AE1/AE3
Jump to navigation
Jump to search
| AE1/AE3 | |
|---|---|
| Immunostain in short | |
|
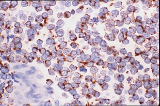
AE1/AE3 staining in a small cell carcinoma. (WC/Yale Rosen) | |
| Similar stains | Z622 |
| Use | unknown primary, confirm carcinoma |
| Normal staining pattern | membranous |
| Positive | most carcinomas |
| Negative | most lymphomas, most sarcomas |
AE1/AE3 is a common immunostain that marks keratins. It is considered a pankeratin by most.
Positive
- Most or all carcinomas.
Sarcomas:
- Chordoma.
- Desmoplastic small round cell tumour.
- Most epithelioid sarcomas.
- Others.
Negative
- Most lymphomas.
- Most sarcomas.
See also
- CK7.
- CK20.
- EMA.
- Cytokeratin Z622.