Neutrophil
Jump to navigation
Jump to search
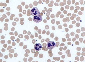
The neutrophil, AKA polymorphonucleocyte or PMN is a white blood cell. It is often seen in the context of acute inflammation.
Histology
- Little dots = the multilobular nucleus - key feature.
- Neutrophils are often found with friends, i.e. lymphocytes, plasma cells.
DDx of little dots:
- Nuclear debris - apoptotic cell.
- Apoptotic cell -- has nuclear condensation (pyknosis), eosinophilic cytoplasm.
Notes:
- You find PMNs by their nucleus; on a histologic section don't bother looking for the cell membrane (they are usually impossible to see).
- A collection of PMNs... think about necrosis and abscess.
Pathology
Hypersegmentation = megaloblastic anemia.[1]
See also
- Basics.
- Dysgranulopoiesis.
- Red blood cell.
- Chronic granulomatous disease - caused by neutrophil dysfunction.
- Eosinophil.
- Auer rods.
References
- ↑ Klatt, Edward C. (2006). Robbins and Cotran Atlas of Pathology (1st ed.). Saunders. pp. 63. ISBN 978-1416002741.