Nevoid basal cell carcinoma syndrome
Jump to navigation
Jump to search
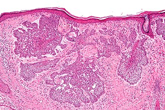
Basal cell carcinoma, a component of NBCCS. H&E stain.
Nevoid basal cell carcinoma syndrome, also Gorlin syndrome and Gorlin-Goltz syndrome, is a constellation of findings due to an autosomal dominant genetic mutation. The gene is patched and abbreviated PTCH1.[1]
It is abbreviated NBCCS.
Features:[2]
- Basal cell carcinoma - on average have their first tumour in their 20s.[3]
- Odontogenic keratocyst ~ 80% individuals with NBCCS have had one by age 20.[3]
- Bony abnormalities: bifid ribs, scoliosis + others.
- Falx cerebri calcification.
- Characteristic faces.
- Medulloblastoma.[4]
- Ovarian fibroma.[4]
Images:
See also
References
- ↑ Online 'Mendelian Inheritance in Man' (OMIM) 601309
- ↑ Busam, Klaus J. (2009). Dermatopathology: A Volume in the Foundations in Diagnostic Pathology Series (1st ed.). Saunders. pp. 435. ISBN 978-0443066542.
- ↑ 3.0 3.1 Kimonis, VE.; Goldstein, AM.; Pastakia, B.; Yang, ML.; Kase, R.; DiGiovanna, JJ.; Bale, AE.; Bale, SJ. (Mar 1997). "Clinical manifestations in 105 persons with nevoid basal cell carcinoma syndrome.". Am J Med Genet 69 (3): 299-308. PMID 9096761.
- ↑ 4.0 4.1 Kumar, Vinay; Abbas, Abul K.; Fausto, Nelson; Aster, Jon (2009). Robbins and Cotran pathologic basis of disease (8th ed.). Elsevier Saunders. pp. 1181. ISBN 978-1416031215.