Liposarcoma

From Libre Pathology
(Redirected from Myxoid liposarcoma)
Jump to navigation Jump to search
Liposarcoma
Diagnosis in short

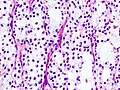
Liposarcoma. H&E stain.

LM lipoblasts - key feature, chicken wire-like vascular, +/-myxoid background, cell size variation, thick fibrous septa (important low power feature)
Subtypes dedifferentiated liposarcoma, myxoid liposarcoma (includes round cell liposarcoma), mixed-type liposarcoma, pleomorphic liposarcoma, liposarcoma not otherwise specified (NOS), spindle cell liposarcoma
LM DDx pleomorphic undifferentiated sarcoma
IHC S-100 +ve
Molecular t(12;16)(q13;p11) / TLS-CHOP -- for myxoid liposarcoma
Site soft tissue esp. retroperiteoneum

Prevalence most common retroperitoneal sarcoma, uncommon overall
Blood work D-dimer elevated
Radiology thick septae or nodules in a fatty appearing lesion
Prognosis poor

Liposarcoma is a malignant adipocytic tumour.

General

  • Most common malignant sarcoma in the retroperitoneum.
  • Not all (large) retroperitoneal adipocytic tumours are liposarcomas.
  • Prognosis - dependent on the location.
    • Retroperitoneal: poor.
    • Extremity: good - disease specific 5-year survival ~ 92%.[1]
    • D-dimer (serum) useful; elevated levels in keeping with liposarcoma.
      • Cut-off value 0.41 μg/ml for metastasis: sensitivity 0.83 and specificity 0.57.[2]
      • Cut-off value 0.80 μg/ml for total survival: sensitivity 0.80 and specificity 0.75.[2]

Notes:

Gross

  • Thick fibrous septa

Radiology:[3]

  • Fibrous septa or nodules.[4]
  • Myoid liposarcoma - high signal (due to high water content).[4]

Microscopic

Features:

  • Lipoblasts - key feature.
    • Large sharply demarcated vacuole.
    • Nucleus:
      • Hyperchromatic (dark staining) nucleus.
      • Eccentric location.
      • Nuclear indentation.
  • Chicken wire-like vascular.
  • +/-Myxoid background.
  • Cell size variation.
  • Thick fibrous septa - important low power feature.[3]

DDx:

Images

www:

Subtypes

Main subtypes:[5]

  • Dedifferentiated liposarcoma.
  • Myxoid liposarcoma.
    • Round cell liposarcoma - a subtype of myxoid liposarcoma[6] that has a worse prognosis;[7] characterized by regions of high cellularity.
  • Mixed-type liposarcoma.
  • Pleomorphic liposarcoma.
  • Liposarcoma not otherwise specified (NOS).

Additional reported type:

  • Spindle cell liposarcoma.[8]

Myxoid liposarcoma

  • AKA myxoid/round cell liposarcoma.
  • AKA round cell liposarcoma.
Gross

Location:[9]

  • 90% in lower limb.
  • 81% deep.
Microscopic

Features:

  • Chickenwire-type blood vessels.
  • Clear spaces.
  • Adipocytes - may be rare.

DDx:

Images:

Molecular

Typically has a translocation:

Dedifferentiated liposarcoma

  • Has an undifferentiated component that, if seen alone, would be diagnosed as pleomorphic undifferentiated sarcoma.
  • The diagnosis depends on the presence of the differentiated component of the tumour, i.e. the presence of lipoblasts.

IHC

  • MDM2 +ve.[13]
  • CDK4 +ve.[13]
  • S-100 +ve ~1/3 of the time.

