Acute appendicitis
| Acute appendicitis | |
|---|---|
| Diagnosis in short | |
|
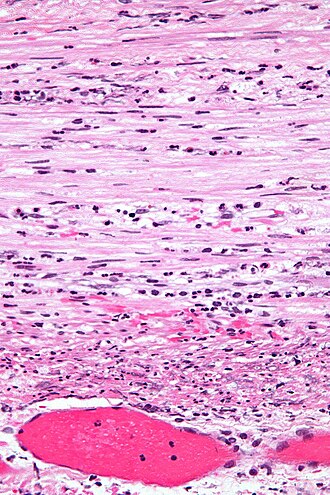
Template:Px Acute appendicitis. H&E stain. | |
|
| |
| LM | neutrophils in the muscularis propria |
| LM DDx | adenovirus appendicitis, negative appendectomy, Granulomatous appendicitis, Crohn's disease of the appendix, appendiceal neuroendocrine tumour, mucinous tumour of the appendix |
| Gross | serosal surface dull, +/-fibrinous exudate, +/-perforation |
| Site | vermiform appendix |
|
| |
| Clinical history | classically periumbilical pain then right lower quadrant pain, usu. younger patients |
| Signs | rebound tenderness, tenderness at McBurney's point, Rovsing sign, psoas sign, obturator sign |
| Prevalence | common |
| Blood work | leukocytosis |
| Radiology | periappendiceal fat stranding, increased appendiceal diameter |
| Prognosis | good |
| Clin. DDx | symptomatic Meckel diverticulum, epiploic appendagitis, ectopic pregnancy, ruptured ovarian cyst, ovarian torsion, pelvic inflammatory disease, benign fecal impaction |
Acute appendicitis, abbreviated AA, is an acute inflammation of the vermiform appendix. It is very common and keeps general surgeons busy.
General
- Bread 'n butter of general surgery.
- Interesting factoid: appendicitis is considered protective against ulcerative colitis.[1][2]
Short clinical DDx:
- GI tract:
- Symptomatic Meckel diverticulum.
- Epiploic appendagitis.
- Benign fecal impaction of the appendix.[3]
- Gynecologic tract:
- Ectopic pregnancy.
- Ruptured ovarian cyst.
- Ovarian torsion +/-ovarian tumour.
- Pelvic inflammatory disease.
Gross
Features:
- Serosal surface dull.
- May be perforated (best determined on gross).
- +/-Fibrinous exudate.
Note:
- Normal diameter of appendix (based on CT): 6.6 +/- 1.5 mm.[4]
- Similar numbers are found in another study.[5]
Image:
- Acute Appendicitis.jpg
Acute appendicitis. (WC/euthman)
Microscopic
Features:
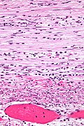
- Neutrophils in the muscularis propria - key feature.
- +/- Vascular thrombosis (and necrosis) - known as gangrenous appendicitis.[6]
- +/- Findings suggestive of etiology - usu. absent:
- +/- Fecalith.
- +/- Viral inclusions (extremely rare)
Note:
- Eosinophils are very common.[7]
- Appendices with eosinophils but no apparent neutrophils probably represent the same process.[8]
DDx:
- Negative appendectomy - specimen should be submitted in toto, no lymphoid hyperplasia.
- Adenovirus appendicitis - lymphoid hyperplasia.
- Mucinous tumour - usu. apparent on gross.
- Appendiceal neuroendocrine tumour.
- Granulomatous appendicitis.
- Crohn's disease of the appendix.
- Approximately of 40% colectomies for CD (that include an appendix) have involvement of the appendix.[9]
- Crypt cell carcinoma (goblet cell carcinoid) - may be subtle.
- Interval appendectomy - may have active inflammation - clinical history is essential to differentiate.[10]
Images
- Appendicitis - low mag.jpg
Appendicitis - low mag. (WC/Nephron)
- Appendicitis - very high mag.jpg
Appendicitis - very high mag. (WC/Nephron)
- Appendix Appendicitis PA.JPG
Acute Appendicitis(SKB)
Sign out
Vermiform Appendix, Appendectomy: - Acute appendicitis with acute periappendicitis.
Block letters
VERMIFORM APPENDIX, APPENDECTOMY: - ACUTE APPENDICITIS. - ACUTE PERIAPPENDICITIS.
VERMIFORM APPENDIX, APPENDECTOMY: - ACUTE APPENDICITIS WITH FOCAL NECROSIS OF THE APPENDICEAL WALL. - ACUTE PERIAPPENDICITIS.
