Trichilemmoma
Jump to navigation
Jump to search
| Trichilemmoma | |
|---|---|
| Diagnosis in short | |
|
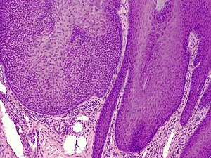
Trichilemmoma. H&E stain. | |
|
| |
| LM | superficial dermal lesion contiguous with the epidermis; core of lesion has cuboidal cells with round nuclei, eosinophilic-clear cytoplasm; periphery of lesion surrounded by hyaline band, has peripheral palisading |
| LM DDx | trichilemmal carcinoma, basal cell carcinoma, inverted follicular keratosis |
| Site | skin |
|
| |
| Syndromes | Cowden syndrome |
|
| |
| Prevalence | uncommon |
| Prognosis | benign |
Trichilemmoma is an uncommon skin tumour.
General
- Benign neoplasm with features of the pilosebaceous follicular epithelium.[1]
- Associated with nevus sebaceous.[2]
- Muliple trichilemmomas associated with Cowden syndrome.[3]
Microscopic
Features:[3]
- Superficial dermal lesion contiguous with the epidermis:
- Core of lesion:
- Cuboidal cells with round nuclei, eosinophilic-clear cytoplasm.
- Periphery of lesion:
- Surrounded by hyaline band.
- Peripheral palisading.
- Core of lesion:
DDx:
Images
- Trichilemmoma (jhmi.edu).[4]
- Trichilemmoma - low mag. (flickr.com/Irlam).
- Trichilemmoma - intermed. mag. (flickr.com/Irlam).
- Trichilemmoma - high mag. (flickr.com/Irlam).
See also
References
- ↑ URL: http://emedicine.medscape.com/article/1059940-overview. Accessed on: 2 September 2011.
- ↑ Baykal, C.; Buyukbabani, N.; Yazganoglu, KD.; Saglik, E. (Jan 2006). "[Tumors associated with nevus sebaceous].". J Dtsch Dermatol Ges 4 (1): 28-31. doi:10.1111/j.1610-0387.2006.05855.x. PMID 16503928.
- ↑ 3.0 3.1 Busam, Klaus J. (2009). Dermatopathology: A Volume in the Foundations in Diagnostic Pathology Series (1st ed.). Saunders. pp. 386. ISBN 978-0443066542.
- ↑ URL: http://dermatlas.med.jhmi.edu/derm/indexDisplay.cfm?ImageID=667496720. Accessed on: 2 September 2011.