Dural tail sign

From Libre Pathology
Jump to navigation Jump to search

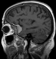
Dural tail sign, abbreviated DTS, is a finding in neuroradiology associated with meningioma,[1] but also described in other tumours.[2]

It is seen on MRI T1 images as a thickening with enhancement adjacent to a (mass) lesion.[2]

Image

See also

References

  1. Aoki, S.; Sasaki, Y.; Machida, T.; Tanioka, H.. "Contrast-enhanced MR images in patients with meningioma: importance of enhancement of the dura adjacent to the tumor.". AJNR Am J Neuroradiol 11 (5): 935-8. PMID 2120998.
  2. 2.0 2.1 Sotoudeh, H.; Yazdi, HR. (May 2010). "A review on dural tail sign.". World J Radiol 2 (5): 188-92. doi:10.4329/wjr.v2.i5.188. PMID 21161034.

External links