Palmar fibromatosis
| Palmar fibromatosis | |
|---|---|
| Diagnosis in short | |
|
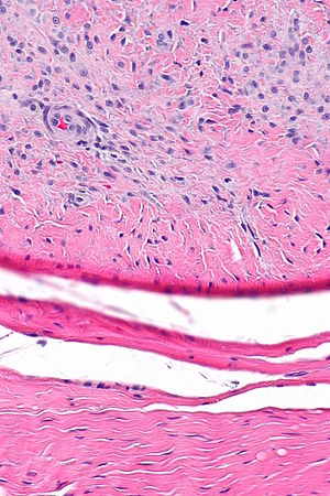
Palmar fibromatosis. H&E stain. | |
|
| |
| LM | poorly demarcated, usu. multiple lesions/multiple nodules, composed of bland spindle cells in dense collagen; spindle cells have pale grey cytoplasm and a pale ovoid nucleus with small round nucleolus, +/-giant cells (rare) |
| LM DDx | calcifying aponeurotic fibroma, extra-abdominal desmoid fibromatosis, inclusion body fibromatosis, fibrosarcoma, synovial sarcoma, epithelioid sarcoma, metastatic metaplastic carcinoma |
| IHC | beta-catenin +ve |
| Site | hand - palmar fascia, classically ring finger |
|
| |
| Clinical history | male > female, +/-family history |
| Prognosis | benign |
Palmar fibromatosis, also Dupuytren's contracture and Dupuytren disease, is a common pathology of the hand.
The bigger topic of fibromatoses is covered in the article fibromatosis.
Palmar fascia directs to this article.
General
Clinical:[1]
- Usually older - 60s or 70s (years old).
- Male > female.
- Associated with:
- May be familial.
Gross
- Ring finger - classic location.[citation needed]
- Nodular.
- Poorly demarcated.
Image
Microscopic
- Poorly demarcated, usu. multiple lesions/multiple nodules.
- Composed of bland spindle cells in dense collagen.
- Pale grey cytoplasm (moderate quantity).
- Pale ovoid nuclei with small round nucleoli.
- Giant cells - rare.
Note:
- No nuclear atypia.
- Mitotic figures - rarely present, none atypical.
- May see Pacinian corpuscle (AKA lamellar corpuscle) as an incidental finding.
DDx:[3]
- Calcifying aponeurotic fibroma - calcification, chondroid differentiation, usu. < 20 years old.
- Extra-abdominal desmoid fibromatosis - extremely rare on hands and feet, muscle infiltrative.
- Inclusion body fibromatosis.
- Fibrosarcoma - atypia, necrosis, herring bone pattern.
- Synovial sarcoma - one mass.
- Epithelioid sarcoma - necrosis, atypia.
- Metastatic metaplastic carcinoma, e.g. metaplastic breast carcinoma - extremely uncommon.
Images
www
IHC
- Beta-catenin +ve (cytoplasmic & nuclear).[5]
Sign out
Left
Palmar Fascia, Left Ring Finger, Fasciectomy: - Palmar fibromatosis.
Palmar Fascia, Left Long Finger, Fasciectomy: - Palmar fibromatosis (Dupuytren's contracture).
Block letters
PALMAR FASCIA, LEFT, FASCIECTOMY: - PALMAR FIBROMATOSIS.
Right
PALMAR FASCIA, RIGHT, FASCIECTOMY: - PALMAR FIBROMATOSIS.
Micro
The sections show multiple poorly-demarcated nodules composed of bland spindle cells with moderate pale grey cytoplasm and pale ellipsoid nuclei with small round nucleoli. The poorly-demarcated nodules are completely surrounded by dense collagen. Calcification is not present. There is no nuclear atypia or necrosis. Mitotic activity is not identified. Benign fibroadipose tissue is present.
Missed fibromatosis
Palmar Fascia, Left Hand, Fasciectomy:
- Palmar fascia within normal limits and benign fibroadipose tissue - in an
individual with a preoperative diagnosis of palmar fibromatosis.
- NEGATIVE for malignancy.
Comment:
A beta-catenin is NEGATIVE. Deepers were cut (x6); they are noncontributory.
Alternate
Palmar Fascia, Left, Fasciectomy: - Palmar fascia within normal limits and benign fibroadipose tissue - in an individual with a clinical history of palmar fibromatosis. - NEGATIVE for malignancy.
History not provided
Palmar Fascia, Left, Fasciectomy: - Palmar fascia within normal limits and benign fibroadipose tissue, in an individual clinically described as having palmar fibromatosis. - NEGATIVE for malignancy.
Block letters
PALMAR FASCIA, LEFT, FASCIECTOMY: - PALMAR FASCIA WITHIN NORMAL LIMITS AND BENIGN FIBROADIPOSE TISSUE -- IN AN INDIVIDUAL WITH A CLINICAL HISTORY OF PALMAR FIBROMATOSIS. - NEGATIVE FOR MALIGNANCY.
Micro
The sections show dense collagen (tendon) without an apparent pathology. Calcification is not present. There is no nuclear atypia or necrosis. Mitotic activity is not identified. Benign fibroadipose tissue is present. Lamellar corpuscles are present. The tissue was submitted in toto and levels were cut.
Straight
PALMAR FASCIA, RIGHT, FASCIECTOMY: - PALMAR FASCIA WITHIN NORMAL LIMITS. - NEGATIVE FOR FIBROMATOSIS. COMMENT: The tissue was submitted in toto and levels were cut.
Micro
The sections show dense collagen (tendon) without an apparent pathology. Calcification is not present. There is no nuclear atypia or necrosis. Mitotic activity is not identified. Benign fibroadipose tissue is present. Lamellar corpuscles are present.
See also
References
- ↑ URL: http://www.humpath.com/palmar-fibromatosis. Accessed on: 6 January 2011.
- ↑ URL: http://surgpathcriteria.stanford.edu/softfib/plantar_fibromatosis/printable.html. Accessed on: 6 January 2011.
- ↑ 3.0 3.1 URL: http://surgpathcriteria.stanford.edu/softfib/palmar_fibromatosis/differentialdiagnosis.html. Accessed on: 9 November 2012.
- ↑ Wang L, Zhu H (2006). "Clonal analysis of palmar fibromatosis: a study whether palmar fibromatosis is a real tumor". J Transl Med 4: 21. doi:10.1186/1479-5876-4-21. PMC 1488873. PMID 16696857. http://www.biomedsearch.com/nih/Clonal-analysis-palmar-fibromatosis-study/16696857.html.
- ↑ Degreef, I.; De Smet, L.; Sciot, R.; Cassiman, JJ.; Tejpar, S. (Mar 2009). "Beta-catenin overexpression in Dupuytren's disease is unrelated to disease recurrence.". Clin Orthop Relat Res 467 (3): 838-45. doi:10.1007/s11999-008-0590-z. PMID 18958538.