Dermatofibroma
Jump to navigation
Jump to search
| Dermatofibroma | |
|---|---|
| Diagnosis in short | |
|
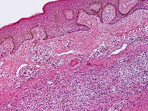
Dermatofibroma. H&E stain. | |
|
| |
| LM | prominent fibrous bundles - especially at the edge of the lesion ("collagen-trapping"), loss of adnexal structures, +/-"dirty fingers" (acanthosis, basal keratinocyte hyperpigmentation) |
| Subtypes | cellular, deep penetrating, lipidized, epithelioid cell histiocytoma, fibrotic, aneurysmal, granular cell dermatofibroma, dermatofibroma with monster cells |
| LM DDx | DFSP, neurofibroma, blue nevus, melanoma, esp. desmoplastic neurotropic-type, fibromatosis |
| Site | skin |
|
| |
| Clinical history | previous trauma |
| Prevalence | common |
| Prognosis | benign |
Dermatofibroma, abbreviated DF, is a common benign skin lesion. It is also known as benign fibrous histiocytoma and fibrous histiocytoma.
General
- Classically considered a reactive process - not a neoplasm.
- Usually associated with previous trauma.
- In women... usually legs.
- Multiple dermatofibromas are described in association Down syndrome.[1][2]
Microscopic
Features:[3]
- Prominent fibrous bundles, especially at the edge of the lesion.
- Surrounded by spindle cells (fibroblasts).
- Usually thought of as fibroblasts surrounded by fibrous material ("collagen-trapping").
- Surrounded by spindle cells (fibroblasts).
- Lack of adnexal structures, i.e. no sweat glands, no hair.
- +/-Epidermal changes - known as "dirty fingers":[4]
- Acanthosis (thickened epithelial layer - specifically thickened stratum spinosum).
- Basal keratinocyte hyperpigmentation.
DDx:
- Dermatofibrosarcoma protuberans (DFSP) - usu. deeper, classically has adnexal structures and fat within lesion.
- Neurofibroma.
- Blue nevus.
- Melanoma, esp. desmoplastic neurotropic-type.
- Fibromatosis.
- Dermal scar.
Images:
- DF (flickr.com/euthman).
- Dermatofibroma (ucsf.edu).
- DF - several images (pacificderm.org).
- DF stained with factor XIIIa (biocare.net).
- DF stained with factor XIIIa (dermpathexpert.com).[5]
Subtypes
Like all common things... there are subtypes:[6]
- Cellular.
- Deep penetrating.
- Lipidized - with foamy macrophages, hemorrhage and Touton-like giant cells.
- Epithelioid cell histiocytoma.
- Fibrotic.
- Aneurysmal - large blood filled + features of lipidized.
- Granular cell dermatofibroma.
- Dermatofibroma with monster cells.
Cellular dermatofibroma
Features:
- High cell density in the dermis - "blue" at low power.
- Collagen bundles - key feature.
Images:
Epithelioid cell histiocytoma
Features:
- Epithelioid cells.
- No lesional cells in epidermis.
DDx:
IHC
- Factor XIIIa +ve.
- Usually negative in DFSP.
- CD34 -ve.
- Usually positive in DFSP.
Others:
- D2-40 +ve.[10]
- Usually negative in DFSP.
- There is not much literature on D2-40 in this context. Molecular work on the protein (podoplanin) the antibody is directed at has shown it is present in DFSP.[11]
Image:
Sign out
SKIN LESION, LEFT SHOULDER, EXCISION: - DERMATOFIBROMA.
SKIN LESION, LEFT UPPER ARM, EXCISION: - DERMATOFIBROMA. COMMENT: The histologic impression is supported by immunostains; a CD34 immunostain is negative and a factor XIIIa immunostain is weakly positive.
Micro
The sections show skin with bland spindle cells interspersed between fibrous bundles. The fibrous bundles are prominent at the periphery of the lesion (collagen-trapping). Focal acanthosis is present.
The lesion does not extend to the adipose tissue. No atypia is apparent. No mitotic activity is identified.
The lesion extends to the edge of the tissue.
See also
References
- ↑ Zimmerman TJ, George SJ (August 2022). "Multiple Eruptive Dermatofibromas Associated With Down Syndrome". Cutis 110 (2): E21–E23. doi:10.12788/cutis.0600. PMID 36219648.
- ↑ Lamb RC, Gangopadhyay M, MacDonald A (April 2014). "Multiple dermatofibromas in Down syndrome". Int J Dermatol 53 (4): e274–5. doi:10.1111/ijd.12037. PMID 23879455.
- ↑ Humphrey, Peter A; Dehner, Louis P; Pfeifer, John D (2008). The Washington Manual of Surgical Pathology (1st ed.). Lippincott Williams & Wilkins. pp. 492. ISBN 978-0781765275.
- ↑ BD. 13 April 2011.
- ↑ URL: http://dermpathexpert.com/id8.html. Accessed on: 19 July 2013.
- ↑ Mills, Stacey E; Carter, Darryl; Greenson, Joel K; Reuter, Victor E; Stoler, Mark H (2009). Sternberg's Diagnostic Surgical Pathology (5th ed.). Lippincott Williams & Wilkins. pp. 51. ISBN 978-0781779425.
- ↑ URL: http://www.dermpedia.org/case/cellular-dermatofibroma-mimicking-dermatofibrosarcoma-protuberans#. Accessed on: 4 February 2012.
- ↑ Abenoza P, Lillemoe T (October 1993). "CD34 and factor XIIIa in the differential diagnosis of dermatofibroma and dermatofibrosarcoma protuberans". Am J Dermatopathol 15 (5): 429–34. PMID 7694515.
- ↑ Goldblum JR, Tuthill RJ (April 1997). "CD34 and factor-XIIIa immunoreactivity in dermatofibrosarcoma protuberans and dermatofibroma". Am J Dermatopathol 19 (2): 147–53. PMID 9129699.
- ↑ Bandarchi B, Ma L, Marginean C, Hafezi S, Zubovits J, Rasty G (March 2010). "D2-40, a novel immunohistochemical marker in differentiating dermatofibroma from dermatofibrosarcoma protuberans". Mod. Pathol. 23 (3): 434–8. doi:10.1038/modpathol.2009.176. PMID 20062007.
- ↑ Xu, Y.; Ogose, A.; Kawashima, H.; Hotta, T.; Ariizumi, T.; Li, G.; Umezu, H.; Endo, N. (Mar 2011). "High-level expression of podoplanin in benign and malignant soft tissue tumors: immunohistochemical and quantitative real-time RT-PCR analysis.". Oncol Rep 25 (3): 599-607. doi:10.3892/or.2011.1141. PMID 21234520.