Ductal adenocarcinoma of the prostate gland
(Redirected from Ductal adenocarcinoma of the prostate)
Jump to navigation
Jump to search
| Ductal adenocarcinoma of the prostate gland | |
|---|---|
| Diagnosis in short | |
|
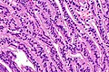
Ductal adenocarcinoma of prostate. H&E stain. (WC) | |
|
| |
| Synonyms | prostatic ductal adenocarcinoma, endometrioid adenocarcinoma (use discouraged), papillary adenocarcinoma of prostate (old term) |
| Subtypes | (subtype of prostate carcinoma) |
| LM DDx | acinar adenocarcinoma of prostate, prostatic-type polyp, adenocarcinoma of the urinary bladder, metastatic adenocarcinoma |
| IHC | chromogranin A +ve, p53 +ve, PSA +ve |
| Grossing notes | prostate biopsy, prostate chips, radical prostatectomy |
| Staging | prostate cancer staging |
| Site | prostate gland - esp. central zone, see prostate cancer |
|
| |
| Prevalence | uncommon - though considered most common non-acinar prostate carcinoma |
| Prognosis | poor |
Ductal adenocarcinoma of the prostate gland, also prostatic ductal adenocarcinoma, is relatively common variant of prostate cancer.
It is also known as prostatic adenocarcinoma, large duct type.
It should not be confused with intraductal carcinoma of the prostate gland.
General
- Sometimes it is referred to as endometrioid or endometrial adenocarcinoma; both terms are discouraged.[1]
- In older literature it is referred to as papillary adenocarcinoma of the prostate.[2][3]
- Not completely uncontroversial - may represent acinar adenocarcinoma with periurethral ducts involvement.[4]
- More aggressive than conventional (acinar) prostate carcinoma.
Microscopic
Features:[5]
- Pseudostratified (crowded appearing) columnar (or cigar-shaped) nuclei - key feature.
- Vaguely resembles colonic adenocarcinoma.
- Compatible architecture:
- Papillary.
- Cribriform.
- Single gland (large glands).
- Endometrioid - vaguely looks like endometrioid endometrial carcinoma (with back-to-back glands).
- >= 50% of tumour.[6] ‡‡
- If ductal component <50%, it is a conventional (acinar) adenocarcinoma with a ductal component.
Notes:
- Proportion of ductal component should be quantified:
- <10% ductal component of no prognostic significance.[6]
- ‡‡ Mahul Amin advocates that >=80% should be ductal morphology to call ductal adenocarcinoma.[7]
DDx:
- Acinar adenocarcinoma of prostate - main DDx.
- Prostatic-type polyp - benign uncommon pathology, typically present with hematuria.
- Adenocarcinoma of the urinary bladder.
- PIN-like adenocarcinoma - does not have papillary architecture.
- Metastatic adenocarcinoma.
Images
www
- Prostatic ductal adenocarcinoma - several images (upmc.edu).
- Prostatic ductal adenocarcinoma - another case - several images (upmc.edu).
- Prostatic ductal adenocarcinoma - F1 (nih.gov).
- Prostatic ductal adenocarcinoma - F2 (nih.gov).
- Prostatic ductal adenocarcinoma (webpathology.com).
- Prostatic ductal adenocarcinoma (webpathology.com).
IHC
Features:[8]
- p53 +ve in ~ 75% of cases.
- Ki-67 high in ~ 70% of cases.
- Chromogranin A +ve (cytoplasm) in ~ 70% of cases.
Others:[9]
- PSA +ve.
Sign out
Comment about small amount of ductal adenocarcinoma
A small amount of ductal-type adenocarcinoma of the prostate is seen; it represents approximately 5% of the tumour by volume and is of no particular prognostic significance. As the volume of the ductal-type adenocarcinoma is small, the case is classified as acinar adenocarcinoma.
See also
References
- ↑ Samaratunga, H.; Delahunt, B. (Aug 2008). "Ductal adenocarcinoma of the prostate: current opinion and controversies.". Anal Quant Cytol Histol 30 (4): 237-46. PMID 18773743.
- ↑ Miki, J.; Ikemoto, I.; Shimomura, T.; Kiyota, H.; Oisi, Y.; Kondo, I.; Madarame, J.; Endo, K. et al. (Jan 2003). "[Papillary adenocarcinoma of the prostate: report of 4 cases].". Hinyokika Kiyo 49 (1): 21-4. PMID 12629776.
- ↑ Wernert, N.; Lüchtrath, H.; Seeliger, H.; Schäfer, M.; Goebbels, R.; Dhom, G. (1987). "Papillary carcinoma of the prostate, location, morphology, and immunohistochemistry: the histogenesis and entity of so-called endometrioid carcinoma.". Prostate 10 (2): 123-31. PMID 2436204.
- ↑ Bock, BJ.; Bostwick, DG. (Jul 1999). "Does prostatic ductal adenocarcinoma exist?". Am J Surg Pathol 23 (7): 781-5. PMID 10403300.
- ↑ Zhou, Ming; Magi-Galluzzi, Cristina (2006). Genitourinary Pathology: A Volume in Foundations in Diagnostic Pathology Series (1st ed.). Churchill Livingstone. pp. 88. ISBN 978-0443066771.
- ↑ 6.0 6.1 Amin, A.; Epstein, JI. (Apr 2011). "Pathologic stage of prostatic ductal adenocarcinoma at radical prostatectomy: effect of percentage of the ductal component and associated grade of acinar adenocarcinoma.". Am J Surg Pathol 35 (4): 615-9. doi:10.1097/PAS.0b013e31820eb25b. PMID 21383610.
- ↑ Amin, Mahul B. (2010). Diagnostic Pathology: Genitourinary (1st ed.). Amirsys. pp. 3-102. ISBN 978-1931884280.
- ↑ Tarján, M.; Lenngren, A.; Hellberg, D.; Tot, T. (Jun 2012). "Immunohistochemical verification of ductal differentiation in prostate cancer.". APMIS 120 (6): 510-8. doi:10.1111/j.1600-0463.2011.02862.x. PMID 22583364.
- ↑ Kumar, A.; Mukherjee, SD. (Apr 2010). "Metastatic ductal carcinoma of the prostate: a rare variant responding to a common treatment.". Can Urol Assoc J 4 (2): E50-4. PMID 20368883.