See also

References

  1. Lietman, SA.; Barsoum, WK.; Goldblum, JR.; Marks, KE.; Mascha, E.; Sundaram, M.; Muschler, G. (Mar 2007). "A 20-year retrospective review of surgically treated liposarcoma at the Cleveland Clinic.". Orthopedics 30 (3): 227-34. PMID 17375550.
  2. 2.0 2.1 Morii T, Mochizuki K, Tajima T, Ichimura S, Satomi K (November 2011). "D-dimer levels as a prognostic factor for determining oncological outcomes in musculoskeletal sarcoma". BMC Musculoskelet Disord 12: 250. doi:10.1186/1471-2474-12-250. PMC 3226444. PMID 22044610. https://www.ncbi.nlm.nih.gov/pmc/articles/PMC3226444/.
  3. 3.0 3.1 Hosono, M.; Kobayashi, H.; Fujimoto, R.; Kotoura, Y.; Tsuboyama, T.; Matsusue, Y.; Nakamura, T.; Itoh, T. et al. (Mar 1997). "Septum-like structures in lipoma and liposarcoma: MR imaging and pathologic correlation.". Skeletal Radiol 26 (3): 150-4. PMID 9108224.
  4. 4.0 4.1 4.2 Murphey, MD.; Arcara, LK.; Fanburg-Smith, J.. "From the archives of the AFIP: imaging of musculoskeletal liposarcoma with radiologic-pathologic correlation.". Radiographics 25 (5): 1371-95. doi:10.1148/rg.255055106. PMID 16160117.
  5. Humphrey, Peter A; Dehner, Louis P; Pfeifer, John D (2008). The Washington Manual of Surgical Pathology (1st ed.). Lippincott Williams & Wilkins. pp. 601. ISBN 978-0781765275.
  6. Smith, TA.; Easley, KA.; Goldblum, JR. (Feb 1996). "Myxoid/round cell liposarcoma of the extremities. A clinicopathologic study of 29 cases with particular attention to extent of round cell liposarcoma.". Am J Surg Pathol 20 (2): 171-80. PMID 8554106.
  7. Conyers, R.; Young, S.; Thomas, DM. (2011). "Liposarcoma: molecular genetics and therapeutics.". Sarcoma 2011: 483154. doi:10.1155/2011/483154. PMID 21253554.
  8. Dei Tos, AP.; Mentzel, T.; Newman, PL.; Fletcher, CD. (Sep 1994). "Spindle cell liposarcoma, a hitherto unrecognized variant of liposarcoma. Analysis of six cases.". Am J Surg Pathol 18 (9): 913-21. PMID 8067512.
  9. Moreau, LC.; Turcotte, R.; Ferguson, P.; Wunder, J.; Clarkson, P.; Masri, B.; Isler, M.; Dion, N. et al. (Apr 2012). "Myxoid\Round Cell Liposarcoma (MRCLS) Revisited: An Analysis of 418 Primarily Managed Cases.". Ann Surg Oncol 19 (4): 1081-1088. doi:10.1245/s10434-011-2127-z. PMID 22052112.
  10. Sung, MS.; Kang, HS.; Suh, JS.; Lee, JH.; Park, JM.; Kim, JY.; Lee, HG.. "Myxoid liposarcoma: appearance at MR imaging with histologic correlation.". Radiographics 20 (4): 1007-19. doi:10.1148/radiographics.20.4.g00jl021007. PMID 10903690.
  11. Knight, JC.; Renwick, PJ.; Dal Cin, P.; Van den Berghe, H.; Fletcher, CD. (Jan 1995). "Translocation t(12;16)(q13;p11) in myxoid liposarcoma and round cell liposarcoma: molecular and cytogenetic analysis.". Cancer Res 55 (1): 24-7. PMID 7805034.
  12. Suzuki, K.; Matsui, Y.; Endo, K.; Kubo, T.; Hasegawa, T.; Kimura, T.; Ohtani, O.; Yasui, N. (Nov 2010). "Myxoid liposarcoma with EWS-CHOP type 1 fusion gene.". Anticancer Res 30 (11): 4679-83. PMID 21115923.
  13. 13.0 13.1 Mariño-Enríquez, A.; Hornick, JL.; Dal Cin, P.; Cibas, ES.; Qian, X. (Feb 2014). "Dedifferentiated liposarcoma and pleomorphic liposarcoma: a comparative study of cytomorphology and MDM2/CDK4 expression on fine-needle aspiration.". Cancer Cytopathol 122 (2): 128-37. doi:10.1002/cncy.21362. PMID 24227706.