Adenoid cystic carcinoma of the breast
Jump to navigation
Jump to search
| Adenoid cystic carcinoma of the breast | |
|---|---|
| Diagnosis in short | |
|
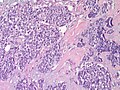
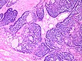
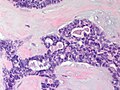
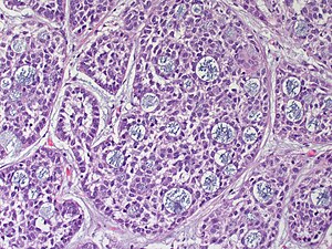
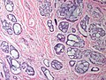
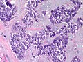
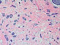
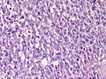
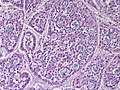
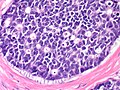
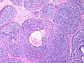
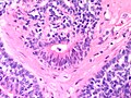
Adenoid cystic carcinoma of the breast. H&E stain. | |
| LM DDx | cribriform DCIS, invasive cribriform carcinoma of the breast, collagenous spherulosis |
| Grossing notes | breast grossing |
| Staging | breast cancer staging |
| Site | breast - see invasive breast cancer |
|
| |
| Prevalence | very rare |
| Prognosis | good |
| Treatment | surgery |
Adenoid cystic carcinoma of the breast is a rare type of breast cancer that is similar to a relatively common tumour of the salivary gland.
It is also known as breast adenoid cystic carcinoma, abbreviated BACC.[1]
General
- Like tumour of the salivary gland.
- Very rare <0.1% of breast malignancies.[2]
- Good prognosis.[2]
Microscopic
- See: Adenoid cystic carcinoma article.
DDx:
Images
www:
IHC
- One of the 'good prognosis' triple negative breast cancers - ER, PR and HER2 negative.[3]
- Basal-like breast cancer - p63 and CK5/6 positive.[3]
CD117 positive[3]
Other Resources
Pathology Outlines [1]
See also
References
- ↑ Crisi, GM.; Marconi, SA.; Makari-Judson, G.; Goulart, RA. (Nov 2005). "Expression of c-kit in adenoid cystic carcinoma of the breast.". Am J Clin Pathol 124 (5): 733-9. doi:10.1309/61MV-ENEK-5EJ7-JKGF. PMID 16203286.
- ↑ 2.0 2.1 Boujelbene, N.; Khabir, A.; Boujelbene, N.; Jeanneret Sozzi, W.; Mirimanoff, RO.; Khanfir, K. (Dec 2011). "Clinical review - Breast adenoid cystic carcinoma.". Breast. doi:10.1016/j.breast.2011.11.006. PMID 22154460.
- ↑ 3.0 3.1 3.2 Azoulay, S.; Laé, M.; Fréneaux, P.; Merle, S.; Al Ghuzlan, A.; Chnecker, C.; Rosty, C.; Klijanienko, J. et al. (Dec 2005). "KIT is highly expressed in adenoid cystic carcinoma of the breast, a basal-like carcinoma associated with a favorable outcome.". Mod Pathol 18 (12): 1623-31. doi:10.1038/modpathol.3800483. PMID 16258515.