Amebiasis
Jump to navigation
Jump to search
| Amebiasis | |
|---|---|
| Diagnosis in short | |
|
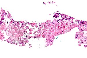
Amebiasis. H&E stain. | |
|
| |
| LM | entamoeba histolytica: round/ovoid eosinophilic bodies ~ 40-60 micrometers in maximal dimension; found in bowel lumen, usu. ingest (whole) red blood cells |
| LM DDx | fecal material, necroinflammatory debris |
| Molecular | PCR testing |
| Site | colon |
|
| |
| Associated Dx | +/-liver abscess |
| Signs | diarrhea, blood per rectum |
| Prevalence | uncommon |
| Endoscopy | colitis, mass lesion, granulation tissue-like |
| Prognosis | benign |
| Clin. DDx | colorectal carcinoma, colitis, granulation tissue |
Amebiasis, also be spelled amoebiasis, is an infectious disease, caused by the protozoan Entamoeba histolytica.
General
- Infection with Entamoeba histolytica.[1]
- May mimic colon cancer.[2]
May cause:[3]
- Dysentery (diarrhea containing mucus and/or blood in the feces).
- Colitis.
- Liver abscess.
Gross
Features:[4]
- +/-Mass.
- May mimic carcinoma.[5]
- +/-Granulation tissue-like appearance.
Microscopic
Features:
- Entamoeba histolytica are round/ovoid eosinophilic bodies ~ 40-60 micrometers in maximal dimension.
- Found in bowel lumen.
- Ingest RBCs.
Image
Stains
IHC
- Entamoeba histolytica +ve.[10]
Molecular
See also
References
- ↑ URL: http://www.health.state.ny.us/diseases/communicable/amebiasis/fact_sheet.htm. Accessed on: 17 June 2010.
- ↑ Fernandes, H.; D'Souza, CR.; Swethadri, GK.; Naik, CN.. "Ameboma of the colon with amebic liver abscess mimicking metastatic colon cancer.". Indian J Pathol Microbiol 52 (2): 228-30. PMID 19332922. http://www.ijpmonline.org/article.asp?issn=0377-4929;year=2009;volume=52;issue=2;spage=228;epage=230;aulast=Fernandes.
- ↑ Mortimer, L.; Chadee, K. (Mar 2010). "The immunopathogenesis of Entamoeba histolytica.". Exp Parasitol. doi:10.1016/j.exppara.2010.03.005. PMID 20303955.
- ↑ Stuiver, PC.; Visser, LG. (Nov 1993). "[Ameboma of the large intestine and rectum].". Ned Tijdschr Geneeskd 137 (45): 2328-31. PMID 8255341.
- ↑ Ooi, BS.; Seow-Choen, F. (Apr 2003). "Endoscopic view of rectal amebiasis mimicking a carcinoma.". Tech Coloproctol 7 (1): 51-3. doi:10.1007/s101510300008. PMID 12750955.
- ↑ Chacín-Bonilla, L. (Dec 2011). "[Microscopic diagnosis of amebiasis: an obsolete method but necessary in the developing world].". Invest Clin 52 (4): 291-4. PMID 22523839.
- ↑ URL: http://www.histopathology-india.net/amco.htm. Accessed on: 29 June 2016.
- ↑ Shetty, N.; Prabhu, T. (Jun 1988). "Evaluation of faecal preservation and staining methods in the diagnosis of acute amoebiasis and giardiasis.". J Clin Pathol 41 (6): 694-9. PMID 2454958.
- ↑ URL: http://emedicine.medscape.com/article/212029-workup. Accessed on: 29 June 2016.
- ↑ Prasad, R.; Tola, M.; Bhattacharya, S.; Sharma, MP.; Bhattacharya, A. (Dec 1992). "Recognition of Entamoeba histolytica lipophosphoglycan by a strain-specific monoclonal antibody and human immune sera.". Mol Biochem Parasitol 56 (2): 279-87. PMID 1283004.
- ↑ Zeyrek, FY.; Turgay, N.; Unver, A.; Ustün, S.; Akarca, U.; Töz, S. (2013). "Differentiation of Entamoeba histolytica/Entamoeba dispar by the polymerase chain reaction in stool samples of patients with gastrointestinal symptoms in the Sanliurfa Province.". Turkiye Parazitol Derg 37 (3): 174-8. doi:10.5152/tpd.2013.39. PMID 24192618.