Aspiration pneumonia

From Libre Pathology
Jump to navigation Jump to search

Aspiration pneumonia is a type of pneumonia.

A special type of aspiration pneumonia is lipoid pneumonia. It is dealt with in the lipoid pneumonia article.

General

  • Not associated with microorganisms - though empiric antibiotics are relatively common to cover infectious pneumonias that cannot be excluded easily on clinical grounds.[1]
  • Usually seen in the context of a toxin and/or pathology that affects the swallowing and cough reflexes.[2]

Common associations:[2]

Other risk factors:[1]

  • Traumatic brain injury.
  • Seizure disorder.
  • Bowel obstruction.
  • Drugs.
  • Obesity.
  • Labour.

Gross

  • More common in the right lung.
    • Right main stem bronchus is more vertical.

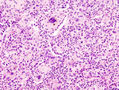
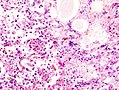
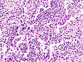
Microscopic

Features:

  • Neutrophils.
  • Foreign material, e.g. plant matter.
  • +/-Foreign body giant cells.
  • +/-Microorganisms.

DDx:

Images

See also

References

  1. 1.0 1.1 Raghavendran, K.; Nemzek, J.; Napolitano, LM.; Knight, PR. (Apr 2011). "Aspiration-induced lung injury.". Crit Care Med 39 (4): 818-26. doi:10.1097/CCM.0b013e31820a856b. PMID 21263315.
  2. 2.0 2.1 Ohrui, T. (Sep 2005). "Preventive strategies for aspiration pneumonia in elderly disabled persons.". Tohoku J Exp Med 207 (1): 3-12. PMID 16082150.