Poroma
(Redirected from Eccrine poroma)
Jump to navigation
Jump to search
Poroma is a rare benign dermatologic neoplasm.
Eccrine poroma redirect here.
General
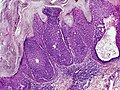
- Benign tumour arising from the distal sweat duct.
- Erythematous - gross.
Microscopic
Features:[1]
- Broad sheets of basaloid cells - attached to the epidermis - containing ductal structures - key feature.
- Biphasic stroma:
- Edematous stroma.
- Sclerotic stroma.
- Moderate nuclear pleomorphism.
- +/-Occasional mitoses.
Notes:
- Area above gland appears crusted.
DDx:
- Trichilemmoma.
- Nodular hidradenoma.
- Porocarcinoma.
- Seborrheic keratosis - have horn cysts.
Images
www:
See also
References
- ↑ URL: http://www.pathconsultddx.com/pathCon/diagnosis?pii=S1559-8675(06)70190-5. Accessed on: 2 July 2010.