CDX2
Jump to navigation
Jump to search
| CDX2 | |
|---|---|
| Immunostain in short | |
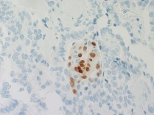
|
CDX2 immunostaining in the papillary thyroid carcinoma cribriform morular variant. | |
| Abbreviation | CDX2 |
| Normal staining pattern | nuclear |
| Positive | colorectal adenocarcinoma, small bowel adenocarcinoma, yolk sac tumour, ovarian mucinous adenocarcinoma |
| Negative | lung adenocarcinoma |
CDX2 is a commonly used immunostain in pathology. It is a nuclear stain.
Normal
Pathology
Positive
- Intestinal adenocarcinomas.
- Colorectal adenocarcinoma ~ 90% of cases.[2]
- Neuroendocrine tumours.[3]
Sometimes positive
- Stomach adenocarcinoma ~20-30% of cases.[2]
- Esophageal adenocarcinoma ~20-30% of cases.[2]
- Ovarian mucinous adenocarcinoma[1] ~20-30% of cases.[2]
- Endometrioid endometrial adenocarcinoma ~20-30% of cases.[2]
- Yolk sac tumour (8 +ve of 20 cases[4]).
- Small bowel adenocarcinoma +ve/-ve (~43% +ve in series of 189 cases[5]).
Negative
- Lung adenocarcinoma -ve.
- Choroid plexus papillomas -ve (0 in 65 cases[8]).
- Pituitary adenoma & Craniopharyngioma (0 in 75 and 0 in 23 cases [9]).
References
- ↑ 1.0 1.1 Groisman, GM.; Meir, A.; Sabo, E. (Jan 2004). "The value of Cdx2 immunostaining in differentiating primary ovarian carcinomas from colonic carcinomas metastatic to the ovaries.". Int J Gynecol Pathol 23 (1): 52-7. doi:10.1097/01.pgp.0000101141.31270.a0. PMID 14668551.
- ↑ 2.0 2.1 2.2 2.3 2.4 2.5 Moskaluk, CA.; Zhang, H.; Powell, SM.; Cerilli, LA.; Hampton, GM.; Frierson, HF. (Sep 2003). "Cdx2 protein expression in normal and malignant human tissues: an immunohistochemical survey using tissue microarrays.". Mod Pathol 16 (9): 913-9. doi:10.1097/01.MP.0000086073.92773.55. PMID 13679455.
- ↑ Erickson LA, Papouchado B, Dimashkieh H, Zhang S, Nakamura N, Lloyd RV (2004). "Cdx2 as a marker for neuroendocrine tumors of unknown primary sites". Endocr Pathol 15 (3): 247–52. doi:10.1385/ep:15:3:247. PMID 15640551.
- ↑ Bing, Z.; Pasha, T.; Tomaszewski, JE.; Zhang, P. (Oct 2009). "CDX2 expression in yolk sac component of testicular germ cell tumors.". Int J Surg Pathol 17 (5): 373-7. doi:10.1177/1066896909338598. PMID 19578052.
- ↑ Jun, SY.; Eom, DW.; Park, H.; Bae, YK.; Jang, KT.; Yu, E.; Hong, SM. (Mar 2014). "Prognostic significance of CDX2 and mucin expression in small intestinal adenocarcinoma.". Mod Pathol. doi:10.1038/modpathol.2014.36. PMID 24603585.
- ↑ Tanaka, S.; Saito, K.; Ito, T.; Tajima, K.; Mogi, A.; Shitara, Y.; Sano, T.; Kuwano, H. (Jul 2007). "CDX2 as a useful marker of colorectal adenocarcinoma metastases to lung in pre-operative biopsy specimens.". Oncol Rep 18 (1): 87-92. PMID 17549351.
- ↑ Cowan, ML.; Li, QK.; Illei, PB. (Jan 2016). "CDX-2 Expression in Primary Lung Adenocarcinoma.". Appl Immunohistochem Mol Morphol 24 (1): 16-9. doi:10.1097/PAI.0000000000000250. PMID 26469326.
- ↑ Beschorner, R.; Mittelbronn, M.; Mugler, M.; Meyermann, R.; Schittenhelm, J. (Dec 2009). "Immunohistochemical analysis of CDX2 expression in normal choroid plexus epithelium and choroid plexus tumors.". Histol Histopathol 24 (12): 1507-14. PMID 19795349.
- ↑ Schittenhelm, J.; Psaras, T.; Meyermann, R.; Honegger, J.; Beschorner, R. (2010). "Pituitary adenomas and craniopharyngiomas are CDX2 negative neoplasms.". Folia Neuropathol 48 (2): 75-80. PMID 20602288.