Brown fat

From Libre Pathology
Jump to navigation Jump to search
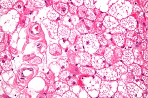
Micrograph of a hibernoma, a tumour thought to arise from brown fat. H&E stain.

Brown fat is a type of adipose tissue.

General

  • Brown fat gradually disappears with age.[1]
  • May form a tumour - that has the imaginative name tumour of brown fat and is also known as hibernoma.

Gross

  • Brown.

Typical locations:[1]

  • Cervical-supraclavicular.
  • Periaortic - both thorax and the abdomen.
  • Perirenal.

See also

References

  1. 1.0 1.1 Zoico E, Rubele S, De Caro A, Nori N, Mazzali G, Fantin F, Rossi A, Zamboni M (2019). "Brown and Beige Adipose Tissue and Aging". Front Endocrinol (Lausanne) 10: 368. doi:10.3389/fendo.2019.00368. PMC 6595248. PMID 31281288. https://www.ncbi.nlm.nih.gov/pmc/articles/PMC6595248/.