Apocrine carcinoma of the breast
Jump to navigation
Jump to search
| Apocrine carcinoma of the breast | |
|---|---|
| Diagnosis in short | |
|
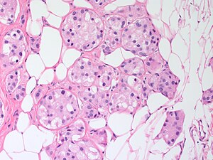
Apocrine carcinoma of the breast. H&E stain. | |
|
| |
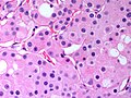
| LM | apocrine morphology (cells with prominent nucleoli - may be multiple, abundant granular eosinophilic cytoplasm) - must be >=90% of tumour, loss of basal cells |
| LM DDx | glycogen-rich clear cell carcinoma of the breast |
| IHC | AR +ve, GCDFP-15 +ve, ER -ve, PR -ve, HER2 +ve/-ve |
| Grossing notes | breast grossing |
| Staging | breast cancer staging |
| Site | breast - see invasive breast cancer |
|
| |
| Prevalence | uncommon |
| Prognosis | poor, worse the ductal carcinoma |
| Clin. DDx | other breast masses |
| Treatment | excision |
Apocrine carcinoma of the breast is a rare form of invasive breast cancer.
General
- Need >=90% apocrine morphology.[1]
- Worse prognosis that invasive ductal carcinoma of the breast in a large series.[2]
Microscopic
Features:[1]
- Prominent red nucleoli.
- Often multiple.[3]
- Abundant granular eosinophilic cytoplasm.
- Architecture like invasive ductal carcinomas no special type.
DDx:
- Glycogen-rich clear cell carcinoma of the breast.
- Cutaneous Apocrine Carcinoma
- A possible cutaneous apocrine carcinoma in a patient with a history of mammary apocrine carcinoma is problematic but fortunately a relatively infrequent conundrum.
- Apocrine-like carcinoma - immunoprolife doesn't fit for invasive AC (ER +ve, PR +ve, AR -ve).[2]
Images
www:
IHC
Smaller tumours classically:[4]
Usually:[1]
- ER -ve.
- PR -ve.
- Often HER2 +ve but can be HER2 -ve.[5]
Notes:
- Salivary duct carcinoma and cutaneous adnexal tumours can show a similar IHC profile.
- Apocrine carcioma can be a non-basal type 'triple negative carcinoma'.[6]
- May show different behaviour to other types of triple negative carcinoma.
- May respond to treatments targeting the androgen receptor.[7]
- Be careful when reading the literature in this area - is the author discussing 'molecular apocrine' (ER -ve, AR +ve) or 'morphologic apocrine' carcinoma.
- Many ductal carcinomas, NOS show AR positivity but are often ER +ve.
See also
References
- ↑ 1.0 1.1 1.2 O'Malley, Frances P.; Pinder, Sarah E. (2006). Breast Pathology: A Volume in Foundations in Diagnostic Pathology series (1st ed.). Churchill Livingstone. pp. 217. ISBN 978-0443066801.
- ↑ 2.0 2.1 Dellapasqua, S.; Maisonneuve, P.; Viale, G.; Pruneri, G.; Mazzarol, G.; Ghisini, R.; Mazza, M.; Iorfida, M. et al. (Apr 2013). "Immunohistochemically defined subtypes and outcome of apocrine breast cancer.". Clin Breast Cancer 13 (2): 95-102. doi:10.1016/j.clbc.2012.11.004. PMID 23245877.
- ↑ O'Malley, FP.; Bane, A. (Jan 2008). "An update on apocrine lesions of the breast.". Histopathology 52 (1): 3-10. doi:10.1111/j.1365-2559.2007.02888.x. PMID 18171412.
- ↑ Honma, N.; Takubo, K.; Akiyama, F.; Sawabe, M.; Arai, T.; Younes, M.; Kasumi, F.; Sakamoto, G. (Aug 2005). "Expression of GCDFP-15 and AR decreases in larger or node-positive apocrine carcinomas of the breast.". Histopathology 47 (2): 195-201. doi:10.1111/j.1365-2559.2005.02181.x. PMID 16045781.
- ↑ Niemeier, LA.; Dabbs, DJ.; Beriwal, S.; Striebel, JM.; Bhargava, R. (Feb 2010). "Androgen receptor in breast cancer: expression in estrogen receptor-positive tumors and in estrogen receptor-negative tumors with apocrine differentiation.". Mod Pathol 23 (2): 205-12. doi:10.1038/modpathol.2009.159. PMID 19898421.
- ↑ Tsutsumi, Y. (May 2012). "Apocrine carcinoma as triple-negative breast cancer: novel definition of apocrine-type carcinoma as estrogen/progesterone receptor-negative and androgen receptor-positive invasive ductal carcinoma.". Jpn J Clin Oncol 42 (5): 375-86. doi:10.1093/jjco/hys034. PMID 22450930.
- ↑ Safarpour, D.; Tavassoli, FA. (Oct 2014). "A Targetable Androgen Receptor-Positive Breast Cancer Subtype Hidden Among the Triple-Negative Cancers.". Arch Pathol Lab Med. doi:10.5858/arpa.2014-0122-RA. PMID 25310144.