Basal cell carcinoma
| Basal cell carcinoma | |
|---|---|
| Diagnosis in short | |
|
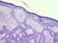
Basal cell carcinoma. H&E stain. | |
|
| |
| LM | "basaloid cells", nests with peripheral palisading of cells, artefactual clefting, myxoid stroma |
| Subtypes | superficial pattern, nodular pattern, morpheaform (sclerosing) pattern, infiltrative pattern, fibroepitheliomatous pattern, infundibulocystic pattern, adenoidal pattern |
| LM DDx | trichoepithelioma, adenoid cystic carcinoma, eccrine poroma, reticulated seborrheic keratosis (for BCC, fibroepitheliomatous pattern), basaloid squamous cell carcinoma, basosquamous carcinoma |
| IHC | Ber-EP4 +ve, EMA -ve |
| Gross | pearly nodule with telangiectasias |
| Site | skin |
|
| |
| Syndromes | Bazex syndrome, nevoid basal cell carcinoma syndrome, xeroderma pigmentosum |
|
| |
| Prevalence | very common |
| Prognosis | good |
| Clin. DDx | solar elastosis with ectatic blood vessels |
| Basal cell carcinoma | |
|---|---|
| External resources | |
| EHVSC | 10187 (BCC with dermal scar from bx) |
Basal cell carcinoma, abbreviated BCC, is an extremely common form of skin cancer.
General
- Very common.
- Sun exposed skin.
- Hair bearing area; tumour derived from hair follicle - a more appropriate name might be trichoblastic carcinoma.[1]
- Very rarely metastasizes:
- Dermatopathologists might see a couple in their career.
- There are only ~ 300 literature reports of metastatic BCC.[2]
- Uncommon in patients less than 35 years old.[3]
Clinical
- Telangiectasias.
- Raised pearly nodule.
As part of a syndrome
- Nevoid basal cell carcinoma syndrome (NBCCS), AKA Gorlin syndrome.
- Bazex syndrome (X-linked).[4]
- Xeroderma pigmentosum.
Microscopic
- Basaloid cells - similar in appearance to basal cells:
- Moderate blue/grey cytoplasm.
- Dark ovoid/ellipsoid nucleus with uniform chromatin.
- Palisading of cells at the edge of the cell nests.
- Artefactual separation of cells (forming the nests) from the underlying stroma - key feature.
- Surrounded by blue (myxoid) stroma - key feature.
May be present:[6]
- Dystrophic calcification - possibly more aggressive behaviour.[7]
- Amyloid.
- Inflammation.
Notes:
- Palisading = the long axes of the cells are alined and the axes are perpendicular to the interface between the (basaloid cell) nests and stroma.
- Key elements in a list: Artefactual clefting (of nests), Basaloid cells, Peripheral palisading, Myxoid stroma.
- Memory device PAM: palisading, artefactual clefts, myxoid stroma.
DDx:
- Benign hair follicle - lacks necrosis, core has lower cellular density, surrounding sheath composed of loose connective tissue.
- Trichoepithelioma - no artefactual cleft,[5] and typically no solar elastosis.
- Adenoid cystic carcinoma - no myxoid stroma, no peripheral palisading.
- Eccrine poroma - on palms & soles, BCC rarely found there.[8]
- Reticulated seborrheic keratosis - for BCC, fibroepitheliomatous pattern.
- Basaloid squamous cell carcinoma - AKA squamous cell carcinoma, basaloid variant.
- Basosquamous carcinoma - squamous cell carcinoma with basal cell carcinoma (a collision tumour).
- Solar elastosis with ectatic blood vessels.
- Microcystic adnexal carcinoma - for sclerosing basal cell carcinoma.
