Bizarre parosteal osteochondromatous proliferation
Jump to navigation
Jump to search
| Bizarre parosteal osteochondromatous proliferation | |
|---|---|
| Diagnosis in short | |
|
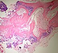
Bizarre parosteal osteochondromatous proliferation. H&E stain. | |
|
| |
| Synonyms | Nora lesion |
|
| |
| LM | disorganized cellular cartilage with a blue tint and patchy ossification matures into disorganized bone, proliferation of fibroblasts surrounds the bone/cartilage and occupies the intertrabecular spaces |
| LM DDx | periosteal chondrosarcoma, periosteal chondroma, low grade parosteal osteosarcoma, osteochondroma |
| Site | bone (see chondro-osseous tumours) - hands and feet |
|
| |
| Prevalence | rare |
| Prognosis | benign/locally aggressive |
Bizarre parosteal osteochondromatous proliferation, also known as Nora lesion, is a distinctive rare lesion of the hand or foot.[1]
General
A distinctive osteochondromatous proliferation of hands and feet.
Population:
- Young adults.
- Typically age (years) 20s and 30s.[1]
Prognosis:
- Benign.
- Locally aggressive.
Location
- Hands and feet.
Radiology
- Marginated wide based bony growth projecting into the soft tissues.[2]
Gross
- Nodule covered with glistening cartilage.
Microscopic
Features:
- Disorganized cellular cartilage with a blue tint and patchy ossification matures into disorganized bone. *Proliferation of fibroblasts surrounds the lesion and occupies intertrabecular spaces.
DDx:
- Periosteal chondrosarcoma.
- Periosteal chondroma.
- Low grade parosteal osteosarcoma.
- Osteochondroma.
Images
www:
Diagnostic categories
- Cartilaginous neoplasms.
- Osteocartilaginous neoplasms.
Molecular
- t(1:17)(q32;q21).[3]
Sign out
- BIZARRE PAROSTEAL OSTEOCHONDROMATOUS PROLIFERATION (NORA LESION).
- APPROPRIATE MARGIN STATEMENT.
See also
References
- ↑ 1.0 1.1 Gruber, G.; Giessauf, C.; Leithner, A.; Zacherl, M.; Clar, H.; Bodo, K.; Windhager, R. (Dec 2008). "Bizarre parosteal osteochondromatous proliferation (Nora lesion): a report of 3 cases and a review of the literature.". Can J Surg 51 (6): 486-9. PMID 19057740.
- ↑ URL: http://radiopaedia.org/articles/bizarre-parosteal-osteochondromatous-proliferation. Accessed on: 29 November 2014.
- ↑ Kuruvilla, S.; Marco, R.; Raymond, AK.; Al-Ibraheemi, A.; Tatevian, N. (2011). "BizarreParosteal Osteochondromatous Proliferation (Nora's lesion) with translocation t(1;17)(q32;q21): a case report and role of cytogenetic studies on diagnosis.". Ann Clin Lab Sci 41 (3): 285-7. PMID 22075515.