CD10
Jump to navigation
Jump to search
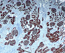
CD10 staining in normal kidney.
CD10 is a commonly used immunostain.
Positive
Benign
- Benign liver.[1]
- Endometriosis - stains the stroma.[2]
- Germinal center B cells in benign lymphoid tissue.[3]
Lymphoma
Other tumours
- Clear cell renal cell carcinoma.
- Hepatocellular carcinoma.[1]
- Endometrial stromal sarcoma.
- Solid pseudopapillary tumour.
Variable
- Tumours of adrenal gland.[4]
Negative
See also
References
- ↑ 1.0 1.1 Lin, F.; Abdallah, H.; Meschter, S. (Feb 2004). "Diagnostic utility of CD10 in differentiating hepatocellular carcinoma from metastatic carcinoma in fine-needle aspiration biopsy (FNAB) of the liver.". Diagn Cytopathol 30 (2): 92-7. doi:10.1002/dc.10419. PMID 14755758.
- ↑ Tadrous, Paul.J. Diagnostic Criteria Handbook in Histopathology: A Surgical Pathology Vade Mecum (1st ed.). Wiley. pp. 236. ISBN 978-0470519035.
- ↑ Almasri NM, Iturraspe JA, Braylan RC (June 1998). "CD10 expression in follicular lymphoma and large cell lymphoma is different from that of reactive lymph node follicles". Arch Pathol Lab Med 122 (6): 539–44. PMID 9625422.
- ↑ Mete, O.; Kapran, Y.; Güllüoğlu, MG.; Kiliçaslan, I.; Erbil, Y.; Senyürek, YG.; Dizdaroğlu, F. (May 2010). "Anti-CD10 (56C6) is expressed variably in adrenocortical tumors and cannot be used to discriminate clear cell renal cell carcinomas.". Virchows Arch 456 (5): 515-21. doi:10.1007/s00428-010-0901-0. PMID 20390424.