Images
Basal cell carcinoma with mucin production in the left nasal bridge of a 59 year old man, presenting as a presumptive lacrimal cyst. Because of the location, immunohistochemical stains were needed to exclude eccrine tumors and salivary gland type tumors. A. A spheroidal, well circumscribed mass shows intertwining nests (green arrow), isles with cribriforming (yellow arrows), and large acini (cyan arrows), with good circumscription. B. Round to ovoid nuclei show > 4:1 nuclear size variation in some adjacent pairs (black arrows) and occasional pyknotic nuclei (green arrows). Lumens show mucinous material with vacuoles (yellow arrows); the color argues against adenoid cystic carcinoma, but certainty in that respect could not be maintained without immunostains. Note lining up of nuclei suggestive of palisades (blue arrows). C. Nuclei are P63 positive, not shown are the negative stains for SOX10, CK7, and CD117.
www:
- BCC (ucsf.edu).[9]
- BCC with fibroepitheliomatous pattern / fibroepithelioma of Pinkus (surgicalpathologyatlas.com).
- BCC with fibroepitheliomatous pattern (dermatlas.med.jhmi.edu).
- BCC in vitiligo (nih.gov).[10]
- Clear cell BCC (dermpath.wordpress.com).
Basal cell carcinoma subtypes/unique features
- Many patterns exist.
- Recurrence higher in morpheaform (sclerosing), infiltrative, micronodular, and superficial patterns.[11]
- DG says the prognosis is similar for all BCC subtypes, except for sclerosing pattern and infiltrative pattern.[12]
The subtypes:[13]
| Pattern | Key histologic feature | Other histologic features | Other | Image |
|---|---|---|---|---|
| Superficial pattern | connected to epidermis | |||
| Nodular pattern | nodules | partial detachment from epidermis | subgroup micronodular = nests equal size ~ 0.2 mm dia., >=25% of lesion | |
| Morpheaform (sclerosing) pattern | stroma sclerosis | often seen with infiltrative pattern, DDx: desmoplastic trichoepithelioma[14] | ||
| Infiltrative pattern | small irregular cell aggregates | often also sclerosing or morpheaform | ||
| Fibroepitheliomatous pattern | cords and columns of basaloid cells | fibrous stroma | name of pattern comes from fibroepithelioma of Pinkus; DDx: reticulated seborrheic keratosis | |
| Infundibulocystic pattern | small keratocysts (keratin cysts) | usu. small, often in cords | usu. indolent | |
| Adenoidal pattern | cribriform / pseudoglandular arch. | myxoid stroma, peripheral palisading | DDx: adenoid cystic carcinoma | Adenoidal BCC (nih.gov) |
Unique features/differentiation:[13]
| Differentiation / unique cell | Key histologic feature | Other histologic features | Other |
|---|---|---|---|
| Pigmented cells | any pattern can have pigmentation | pigment may be in malignant cell | DDx: collision lesion with melanocytic lesion |
| Squamous differentiation (metatypical BCC) | pink cytoplasm, keratinization | assoc. with ulceration/tumour recurrence | |
| Eccrine differentiation | focal duct formation | very rare, DDx: BCC engulfing sweat ducts | |
| Clear cells (Clear cell BCC) | clear cytoplasm | due to glycogen |
IHC
- Ber-EP4 +ve -- typically weak and focal staining.
- Microcystic adnexal carcinoma negative.[15]
- CK5/6 +ve (52 of 52[16]).
- Useful to assess margins... if very close.
- CK7 +ve (30 +ve of 52 cases[16]).
- CK19 -ve/+ve (14 +ve 52[16]).
- CD10 +ve.
- Actin +ve.
Squamous cell carcinoma versus basal cell carcinoma:
- BerEP4 +ve.
- SCC usually negative.[17]
- EMA -ve.
- SCC usually positive.[18]
- SMA +ve.[19]
- SCC usually negative.
Other:
- p63 +ve.[20]
Sign-out
SKIN LESION, RIGHT EAR, EXCISION: - BASAL CELL CARCINOMA. - MARGINS NEGATIVE FOR BASAL CELL CARCINOMA. - EXTENSIVE SOLAR ELASTOSIS.
SKIN LESION, RIGHT TEMPLE, RE-EXCISION: - BASAL CELL CARCINOMA, NODULAR, MARGINS NEGATIVE. - DERMAL SCAR. - EXTENSIVE SOLAR ELASTOSIS.
