Ballooning degeneration
Jump to navigation
Jump to search
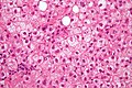
Ballooning degeneration. H&E stain. (WC)
Ballooning degeneration is a histomorphologic change seen in liver pathology. It is indicative of steatohepatitis.[1]
General
- A form of apoptosis.[2]
- Fatty change without ballooning degeneration is steatosis.
- Typically seen in the context of obesity or alcohol.
Microscopic
Features:
- Central nucleus.
- "Fat cells" have peripheral nucleus.
- Cytoplasm cleared with "whisps" or cobbwebs.
- Large relative to normal hepatocyte.
- 2-3X normal size.[3]
Notes:
- The term is used only in conjunction with steatohepatitis.
- Feathery degeneration is the term used in the context of cholestasis.
- It is usually periportal.
DDx:
- Feathery degeneration - has a similar morphology; however, noticeable (yellow) bile is present.
Images
www:
See also
References
- ↑ Liangpunsakul, S; Chalasani, N (Dec 2003). "Treatment of Nonalcoholic Fatty Liver Disease.". Curr Treat Options Gastroenterol 6 (6): 455-463. PMID 14585234.
- ↑ Yip, WW; Burt, AD (2006). "Alcoholic liver disease.". Semin Diagn Pathol 23 (3-4): 149–60. doi:10.1053/j.semdp.2006.11.002. PMID 17355088.
- ↑ Guindi, M. 16 September 2009.