Adenomyoepithelioma
Jump to navigation
Jump to search
| Adenomyoepithelioma | |
|---|---|
| Diagnosis in short | |
|
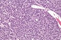
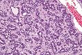
Adenomyoepithelioma. H&E stain. | |
|
| |
| LM | glandular architecture with: (1) identifiable myoepithelial cells with clear cytoplasm, (2) eosinophilic cuboidal epithelial cells; eosinophilic basement membrane material between glands |
| LM DDx | invasive ductal carcinoma, mammary pleomorphic adenoma, ductal adenoma, tubular adenoma of the breast, sclerosing adenosis |
| Site | breast |
|
| |
| Prevalence | uncommon |
| Prognosis | benign, occasionally malignant |
Adenomyoepithelioma is an uncommon pathology of the breast. It is usually benign.
General
- Rare lesion consisting of epithelial and myoepithelial elements.
- May occur in other sites, e.g. tonsil.[1]
- May be benign or malignant.[2][3]
Note:
- Possibly the same tumour as epithelial-myoepithelial carcinoma of the salivary gland.[4]
Microscopic
Features:[5]
- Well-circumscribed.
- Glandular architecture with:
- Easily identifiable myoepithelial cells - with clear cytoplasm - key feature.
- Eosinophilic cuboidal epithelial cells.
- Eosinophilic basement membrane material between glands.
DDx:
- Invasive ductal carcinoma of the breast (on core biopsy).
- Mammary pleomorphic adenoma.
- Ductal adenoma.
- Tubular adenoma of the breast - does not have a prominent (clear) myoepithelial component.
- Sclerosing adenosis.[6]
Images
www:
- Adenomyoepithelioma - low mag. (webpathology.com).
- Adenomyoepithelioma - high mag. (webpathology.com).
See also
References
- ↑ Ren, J.; Song, L.; Dang, Q.; Zhang, X.; Jiang, SW.; Zhang, G.; Wang, N.; Liu, Z. et al. (2010). "Primary adenomyoepithelioma of tonsil.". Head Neck Oncol 2: 7. doi:10.1186/1758-3284-2-7. PMID 20356364.
- ↑ Howlett, DC.; Mason, CH.; Biswas, S.; Sangle, PD.; Rubin, G.; Allan, SM. (Mar 2003). "Adenomyoepithelioma of the breast: spectrum of disease with associated imaging and pathology.". AJR Am J Roentgenol 180 (3): 799-803. PMID 12591699. http://www.ajronline.org/content/180/3/799.full.
- ↑ Zizi-Sermpetzoglou, A.; Vasilakaki, T.; Grammatoglou, X.; Petrakopoulou, N.; Nikolaidou, ME.; Glava, C. (2009). "Malignant adenomyoepithelioma of the breast--case report.". Eur J Gynaecol Oncol 30 (2): 234-6. PMID 19480267.
- ↑ Seifert, G. (Sep 1998). "Are adenomyoepithelioma of the breast and epithelial-myoepithelial carcinoma of the salivary glands identical tumours?". Virchows Arch 433 (3): 285-8. PMID 9769134.
- ↑ URL: http://www.webpathology.com/image.asp?n=1&Case=322. Accessed on: 16 August 2011.
- ↑ Chu et al. (2006). Adenomyoepithelioma of the Breast — A Case Report. Tzu Chi Med J. Vol. 18 No. 1. URL:URL: http://www.tzuchi.com.tw/file/tcmj/95-1/2-8.pdf. Accessed on: 28 April 2012.