Fibromatoses
(Redirected from Fibromatosis)
Jump to navigation
Jump to search
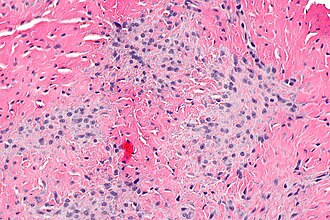
File:Palmar fibromatosis - alt -- high mag.jpg
Micrograph showing a palmar fibromatosis. H&E stain.
Fibromatoses are a group of benign stromal lesions that may or may not be associated with syndromes.
Plantar fibromatosis redirects here.
Syndromes associated with fibromatoses
- Familial adenomatous polyposis.[1]
- Hereditary desmoid syndrome.
Types
Superficial
- Palmar (Dupuytren's contracture).
- Plantar (Ledderhose disease[2][3]).
- Penile (Peyronie's disease).
Deep
- Desmoid-type fibromatosis.
- Others.
Gross
- Firm.
- Infiltrative borders.
Image:
Microscopic
Features:
- Bland spindle cells - typically in fascicles.
- Small thin blood vessels that are parallel to one another.
- Nuclei of blood vessels are typically darker staining than those of the lesion.
DDx:
- Metaplastic carcinoma, e.g. metaplastic breast carcinoma.
- Nodular fasciitis.
- Dermatofibroma.
- GIST.
- Desmoplastic fibroblastoma - esp. shoulder region.
Images:
- Plantar fibromatosis (sarcomaimages.com).
- Mesenteric fibromatosis (flickr.com).
- Plantar fibromatosis (rsna.org).[5]
- Plantar fibromatosis (rsna.org).[5]
IHC
- Beta-catenin +ve -- nuclear stain.
- CD117 -ve.
- CD34 -ve.[6]
Image:
Sign out
Deep
SOFT TISSUE LESION, LEFT SHOULDER, CORE BIOPSY: - FIBROMATOSIS, SEE COMMENT. COMMENT: The lesion was evaluated with immunostains: Positive: vimentin, SMA (rare), beta-catenin. Negative: pankeratin, S-100, desmin, CD34 (stains vessels).
Plantar
Left Foot, Plantar Fascia, Fasciectomy: - Plantar fibromatosis.
Micro
The sections show a lesion with bland spindle cells. There is no apparent nuclear atypia. Mitotic figures are not identified. No myxoid areas are apparent. No necrosis is identified.
See also
References
- ↑ Kumar, Vinay; Abbas, Abul K.; Fausto, Nelson; Aster, Jon (2009). Robbins and Cotran pathologic basis of disease (8th ed.). Elsevier Saunders. pp. 1092. ISBN 978-1416031215.
- ↑ Mozena JD, Hansen EK, Jones PC (March 2022). "Radiotherapy for Plantar Fibromas (Ledderhose Disease)". J Am Podiatr Med Assoc 112 (1). doi:10.7547/19-008. PMID 35324461.
- ↑ Schoenfeld JD, Agaram NP, Lefkowitz RA, Kelly CM, Healey JH, Gounder MM (March 2022). "Sorafenib in Dupuytren and Ledderhose Disease". Oncologist 27 (3): e294–e296. doi:10.1093/oncolo/oyab050. PMC 8914480. PMID 35274715. https://www.ncbi.nlm.nih.gov/pmc/articles/PMC8914480/.
- ↑ URL: http://www.histopathology-india.net/Fibromatosis.htm. Accessed on: 18 September 2012.
- ↑ 5.0 5.1 5.2 Murphey, MD.; Ruble, CM.; Tyszko, SM.; Zbojniewicz, AM.; Potter, BK.; Miettinen, M. (Nov 2009). "From the archives of the AFIP: musculoskeletal fibromatoses: radiologic-pathologic correlation.". Radiographics 29 (7): 2143-73. doi:10.1148/rg.297095138. PMID 19926768.
- ↑ Li Destri, G.; Ferraro, MJ.; Calabrini, M.; Pennisi, M.; Magro, G. (2014). "Desmoid-type fibromatosis of the mesentery: report of a sporadic case with emphasis on differential diagnostic problems.". Case Rep Med 2014: 850180. doi:10.1155/2014/850180. PMID 25349618.