Clear cell carcinoma

From Libre Pathology
(Redirected from Clear cell adenocarcinoma)
Jump to navigation Jump to search
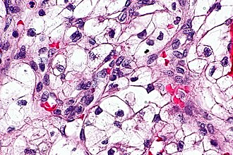
Clear cell renal cell carcinoma, a common carcinoma with clear cells. H&E stain.

Clear cell carcinoma, also clear cell adenocarcinoma, is an aggressive uncommon malignancy seen in the gynecologic tract, skin and elsewhere.

A broader differential diagnosis for clear cell tumours is found in the clear cell tumours article.

Gynecologic pathology

Ovary

See Clear cell carcinoma of the ovary.

Cervix

See Clear cell carcinoma of the uterine cervix.

Vagina

See Clear cell carcinoma of the vagina.

Skin

Gastrointestinal pathology

Clear cell variant of hepatocellular carcinoma

Morphologically, it may be similar to clear cell renal cell carcinoma.[2]

Genitourinary pathology

Urinary bladder

See Clear cell carcinoma of the urinary bladder.

Urethra

See Clear cell adenocarcinoma of the urethra.

Renal cell carcinoma

These aren't always grouped with clear cell carcinoma... but they have clear cell in the name:

Among others, clear cells may be seen in:

Head and neck pathology

Salivary gland

See also

References

  1. Sarma, DP.; Olson, D.; Olivella, J.; Harbert, T.; Wang, B.; Ortman, S. (2011). "Clear cell Basal cell carcinoma.". Patholog Res Int 2011: 386921. doi:10.4061/2011/386921. PMID 21559201.
  2. Murakata, LA.; Ishak, KG.; Nzeako, UC. (Aug 2000). "Clear cell carcinoma of the liver: a comparative immunohistochemical study with renal clear cell carcinoma.". Mod Pathol 13 (8): 874-81. doi:10.1038/modpathol.3880156. PMID 10955454.
  3. Wang, B.; Brandwein, M.; Gordon, R.; Robinson, R.; Urken, M.; Zarbo, RJ. (Jun 2002). "Primary salivary clear cell tumors--a diagnostic approach: a clinicopathologic and immunohistochemical study of 20 patients with clear cell carcinoma, clear cell myoepithelial carcinoma, and epithelial-myoepithelial carcinoma.". Arch Pathol Lab Med 126 (6): 676-85. doi:10.1043/0003-9985(2002)1260676:PSCCTA2.0.CO;2. PMID 12033955.