Adenoid cystic carcinoma
Jump to navigation
Jump to search
| Adenoid cystic carcinoma | |
|---|---|
| Diagnosis in short | |
|
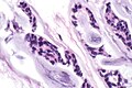
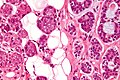
Adenoid cystic carcinoma. H&E stain. | |
|
| |
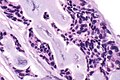
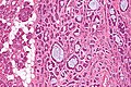
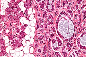
| LM | cribriform architecture (other patterns: solid, cords, (bilayered) tubules), cystic spaces filled with basophilic material, scant cytoplasm in most cells, nucleus - small, hyaline stroma |
| LM DDx | pleomorphic adenoma, epithelial-myoepithelial carcinoma, intraductal carcinoma |
| Site | salivary gland, breast, lung, skin, trachea, others |
|
| |
| Signs | mass |
| Prevalence | relatively common malignant salivary gland tumour |
| Treatment | surgical excision |
Adenoid cystic carcinoma, abbreviated AdCC, is a malignant tumour commonly seen in the salivary gland.
General
- Common malignant neoplasm of salivary gland.[1]
- May occur in the skin.[2]
- AKA cylindroma.[3]
- Should not be confused with dermal cylindroma (a benign skin tumour).
- Composed of ductal cells and myoepithelial cells; myoepithelial cells > ductal cells.
Microscopic
Features:
- Cribriform architecture or pseudoglandular spaces (classic pattern) - important feature.
- Other patterns: solid, cords, (bilayered) tubules.
- Cystic spaces filled with basophilic material (that is PAS +ve) - key feature.
- Scant cytoplasm in most cells (myoepithelial cells) - clear/eosinophilic.
- Moderate eosinophilic cytoplasm in the (rare) ductal cells.
- Nucleus - small.
- May be angulated (carrot-shaped) - myoepithelial cells; round/ovoid in ductal cells.
- Hyaline stroma.
Memory device:
- AdCC - mostly DNA (scant cytoplasm), distinct nucleus (carrot-shaped).
Notes:
- Squamous differentiation is extremely rare. It presence should prompt consideration of:
- Basaloid squamous cell carcinoma.
- Basal cell carcinoma (BCC).
- Perineural invasion is usually present.
- If it is not one should consider other diagnoses.
DDx:
- Pleomorphic adenoma, esp. if encapsulated.
- Epithelial-myoepithelial carcinoma - esp. for AdCC tubular variant.
- Human papillomavirus-related multiphenotypic sinonasal carcinoma (previously known as human papillomavirus-related carcinoma with adenoid cystic-like features).
- Intraductal carcinoma of the salivary gland.
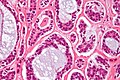
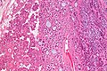
Images
AdCC trachea - low mag.
Grading
Based on solid component:
- Low grade = tubules and cribriform structures only; no solid component.
- Intermediate grade = solid component <30%.
- High grade = solid component >=30%
Stains
Special stains:
- PAS +ve material - cystic spaces.[4]
IHC
Features:[5]
- CD117 +ve.
- Cyclin D1 +ve/-ve.
Others:[6]
- CK7 +ve.
- Pankeratin +ve.
- p63 +ve.
- Calponin +ve.
- S-100 +ve.
Note:
- Myoepithelial markers (e.g. calponin, actin) +ve.
- Typically -ve in PLGA.
Molecular
Features:[7]
- t(6;9) MYB-NFIB.
- Seen in ~50% of cases.
- Worse prognosis if present, esp. if fusion assoc. with transcription.
Sign out
Micro
The sections show a tumour with a cribriform architecture. The cystic spaces have basophilic material. The tumour cells are carrot-like and have scant/modest cytoplasm.
See also
- Salivary glands.
- Adenoid cystic carcinoma of the breast.
- Adenoid cystic/basal cell carcinoma of the prostate.
- Head and neck pathology.
- Head and neck cytopathology.
References
- ↑ Krüll, A.; Schwarz, R.; Engenhart, R.; Huber, P.; Lessel, A.; Koppe, H.; Favre, A.; Breteau, N. et al. (1996). "European results in neutron therapy of malignant salivary gland tumors.". Bull Cancer Radiother 83 Suppl: 125-9s. PMID 8949764.
- ↑ Wick, MR.; Swanson, PE. (Feb 1986). "Primary adenoid cystic carcinoma of the skin. A clinical, histological, and immunocytochemical comparison with adenoid cystic carcinoma of salivary glands and adenoid basal cell carcinoma.". Am J Dermatopathol 8 (1): 2-13. PMID 3010759.
- ↑ Chest. May 1957. Vol. 31. No. 5. PP. 493-511. http://www.chestjournal.org/content/31/5/493.abstract
- ↑ URL: http://www.pathconsultddx.com/pathCon/diagnosis?pii=S1559-8675%2806%2970070-5. Accessed on: 12 May 2011.
- ↑ Sequeiros-Santiago, G.; García-Carracedo, D.; Fresno, MF.; Suarez, C.; Rodrigo, JP.; Gonzalez, MV. (May 2009). "Oncogene amplification pattern in adenoid cystic carcinoma of the salivary glands.". Oncol Rep 21 (5): 1215-22. PMID 19360297.
- ↑ Thompson, LD.; Penner, C.; Ho, NJ.; Foss, RD.; Miettinen, M.; Wieneke, JA.; Moskaluk, CA.; Stelow, EB. (Sep 2013). "Sinonasal Tract and Nasopharyngeal Adenoid Cystic Carcinoma: A Clinicopathologic and Immunophenotypic Study of 86 Cases.". Head Neck Pathol. doi:10.1007/s12105-013-0487-3. PMID 24037641.
- ↑ Mitani, Y.; Rao, PH.; Futreal, PA.; Roberts, D.; Stephens, P.; Zhao, YJ.; Zhang, L.; Mitani, M. et al. (Oct 2011). "Novel Chromosomal Rearrangements and breakpoints at the t(6;9) in Salivary Adenoid Cystic Carcinoma: association with MYB-NFIB chimeric fusion, MYB expression, and clinical outcome.". Clin Cancer Res. doi:10.1158/1078-0432.CCR-11-1870. PMID 21976542.