Electrodesiccation and curettage
Skin, Left Brow, Biopsy with Electrodesiccation and Curettage (EDC): - BASAL CELL CARCINOMA, margin status assessed clinically during EDC.
Block letters
SKIN LESION, LEFT FOREARM, SHAVE BIOPSY WITH ELECTRODESICCATION AND CURETTAGE (EDC): - BASAL CELL CARCINOMA, MARGIN STATUS ASSESSED CLINICALLY DURING EDC. - EXTENSIVE SOLAR ELASTOSIS.
SKIN LESION, RIGHT UPPER BACK, SHAVE BIOPSY WITH ELECTRODESICCATION AND CURETTAGE (EDC): - BASAL CELL CARCINOMA, MARGIN STATUS ASSESSED CLINICALLY DURING EDC. - SOLAR ELASTOSIS. COMMENT: The tumour is clear of the edges of the tissue in the planes of section.
Close margin
SKIN LESION, SCALP, EXCISION: - BASAL CELL CARCINOMA, NODULAR. -- LATERAL MARGIN CLEARANCE LESS THAN 0.2 MILLIMETRES, SEE COMMENT. -- DEEP MARGIN NEGATIVE FOR BASAL CELL CARCINOMA. - SOLAR ELASTOSIS. COMMENT: The lesion is focally very close to the green inked margin in block A5 (3 o'clock to 6 o'clock margin). The lateral margins elsewhere are 2-3 millimetres. The deep margin is approximately 3 millimetres.
Positive lateral margin
SKIN LESION, LOWER MID BACK, EXCISION: - BASAL CELL CARCINOMA, NODULAR, LATERAL MARGIN POSITIVE. -- DEEP MARGIN NEGATIVE. - SOLAR ELASTOSIS.
Infiltrative BCC
SKIN LESION, RIGHT EAR, SHAVE BIOPSY: - INFILTRATIVE BASAL CELL CARCINOMA WITH FOCAL SCLEROSIS, DEEP AND LATERAL MARGINS POSITIVE. - ACTINIC KERATOSIS. - ULCERATION. COMMENT: The tumour stains as follows: POSITIVE: CK34betaE12, Ber-EP4. NEGATIVE: S-100, EMA.
Micro
The sections show hair-bearing skin with nests of basaloid cells in the dermis. The basaloid nests have peripheral palisading of the nuclei, have numerous mitoses, and are surrounded by a myxoid stroma. The nests are well demarcated from the stroma and show focal clefting from the stroma. The margins are negative for basal cell carcinoma.
Infiltrative BCC
The sections show ulcerated skin. In the dermis, there are single atypical cells, small clusters of atypical cells and rows of atypical cells. The atypical cells have moderate grey cytoplasm, irregular nucleoli, and pale nuclei. Mitotic activity is present. The stroma is partially sclerotic.
The epidermis (where present) has basal atypia and focal parakeratosis.
The atypical lesion is present at the deep and lateral margins.
Small basal cell - curettage afterward
The sections show hair-bearing skin with small groups of basaloid cells attached to the epidermis. The groups of basaloid cells have peripheral palisading of the nuclei and are surrounded by a myxoid stroma. The groups of basaloid cells are well demarcated from the stroma and show focal clefting from the stroma. The edge of the tissue focally has basal cell carcinoma, the deep aspect is clear.
See also
References
- ↑ Busam, Klaus J. (2009). Dermatopathology: A Volume in the Foundations in Diagnostic Pathology Series (1st ed.). Saunders. pp. 389. ISBN 978-0443066542.
- ↑ Ting, PT.; Kasper, R.; Arlette, JP. (Jan 2005). "Metastatic basal cell carcinoma: report of two cases and literature review.". J Cutan Med Surg 9 (1): 10-5. doi:10.1007/s10227-005-0027-1. PMID 16208438.
- ↑ Cox, NH. (Jul 1992). "Basal cell carcinoma in young adults.". Br J Dermatol 127 (1): 26-9. PMID 1637690.
- ↑ URL: http://emedicine.medscape.com/article/1101146-diagnosis. Accessed on: 6 May 2010.