Gangrenous
VERMIFORM APPENDIX, APPENDECTOMY: - GANGRENOUS APPENDICITIS. - ACUTE PERIAPPENDICITIS.
VERMIFORM APPENDIX, APPENDECTOMY: - GANGRENOUS APPENDICITIS WITH PERFORATION. - ACUTE PERIAPPENDICITIS.
VERMIFORM APPENDIX, APPENDECTOMY: - ACUTE APPENDICITIS WITH GANGRENOUS CHANGES. - ACUTE PERIAPPENDICITIS.
Perforated appendicitis
VERMIFORM APPENDIX, APPENDECTOMY: - ACUTE APPENDICITIS WITH PERFORATION AND ACUTE PERIAPPENDICITIS.
VERMIFORM APPENDIX, APPENDECTOMY: - PERFORATED ACUTE APPENDICITIS WITH ACUTE PERIAPPENDICITIS.
This is uncommon to see definitively on histology.
Micro
Gangrenous appendicitis
The sections show appendiceal wall with marked acute transmural inflammation and necrotic appendiceal wall with large collections of neutrophils. Several medium-sized blood vessels are thrombosed. A thick layer of neutrophils cover the serosal aspect.
Alternate - less developed gangrenous appendicitis
The sections show appendiceal wall with marked acute inflammation and a focally necrotic appendiceal wall with large collections of neutrophils. Intravascular fibrin is seen in medium-sized blood vessels. Clusters of neutrophils are seen on the serosal aspect.
Early appendicitis
The sections show appendiceal wall with focal acute (neutrophilic) inflammation and prominent neutrophil vessel margination. Muscularis propria eosinophils are present. Neutrophils are absent on the serosal aspect.
See also
References
- ↑ Beaugerie, L.; Sokol, H. (Aug 2009). "Appendicitis, not appendectomy, is protective against ulcerative colitis, both in the general population and first-degree relatives of patients with IBD.". Inflamm Bowel Dis. doi:10.1002/ibd.21064. PMID 19685454.
- ↑ Timmer, A.; Obermeier, F. (2009). "Reduced risk of ulcerative colitis after appendicectomy.". BMJ 338: b225. PMID 19273505.
- ↑ Park, NH.; Park, CS.; Lee, EJ.; Kim, MS.; Ryu, JA.; Bae, JM.; Song, JS. (Nov 2007). "Ultrasonographic findings identifying the faecal-impacted appendix: differential findings with acute appendicitis.". Br J Radiol 80 (959): 872-7. doi:10.1259/bjr/80553348. PMID 17875592.
- ↑ Charoensak, A.; Pongpornsup, S.; Suthikeeree, W. (Dec 2010). "Wall thickness and outer diameter of the normal appendix in adults using 64 slices multidetector CT.". J Med Assoc Thai 93 (12): 1437-42. PMID 21344807.
- ↑ Huwart, L.; El Khoury, M.; Lesavre, A.; Phan, C.; Rangheard, AS.; Bessoud, B.; Menu, Y. (Mar 2007). "[What is the thickness of the normal appendix on MDCT?].". J Radiol 88 (3 Pt 1): 385-9. PMID 17457270.
- ↑ URL: http://emedicine.medscape.com/article/363818-overview. Accessed on: 21 June 2010.
- ↑ Aravindan, KP. (Oct 1997). "Eosinophils in acute appendicitis: possible significance.". Indian J Pathol Microbiol 40 (4): 491-8. PMID 9444860.
- ↑ Aravindan, KP.; Vijayaraghavan, D.; Manipadam, MT.. "Acute eosinophilic appendicitis and the significance of eosinophil - Edema lesion.". Indian J Pathol Microbiol 53 (2): 258-61. doi:10.4103/0377-4929.64343. PMID 20551528.
- ↑ Stangl, PC.; Herbst, F.; Birner, P.; Oberhuber, G. (Apr 2002). "Crohn's disease of the appendix.". Virchows Arch 440 (4): 397-403. doi:10.1007/s004280100532. PMID 11956821.
- ↑ Malvar G, Peric M, Gonzalez RS (May 2022). "Interval appendicitis shows histological differences from acute appendicitis and may mimic Crohn disease and other forms of granulomatous appendicitis". Histopathology 80 (6): 965–973. doi:10.1111/his.14621. PMID 35076982.