Asteroid bodies
Jump to navigation
Jump to search
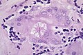
Asteroid bodies in sarcoidosis. (WC/Nephron)
Asteroid bodies is an uncommon cytoplasmic bodies seen in giant cells[1] and classically associated with sarcoidosis.
Pathology with asteroid bodies
- Sarcoidosis.
- Foreign body reactions.[2]
- Sporotrichosis.[3]
Images
See also
References
- ↑ Jorns, JM.; Knoepp, SM. (Jan 2011). "Asteroid bodies in lymph node cytology: infrequently seen and still mysterious.". Diagn Cytopathol 39 (1): 35-6. doi:10.1002/dc.21301. PMID 20049975.
- ↑ Gadde, PS.; Moscovic, EA. (Oct 1994). "Asteroid bodies: products of unusual microtubule dynamics in monocyte-derived giant cells. An immunohistochemical study.". Histol Histopathol 9 (4): 633-42. PMID 7894135.
- ↑ Rodríguez, G.; Sarmiento, L. (Jun 1998). "The asteroid bodies of sporotrichosis.". Am J Dermatopathol 20 (3): 246-9. PMID 9650696.