- ↑ 5.0 5.1 Kumar, Vinay; Abbas, Abul K.; Fausto, Nelson; Aster, Jon (2009). Robbins and Cotran pathologic basis of disease (8th ed.). Elsevier Saunders. pp. 1180-1. ISBN 978-1416031215.
- ↑ 6.0 6.1 Busam, Klaus J. (2009). Dermatopathology: A Volume in the Foundations in Diagnostic Pathology Series (1st ed.). Saunders. pp. 390. ISBN 978-0443066542.
- ↑ Slodkowska, EA.; Cribier, B.; Peltre, B.; Jones, DM.; Carlson, JA. (Aug 2010). "Calcifications associated with basal cell carcinoma: prevalence, characteristics, and correlations.". Am J Dermatopathol 32 (6): 557-64. doi:10.1097/DAD.0b013e3181ca65e2. PMID 20489568.
- ↑ Tadrous, Paul.J. Diagnostic Criteria Handbook in Histopathology: A Surgical Pathology Vade Mecum (1st ed.). Wiley. pp. 284. ISBN 978-0470519035.
- ↑ URL: http://missinglink.ucsf.edu/lm/DermatologyGlossary/basal_cell_carcinoma.html. Accessed on: 4 September 2011.
- ↑ Rustemeyer, J.; Günther, L.; Deichert, L. (Sep 2011). "A rare association: basal cell carcinoma in a vitiliginous macula.". Oral Maxillofac Surg 15 (3): 175-7. doi:10.1007/s10006-010-0240-y. PMID 20623309.
- ↑ Basal cell carcinoma. eMedicine. Prognosis section. URL: http://emedicine.medscape.com/article/276624-overview. Accessed on: 17 September 2011.
- ↑ Ghazarian, Danny; 14 September 2011.
- ↑ 13.0 13.1 Busam, Klaus J. (2009). Dermatopathology: A Volume in the Foundations in Diagnostic Pathology Series (1st ed.). Saunders. pp. 392-5. ISBN 978-0443066542.
- ↑ Kirzhner, M.; Jakobiec, FA.; Borodic, G.. "Desmoplastic trichoepithelioma: report of a unique periocular case.". Ophthal Plast Reconstr Surg 28 (5): e121-3. doi:10.1097/IOP.0b013e318245535a. PMID 22366669.
- ↑ Sellheyer, K.; Nelson, P.; Kutzner, H.; Patel, RM. (Apr 2013). "The immunohistochemical differential diagnosis of microcystic adnexal carcinoma, desmoplastic trichoepithelioma and morpheaform basal cell carcinoma using BerEP4 and stem cell markers.". J Cutan Pathol 40 (4): 363-70. doi:10.1111/cup.12085. PMID 23398472.
- ↑ 16.0 16.1 16.2 Alessi E, Venegoni L, Fanoni D, Berti E (June 2008). "Cytokeratin profile in basal cell carcinoma". Am J Dermatopathol 30 (3): 249–55. doi:10.1097/DAD.0b013e31816c828a. PMID 18496426.
- ↑ Yu, L.; Galan, A.; McNiff, JM. (Oct 2009). "Caveats in BerEP4 staining to differentiate basal and squamous cell carcinoma.". J Cutan Pathol 36 (10): 1074-176. doi:10.1111/j.1600-0560.2008.01223.x. PMID 19187107.
- ↑ Beer, TW.; Shepherd, P.; Theaker, JM. (Sep 2000). "Ber EP4 and epithelial membrane antigen aid distinction of basal cell, squamous cell and basosquamous carcinomas of the skin.". Histopathology 37 (3): 218-23. PMID 10971697.
- ↑ URL: http://www.ihcworld.com/_newsletter/2004/2004-12_basal_cell_vs_squamous_v1.pdf. Accessed on: 19 December 2012.
- ↑ Bircan, S.; Candir, O.; Kapucoglu, N.; Baspinar, S. (Apr 2006). "The expression of p63 in basal cell carcinomas and association with histological differentiation.". J Cutan Pathol 33 (4): 293-8. doi:10.1111/j.0303-6987.2006.00436.x. PMID 16630179.


