also (less specifically) metaplastic carcinoma, is rare form of invasive breast cancer.

General

Microscopic

Features - one of the following:[1][2]

  1. Malignant mesenchymal elements - either:
    1. Spindle cells.
    2. Osseous, chondroid or rhabdoid differentiation.
  2. Squamous component.

Notes:

  • Calcifications are uncommon.
  • Cytology may be very bland, i.e. it may look very benign.
  • May have minimal mitotic activity.

DDx:

Images

Subclassification

  • There are various way to subclassify this subtype of breast cancer. This a consequence of physician automomy.
    • There is a series of articles on the topic by Wargotz & Norris that is quite old... yet it is mentioned in Sterberg:[3]
    1. Matrix-producing carcinoma:[4]
      • Features: cartilaginous and/or osseous stromal matrix; no osteoclastic giant cells.
    2. Spindle cell carcinoma:[5]
      • Features: (non-malignant) spindle cells.
      • Prognosis: better prognosis than other metaplastic carcinomas.
    3. Carcinosarcoma:[6]
      • Features: malignant mesenchymal element.
      • Prognosis: survival worse when compared to other metaplastic carcinomas.
    4. Squamous cell carcinoma of ductal origin:[7]
      • Features: purely squamous; metastases are squamous cell carcinoma.
    5. Metaplastic carcinoma with osteoclastic giant cells:[8]
    • The WHO subclassifies as follows:[9]
    1. Epithelial - includes: squamous cell carcinoma, adenocarcinoma with spindle cell differentiation, adenosquamous carcinoma.
    2. Mixed epithelial and mesenchymal - includes: carcinosarcoma, carcinoma with metaplasia (chondroid, osseous).

IHC

  • S100 -ve (r/o melanoma).
  • AE1/AE3 +ve (epithelial elements only).
  • CK7 +ve (epithelial elements only).
  • p63 +ve (epithelial elements only).
  • Vimentin +ve.
  • Desmin -ve.
  • EMA -ve. (???)
  • Almost invariably TRIPLE NEGATIVE for ER, PR and HER2

See also

References

  1. 1.0 1.1 URL: http://www.breastpathology.info/Case_of_the_month/2007/COTM_0807%20discussion.html. Accessed on: 28 November 2010.
  2. Barnes, PJ.; Boutilier, R.; Chiasson, D.; Rayson, D. (May 2005). "Metaplastic breast carcinoma: clinical-pathologic characteristics and HER2/neu expression.". Breast Cancer Res Treat 91 (2): 173-8. doi:10.1007/s10549-004-7260-y. PMID 15868445.
  3. Mills, Stacey E; Carter, Darryl; Greenson, Joel K; Reuter, Victor E; Stoler, Mark H (2009). Sternberg's Diagnostic Surgical Pathology (5th ed.). Lippincott Williams & Wilkins. pp. 328. ISBN 978-0781779425.
  4. Wargotz, ES.; Norris, HJ. (Jul 1989). "Metaplastic carcinomas of the breast. I. Matrix-producing carcinoma.". Hum Pathol 20 (7): 628-35. PMID 2544506.
  5. Wargotz, ES.; Deos, PH.; Norris, HJ. (Aug 1989). "Metaplastic carcinomas of the breast. II. Spindle cell carcinoma.". Hum Pathol 20 (8): 732-40. PMID 2473024.
  6. Wargotz, ES.; Norris, HJ. (Oct 1989). "Metaplastic carcinomas of the breast. III. Carcinosarcoma.". Cancer 64 (7): 1490-9. PMID 2776108.
  7. Wargotz, ES.; Norris, HJ. (Jan 1990). "Metaplastic carcinomas of the breast. IV. Squamous cell carcinoma of ductal origin.". Cancer 65 (2): 272-6. PMID 2153044.
  8. Wargotz, ES.; Norris, HJ. (Nov 1990). "Metaplastic carcinomas of the breast: V. Metaplastic carcinoma with osteoclastic giant cells.". Hum Pathol 21 (11): 1142-50. PMID 2227922.
  9. O'Malley, Frances P.; Pinder, Sarah E. (2006). Breast Pathology: A Volume in Foundations in Diagnostic Pathology series (1st ed.). Churchill Livingstone. pp. 214. ISBN 978-0443066801.