Cystic nephroma, adult type
Jump to navigation
Jump to search
| Cystic nephroma, adult type | |
|---|---|
| Diagnosis in short | |
|
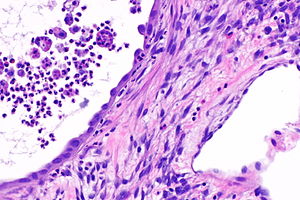
Micrograph of cystic nephroma (adult type) showing the characteristic stroma and hobnailed epithelium. H&E stain. | |
|
| |
| Synonyms | mixed epithelial and stromal tumour family (term recommended in WHO 2016 classification) |
|
| |
| LM | cysts lined by simple epithelium with hobnailing, stroma has an ovarian look (blue, spindle cells) |
| Subtypes | on a spectrum with mixed epithelial stromal tumour |
| LM DDx | localized cystic disease of the kidney |
| IHC | ER +ve, PR +ve, CD10 +ve |
| Gross | bubble wrap-like appearance |
| Site | kidney - see kidney tumours |
|
| |
| Prevalence | rare |
| Prognosis | benign |
| Clin. DDx | other cystic kidney tumours |
Cystic nephroma, adult type is a rare, benign kidney tumour.
Pathologically, cystic nephroma, adult type is separated from cystic nephroma, pediatric type by DICER1 mutations.
In the 2016 World Health Organization classification of renal neoplasia, this tumour was lumped with mixed epithelial and stromal tumour and the recommended term mixed epithelial and stromal tumour family.[1]
Turbiner et al.[2] came-up with a cheeky term for the the tumour family (renal epithelial and stromal tumour, abbreviated REST) that didn't catch on.
General
- Rare.[3]
- Good prognosis/benign.[3][4]
- Considered to be on a spectrum with cystic partially differentiated nephroblastoma and Wilms tumour.[4]
Gross
- Bubble wrap-like appearance.
Image
www:
Microscopic
Features:
- Cysts lined by simple epithelium with hobnailing - key feature.
- Stroma has an ovarian look:
- Blue (basophilic).
- Spindle cells.
Notes:
- Parenchymal elements (e.g. glomueruli, tubules) are not found in the septa between the cysts.
- The WHO 2016 classification considers it to be on a spectrum with mixed epithelial stromal tumour.[1]
DDx:
Images
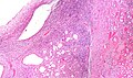
Case 1
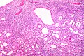
Case 2
IHC
Features:[5]
- Stromal cells:
- ER +ve.
- PR +ve.
- Cyst lining cells:
- CK7 +ve.
- CD10 +ve.
- HMWCK +ve.
Molecular
- Negative for DICER1 mutations.
- DICER1 mutations seen in cystic nephroma, pediatric type.
Sign out
Cystic Lesion, Right Kidney, Nephrectomy:
- Mixed epithelial and stromal tumour (adult cystic nephroma), see comment.
Comment:
The stromal cells are POSITIVE for ER, PR, CD10, and alpha-SMA. The cyst lining cells are POSITIVE for CK7 and CK34betaE12.
Micro
The tumour is predominantly cystic. The cysts are lined by hobnail cells. Ovarian-like stroma is present.
See also
References
- ↑ 1.0 1.1 Moch, H.; Cubilla, AL.; Humphrey, PA.; Reuter, VE.; Ulbright, TM. (07 2016). "The 2016 WHO Classification of Tumours of the Urinary System and Male Genital Organs-Part A: Renal, Penile, and Testicular Tumours.". Eur Urol 70 (1): 93-105. doi:10.1016/j.eururo.2016.02.029. PMID 26935559.
- ↑ Turbiner, J.; Amin, MB.; Humphrey, PA.; Srigley, JR.; De Leval, L.; Radhakrishnan, A.; Oliva, E. (Apr 2007). "Cystic nephroma and mixed epithelial and stromal tumor of kidney: a detailed clinicopathologic analysis of 34 cases and proposal for renal epithelial and stromal tumor (REST) as a unifying term.". Am J Surg Pathol 31 (4): 489-500. doi:10.1097/PAS.0b013e31802bdd56. PMID 17414095.
- ↑ 3.0 3.1 3.2 Mohanty, D.; Jain, BK.; Agrawal, V.; Gupta, A. (May 2010). "Cystic nephroma: a diagnostic dilemma.". Saudi J Kidney Dis Transpl 21 (3): 518-20. PMID 20427881.
- ↑ 4.0 4.1 van den Hoek, J.; de Krijger, R.; van de Ven, K.; Lequin, M.; van den Heuvel-Eibrink, MM. (2009). "Cystic nephroma, cystic partially differentiated nephroblastoma and cystic Wilms' tumor in children: a spectrum with therapeutic dilemmas.". Urol Int 82 (1): 65-70. doi:10.1159/000176028. PMID 19172100.
- ↑ Antic, T.; Perry, KT.; Harrison, K.; Zaytsev, P.; Pins, M.; Campbell, SC.; Picken, MM. (Jan 2006). "Mixed epithelial and stromal tumor of the kidney and cystic nephroma share overlapping features: reappraisal of 15 lesions.". Arch Pathol Lab Med 130 (1): 80-5. doi:10.1043/1543-2165(2006)130[80:MEASTO]2.0.CO;2. PMID 16390243.