Collagenous gastritis
Jump to navigation
Jump to search
| Collagenous gastritis | |
|---|---|
| Diagnosis in short | |
|
| |
|
| |
| LM | collagen band in superficial lamina propria |
| LM DDx | amyloidosis of the stomach, signet ring cell carcinoma |
| Stains | trichrome stain - demonstrate collagen |
| Site | stomach |
|
| |
| Associated Dx | celiac sprue (in adults), collagenous colitis (in adults) |
| Symptoms | +/-dyspepsia |
| Prevalence | extremely rare |
| Blood work | +/-anemia |
Collagenous gastritis is an extremely rare pathology of the stomach. It is seen in children and adults.
General
Clinical
children:[3]
- Dyspepsia or anemia.
- Chronic.
Adults:[2]
- Loose stools.
- Associated with celiac sprue or collagenous colitis.
Gross
- Discoloured depression - focal.[1] (???)
Microscopic
Features:
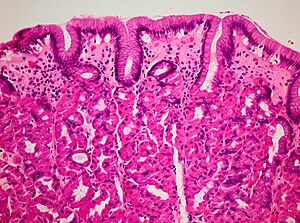
- Band of eosinophilic material (collagen) expands superficial lamina propria.[1]
- Band of collagen must be as thick as RBC diameter.
DDx:
Images
Stains
- Trichrome stain - highlights collagen.
See also
References
- ↑ 1.0 1.1 1.2 1.3 Jin, X.; Koike, T.; Chiba, T.; Kondo, Y.; Ara, N.; Uno, K.; Asano, N.; Iijima, K. et al. (Sep 2013). "Collagenous gastritis.". Dig Endosc 25 (5): 547-9. doi:10.1111/j.1443-1661.2012.01391.x. PMID 23363075.
- ↑ 2.0 2.1 Brain, O.; Rajaguru, C.; Warren, B.; Booth, J.; Travis, S. (Dec 2009). "Collagenous gastritis: reports and systematic review.". Eur J Gastroenterol Hepatol 21 (12): 1419-24. doi:10.1097/MEG.0b013e32832770fa. PMID 19730387.
- ↑ Hijaz, NM.; Septer, SS.; Degaetano, J.; Attard, TM. (Mar 2013). "Clinical outcome of pediatric collagenous gastritis: case series and review of literature.". World J Gastroenterol 19 (9): 1478-84. doi:10.3748/wjg.v19.i9.1478. PMID 23538318.