Cardiac myxoma
(Redirected from Atrial myxoma)
Jump to navigation
Jump to search
| Cardiac myxoma | |
|---|---|
| Diagnosis in short | |
|
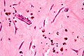
Atrial myxoma. H&E stain. | |
|
| |
| LM | myxoid material (extra cellular), myxoma cells (stellate, polygonal or spindled morphology; +/-multinucleated, inconspicuous nucleoli; abundant cytoplasm), calcified elastic fibers (gamna bodies), +/-hemorrhage, +/-endothelial covering, +/-ossification, +/-fibrosis |
| LM DDx | myxofibrosarcoma, myxoid liposarcoma, papillary fibroelastoma |
| Gross | usu. atrium, usu. left side, classically projects into the lumen |
| Site | heart |
|
| |
| Symptoms | +/-dyspnea, +/-neurologic symptoms |
| Prevalence | most common heart tumour, generally uncommon |
| Clin. DDx | other heart tumours |
| Cardiac myxoma | |
|---|---|
| External resources | |
| Wikipedia | atrial myxoma |
| Rosai Collection | 1267 |
Cardiac myxoma is the most common tumour of the heart. They are typical in the atrium; thus, a synonym is atrial myxoma.
General
- Uncommon.
- Clinical: may lead to cerebral infarction.[1]
- Diagnosed by imaging.
- May be familial, i.e. Carney complex (AKA NAME syndrome, AKA LAMB syndrome).[2]
- NAME = Nevi, Atrial myxoma, Myxoid neurofibroma, and Ephelides (freckles[3]).
- LAMB = Lentigines, Atrial myxomas, Mucocutaneous myxomas, Blue nevi.
Most common presentations:[1]
- Dyspnea - 45%.
- Neurologic symptoms 36%.
Gross
Location:[1]
- Usually atrial.
- Usually left side ~60%.[4]
Features:[4]
- Lobular surface.
- Smooth surface.
Image
Microscopic
Features:[4]
- Myxoid material - extra cellular - key feature.
- Myxoma cells:[5]
- Stellate, polygonal or spindled morphology.
- +/-Multinucleated.
- Inconspicuous nucleoli.
- Abundant cytoplasm.
- Calcified elastic fibers - gamna bodies.
- Hemorrhage common.
- Often covered by endothelium.
- +/-Ossification.
- +/-Fibrosis.
DDx:[6]
- Papillary fibroelastoma - not really in the histomorphologic differential diagnosis.
- Myxofibrosarcoma - nuclear pleomorphism.
- Myxoid liposarcoma - chickenwire vasculature.
Images
www
Sign out
MASS, LEFT ATRIUM, EXCISION: - MYXOMA.
Micro
The sections show paucicellular myxoid material containing polygonal and spindled cells with eosinophilic myxoid cytoplasm, bland nuclei, inconspicuous nucleoli and focal multinucleation (myxoma cells). Hemosiderin-laden macrophages, calcified elastic fibres (gamna bodies) and scattered inflammatory cells are also present. There is no nuclear atypia. Mitotic activity is not evident. Several sections show fresh hemorrhage. The edge has a fibrotic rim and appears to be covered by endothelium. No cardiac muscle is identified.
See also
References
- ↑ 1.0 1.1 1.2 Knepper LE, Biller J, Adams HP, Bruno A (November 1988). "Neurologic manifestations of atrial myxoma. A 12-year experience and review". Stroke 19 (11): 1435-40. PMID 3188128. http://stroke.ahajournals.org/cgi/reprint/19/11/1435.
- ↑ Humphrey, Peter A; Dehner, Louis P; Pfeifer, John D (2008). The Washington Manual of Surgical Pathology (1st ed.). Lippincott Williams & Wilkins. pp. 135. ISBN 978-0781765275.
- ↑ URL: http://emedicine.medscape.com/article/1119293-overview. Accessed on: 7 January 2011.
- ↑ 4.0 4.1 4.2 4.3 4.4 Grebenc ML, Rosado-de-Christenson ML, Green CE, Burke AP, Galvin JR (2002). "Cardiac myxoma: imaging features in 83 patients". Radiographics 22 (3): 673-89. PMID 12006696. http://radiographics.rsna.org/content/22/3/673.long.
- ↑ Orlandi, A.; Ciucci, A.; Ferlosio, A.; Genta, R.; Spagnoli, LG.; Gabbiani, G. (Jun 2006). "Cardiac myxoma cells exhibit embryonic endocardial stem cell features.". J Pathol 209 (2): 231-9. doi:10.1002/path.1959. PMID 16508920.
- ↑ Tadrous, Paul.J. Diagnostic Criteria Handbook in Histopathology: A Surgical Pathology Vade Mecum (1st ed.). Wiley. pp. 79. ISBN 978-0470519035.