Prostatic-type polyp
Jump to navigation
Jump to search
| Prostatic-type polyp | |
|---|---|
| Diagnosis in short | |
|
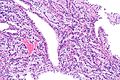
Prostatic-type polyp. H&E stain. (WC/Nephron) | |
|
| |
| LM | benign prostatic type epithelium or transitional type epithelium +/-corpora amylacea |
| LM DDx | prostatic ductal carcinoma |
| IHC | PSA +ve |
| Site | urethra/prostate gland - verumontanum |
|
| |
| Signs | hematuria |
| Prevalence | very rare |
| Prognosis | benign |
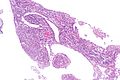
Prostatic-type polyp is an uncommon polyp of the genitourinary tract. It is typically centered on the verumontanum of the prostate gland and projects into the urethra.
General
- Hematuria - classic presentation.[1]
- Uncommon - as a separate specimen.
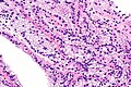
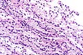
Microscopic
Features:[2]
- Benign prostatic type epithelium or transitional type epithelium.
- Cuboidal to low columnar cells with basal cell layer.
- +/-Corpora amylacea.
DDx:
Images
IHC
See also
References
- ↑ 1.0 1.1 Chan, JK.; Chow, TC.; Tsui, MS. (Aug 1987). "Prostatic-type polyps of the lower urinary tract: three histogenetic types?". Histopathology 11 (8): 789-801. PMID 2442088.
- ↑ 2.0 2.1 Amin, Mahul B.; Eble, John; Grignon, David; Srigley, John. (2013). Urological Pathology (1st ed.). Wolters Kluwer. pp. 470. ISBN 978-0781782814.
- ↑ Amin, Mahul B.; Eble, John; Grignon, David; Srigley, John. (2013). Urological Pathology (1st ed.). Wolters Kluwer. pp. 471. ISBN 978-0781782814.