Burkitt lymphoma

From Libre Pathology
Jump to navigation Jump to search
Burkitt lymphoma
Diagnosis in short

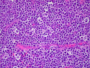
Starry-sky pattern. H&E stain.

LM medium-sized lymphoid cells of uniform size with abundant cytoplasm, interspersed macrophages
Subtypes endemic, non-endemic, immunodeficiency associated
LM DDx DLBCL, intermediate DLBCL/BL
IHC CD20+, CD10+, BCL6+, EBER+, Ki-67 (100%)
Molecular t(8;14) (q24;q32) + others
Site lymph node

Associated Dx +/-EBV infection, +/-HIV infection
Clinical history very rapid growth
Prevalence uncommon

Burkitt lymphoma, abbreviated BL, is an uncommon lymphoma with medium-sized cells.

General

  • Extremely high proliferative rate & rate of apoptosis
  • Rare in adults -- 1-2% of adult lymphomas.[1]
  • Relatively common in children -- 30-50% of childhood lymphomas.[1]
  • Although aggressive untreated, the high mitotic activity makes it relatively chemosensitive and complete remissions of 75-90% are described

Pathophysiology

  • Origin cell: germinal centre B cells (favoured) vs. memory B cells.[2]

Subtypes

  • Three subtypes recognized:[2]
  1. Endemic:
  2. Non-endemic/sporadic:
    • Typical of the BL seen in the western world; EBV negative.
  3. Immunodeficiency associated:
    • Associated with HIV infection.
    • Post-transplantation immunosuppression

Microscopic

Features:

  • "Starry-sky pattern":
    • The stars in the pattern are: tingible-body macrophages.
      • Tingible-body macrophages = macrophages containing apoptotic tumour cells.
    • The tumour cells are the sky.
  • Tumour cells:[2]
    • Medium-sized (~1.5-2x the size of a RBC) with uniform size ("monotonous") -- key feature.
    • Round nucleus.
    • Small nucleoli.
    • Relatively abundant cytoplasm.
    • Brisk mitotic rate (near 100%).

DDx:

  • DLBCL.
  • B cell lymphoma unclassifiable with features intermediate between DLBCL and Burkitt lymphoma.[3]
    • May be referred to as intermediate DLBCL/BL.[4]

Images

www:

Cytology

Features:

  • Medium-sized lymphoid cells with small lipid vacuoles (~1-2 micrometers).[5]

Image:

IHC

Features:

  • CD20 +ve.
  • CD10 +ve.
  • BCL6 +ve.
  • EBER +ve.
  • Ki-67 ~100%.

Others:

  • BCL2 -ve (may show weak BCL2

Molecular pathology

  • Isolated CMYC-IGH translocation - t(8;14) (q24;q32).[2]
  • Several other variants -- involve MYC rearrangement with other partners.[2][1]
  • Should not have CCND1, BCL6 or BCL2 translocations

Note:

  • MYC rearrangement is typically assessed with an ISH break apart probe.

See also

References

  1. 1.0 1.1 1.2 Online 'Mendelian Inheritance in Man' (OMIM) 113970
  2. 2.0 2.1 2.2 2.3 2.4 2.5 Bellan C, Lazzi S, De Falco G, Nyongo A, Giordano A, Leoncini L (March 2003). "Burkitt's lymphoma: new insights into molecular pathogenesis". J. Clin. Pathol. 56 (3): 188–92. PMC 1769902. PMID 12610094. http://jcp.bmj.com/cgi/pmidlookup?view=long&pmid=12610094.
  3. Carbone, A.; Gloghini, A.; Aiello, A.; Testi, A.; Cabras, A. (May 2010). "B-cell lymphomas with features intermediate between distinct pathologic entities. From pathogenesis to pathology.". Hum Pathol 41 (5): 621-31. doi:10.1016/j.humpath.2009.10.027. PMID 20398809.
  4. Ahn, JY.; Seo, YH.; Park, PW.; Kim, KH.; Park, MJ.; Jeong, JH.; Park, SH.; Song, YH. (Mar 2012). "A case of B-cell lymphoma, unclassifiable, with features intermediate between diffuse large B-cell lymphoma and Burkitt lymphoma in a Korean child.". Ann Lab Med 32 (2): 162-6. doi:10.3343/alm.2012.32.2.162. PMID 22389885.
  5. Troxell, ML.; Bangs, CD.; Cherry, AM.; Natkunam, Y.; Kong, CS. (Oct 2005). "Cytologic diagnosis of Burkitt lymphoma.". Cancer 105 (5): 310-8. doi:10.1002/cncr.21307. PMID 15986398.