Adenocarcinoma of the urinary bladder
(Redirected from Adenocarcinoma in situ of the urinary bladder)
Jump to navigation
Jump to search
| Adenocarcinoma of the urinary bladder | |
|---|---|
| Diagnosis in short | |
|
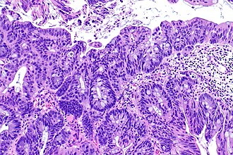
Adenocarcinoma of the urinary bladder. H&E stain. | |
|
| |
| Synonyms | primary adenocarcinoma of the urinary bladder |
|
| |
| LM | nuclear pleomorphism (may be mild), usually glandular differentiation (most common), no urothelial differentiation - essential |
| LM DDx | urachal carcinoma, invasive urothelial carcinoma with glandular differentiation, metastatic adenocarcinoma, direct extension of adenocarcinoma from an adjacent structure (esp. colorectal adenocarcinoma) |
| IHC | CK7 +ve, CK20 +ve, CDX2 +ve (strong, diffuse), beta-catenin -ve (nuclei -ve, membranes +ve) |
| Grossing notes | radical cystectomy grossing, cystoprostatectomy grossing |
| Site | urinary bladder |
|
| |
| Signs | +/-hematuria |
| Prevalence | rare |
| Treatment | cystectomy |
Adenocarcinoma of the urinary bladder, also primary adenocarcinoma of the urinary bladder and bladder adenocarcinoma, is a very uncommon malignant urinary bladder tumour.
General
Clinical:
- Like urothelial carcinoma - usually hematuria.[1]
Microscopic
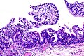
Features:
- Nuclear pleomorphism - may be mild.
- Usually glandular differentiation (most common).
- Frequently looks just like colorectal adenocarcinoma.
- Without urothelial differentiation - essential.[3]
- +/-Evidence of invasion such as:
- Desmoplastic stroma.
- Extensive disordered or cribriform growth.
Subtypes:[2]
- Glandular.
- Papillary.
- Colloidal (mucinous).
- Signet ring cell carcinoma.
- Clear cell carcinoma (also mesonephroid carcinoma).
Note:
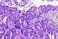
- The presence of adenocarcinoma in situ suggests the lesion arose in the bladder.[citation needed]
DDx:
- Urachal adenocarcinoma - dome of bladder.
- Invasive urothelial carcinoma with glandular differentiation - has urothelial differentiation.
- Metastatic adenocarcinoma or extension of adenocarcinoma from a nearby structure
- Tubular adenoma of the urinary tract.[4]
Images
Case 1
Case 2 - AIS
IHC
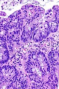
Features - variable:[5]
- CK7 +ve.
- CK20 +ve.
- CDX2 +ve (strong, diffuse).
- Beta-catenin -ve (negative nuclear staining, positive membranous staining).
- Colorectal adenocarcinoma typically has nuclear staining and membranous staining.
- Thrombomodulin +ve/-ve (~60% of cases).
- Colorectal adenocarcinoma -ve.
- Urothelial carcinoma +ve (~90% of cases).
Images
Case 1
Sign out
Urinary Bladder Tumour, Transurethral Resection: - Invasive adenocarcinoma into the lamina propria, see comment. - Muscularis propria not sampled. - Negative for lymphovascular invasion. Comment: No urothelial carcinoma component is identified. The differential diagnosis includes (1) primary adenocarcinoma of the bladder, (2) adenocarcinoma from another organ (direct extension or metastasis), (3) urothelial carcinoma with glandular differentiation without sampled urothelial carcinoma, and (4) urachal adenocarcinoma. Immunostaining of the tumour is as follows: POSITIVE: CK7, CK20, CK34betaE12. NEGATIVE: beta-catenin (membranous pattern only, nuclei are negative). The immunoprofile (beta-catenin = nuclei negative, CK7 = positive) and presence of an in situ component favours a primary adenocarcinoma of the bladder; however, this is uncommon. Nonprimary adenocarcinoma (e.g. colorectal adenocarcinoma) should be excluded clinically.
See also
References
- ↑ 1.0 1.1 Ranadive, NU.; Trivedi, VD.; Gadgil, NM. (Oct 1999). "Primary adenocarcinoma of the urinary bladder: a study of 6 cases from the pathologist's point of view.". Arch Esp Urol 52 (8): 906-11. PMID 11762445.
- ↑ 2.0 2.1 Abbas, M.; Kramer, MW.; Wolters, M.; Herrman, TR.; Becker, JU.; Kreipe, HH. (Feb 2013). "Adenocarcinoma of the urinary bladder, mesonephroid type: a rare case.". Rare Tumors 5 (1): e3. doi:10.4081/rt.2013.e3. PMID 23772302.
- ↑ Zhong, M.; Gersbach, E.; Rohan, SM.; Yang, XJ. (Mar 2013). "Primary adenocarcinoma of the urinary bladder: differential diagnosis and clinical relevance.". Arch Pathol Lab Med 137 (3): 371-81. doi:10.5858/arpa.2012-0076-RA. PMID 23451748.
- ↑ Kao, CS.; Epstein, JI. (Sep 2013). "Tubular adenoma of the urinary tract: a newly described entity.". Hum Pathol 44 (9): 1890-4. doi:10.1016/j.humpath.2013.02.017. PMID 23664485.
- ↑ Roy, S.; Parwani, AV. (Dec 2011). "Adenocarcinoma of the urinary bladder.". Arch Pathol Lab Med 135 (12): 1601-5. doi:10.5858/arpa.2009-0713-RS. PMID 22129192.