Dermal cylindroma
Jump to navigation
Jump to search
| Dermal cylindroma | |
|---|---|
| Diagnosis in short | |
|
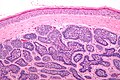
Dermal cylindroma. H&E stain. | |
|
| |
| LM | nests of cells where the borders of the nests are opposed and undulate - composed of (1) basaloid cells with scant cytoplasm and dark nuclei that palisade around the edge of the nests, (2) larger cells with moderate eosinophilic cytoplasm and lighter staining nuclei are at the centre of the nests; cells nests surrounded by a glassy, eosinophilic, acellular material ~ 2x thickness of a basilar cell |
| LM DDx | eccrine spiradenoma, basal cell carcinoma |
| Site | skin - typically scalp |
|
| |
| Syndromes | familial cylindromatosis, Brook–Spiegler syndrome |
|
| |
| Prevalence | uncommon |
| Prognosis | benign, rarely malignant |
Dermal cylindroma is a skin lesion classically seen on the scalp. It is usually benign.
It should not be confused with cylindroma (adenoid cystic carcinoma).
General
- Benign skin lesion.
- Occasionally malignant.[1]
- May be related to eccrine spiradenoma.[2][3]
May be familial:[1]
- Familial cylindromatosis (autosomal dominant).
- Brook–Spiegler syndrome.
Gross
- Classically scalp - usually head and neck or face.
Microscopic
Features:[1]
- Nests of cells that fit together like a jigsaw puzzle - the borders of the nests are opposed and undulate.
- Basaloid cells with scant cytoplasm and dark nuclei palisade around the edge of the nests.
- Larger cells with moderate eosinophilic cytoplasm and lighter staining nuclei are at the centre of the nests.
- Cells nests surrounded by a band of hyaline (i.e. glassy, eosinophilic, acellular) material ~ 2X thickness of a basilar cell - key feature.
- This is basement membrane.
DDx:
Images
www:
Stains
- PAS +ve (basement membrane).[1]
See also
References
- ↑ 1.0 1.1 1.2 1.3 1.4 Obaidat, NA.; Alsaad, KO.; Ghazarian, D. (Feb 2007). "Skin adnexal neoplasms--part 2: an approach to tumours of cutaneous sweat glands.". J Clin Pathol 60 (2): 145-59. doi:10.1136/jcp.2006.041608. PMC 1860616. PMID 16882695. https://www.ncbi.nlm.nih.gov/pmc/articles/PMC1860616/.
- ↑ Gerber, JE.; Descalzi, ME. (Feb 1983). "Eccrine spiradenoma and dermal cylindroma.". J Cutan Pathol 10 (1): 73-8. PMID 6302142.
- ↑ Lee, MW.; Kelly, JW. (Feb 1996). "Dermal cylindroma and eccrine spiradenoma.". Australas J Dermatol 37 (1): 48-9. PMID 8936072.